Shopping Cart
Remove All
Your shopping cart is currently empty
Anti-RRM1 Antibody (6Z102) is a Rabbit antibody targeting RRM1. Anti-RRM1 Antibody (6Z102) can be used in FCM,IHC,IP,WB.
| Pack Size | Price | USA Warehouse | Global Warehouse | Quantity |
|---|---|---|---|---|
| 50 μL | $298 | 7-10 days | 7-10 days | |
| 100 μL | $498 | 7-10 days | 7-10 days |
| Description | Anti-RRM1 Antibody (6Z102) is a Rabbit antibody targeting RRM1. Anti-RRM1 Antibody (6Z102) can be used in FCM,IHC,IP,WB. |
| Synonyms | RR1, RIR1, ribonucleotide reductase M1, R1 |
| Ig Type | IgG |
| Clone | 6Z102 |
| Reactivity | Human,Mouse |
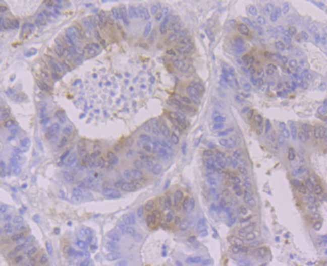
| Verified Activity | 1. Western blot analysis of RRM1 on mouse thymus tissue (1) and A431 cell (2) lysate using anti-RRM1 antibody at 1/500 dilution. 2. Immunohistochemical analysis of paraffin-embedded human colon tissue tissue using anti-RRM1 antibody. Counter stained with hematoxylin. 3. Flow cytometric analysis of A431 cells with RRM1 antibody at 1/50 dilution (blue) compared with an unlabelled control (cells without incubation with primary antibody; red). Alexa Fluor 488-conjugated goat anti-rabbit IgG was used as the secondary antibody. ![]() ![]() ![]() |
| Application | |
| Recommended Dose | WB: 1:500-2000; IHC: 1:50-100; IP: 1:10-50; FCM: 1:50-100 |
| Antibody Type | Monoclonal |
| Host Species | Rabbit |
| Construction | Recombinant Antibody |
| Purification | ProA affinity purified |
| Appearance | Liquid |
| Formulation | 1*TBS (pH7.4), 1%BSA, 40%Glycerol. Preservative: 0.05% Sodium Azide. |
| Research Background | Provides the precursors necessary for DNA synthesis. Catalyzes the biosynthesis of deoxyribonucleotides from the corresponding ribonucleotides. Belongs to the ribonucleoside diphosphate reductase large chain family. Contains 1 ATP-cone domain. |
| Conjucates | Unconjugated |
| Immunogen | Recombinant Protein |
| Uniprot ID |
| Molecular Weight | Theoretical: 90 kDa. |
| Stability & Storage | Store at -20°C or -80°C for 12 months. Avoid repeated freeze-thaw cycles. |
| Transport | Shipping with blue ice. |
| Size | Quantity | Unit Price | Amount | Operation |
|---|

Copyright © 2015-2026 TargetMol Chemicals Inc. All Rights Reserved.