Shopping Cart
Remove All
Your shopping cart is currently empty
Anti-RON/CD136 Antibody (7D3) is a Rabbit antibody targeting RON/CD136. Anti-RON/CD136 Antibody (7D3) can be used in FCM,ICC/IF,IHC,IP,WB.
| Pack Size | Price | USA Warehouse | Global Warehouse | Quantity |
|---|---|---|---|---|
| 50 μL | $296 | 7-10 days | 7-10 days | |
| 100 μL | $497 | 7-10 days | 7-10 days |
| Description | Anti-RON/CD136 Antibody (7D3) is a Rabbit antibody targeting RON/CD136. Anti-RON/CD136 Antibody (7D3) can be used in FCM,ICC/IF,IHC,IP,WB. |
| Synonyms | RON, PTK8, macrophage stimulating 1 receptor, CDw136, CD136 |
| Ig Type | IgG |
| Clone | 7D3 |
| Reactivity | Human |
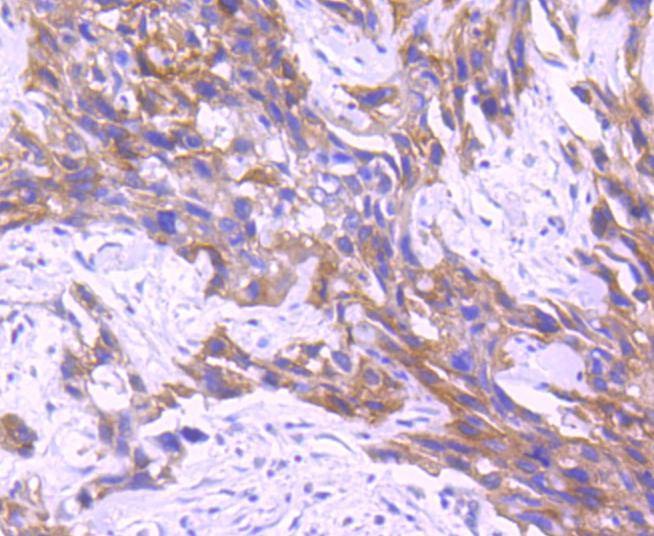
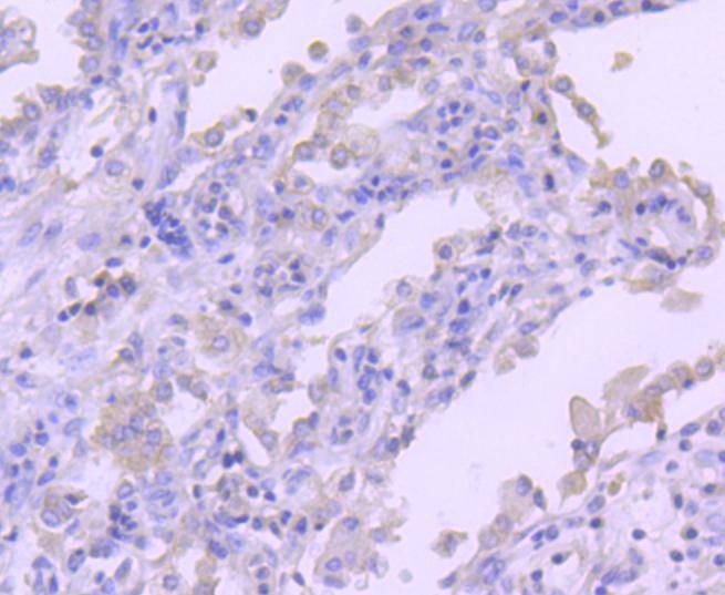
| Verified Activity | 1. Immunohistochemical analysis of paraffin-embedded human lung cancer tissue using anti-RON antibody. Counter stained with hematoxylin. 2. Immunohistochemical analysis of paraffin-embedded human breast carcinoma tissue using anti-RON antibody. Counter stained with hematoxylin. 3. ICC staining RON in A549 cells (green). The nuclear counter stain is DAPI (blue). Cells were fixed in paraformaldehyde, permeabilised with 0.25% Triton X100/PBS. 4. ICC staining RON in AGS cells (green). The nuclear counter stain is DAPI (blue). Cells were fixed in paraformaldehyde, permeabilised with 0.25% Triton X100/PBS. 5. ICC staining RON in A431 cells (green). The nuclear counter stain is DAPI (blue). Cells were fixed in paraformaldehyde, permeabilised with 0.25% Triton X100/PBS. 6. Flow cytometric analysis of THP-1 cells with RON antibody at 1/50 dilution (red) compared with an unlabelled control (cells without incubation with primary antibody; black). Alexa Fluor 488-conjugated goat anti rabbit IgG was used as the secondary antibody. ![]() ![]() ![]() ![]() ![]() ![]() |
| Application | |
| Recommended Dose | WB: 1:1000; IHC: 1:50-200; ICC/IF: 1:50-200; FCM: 1:50-100 |
| Antibody Type | Monoclonal |
| Host Species | Rabbit |
| Construction | Recombinant Antibody |
| Purification | ProA affinity purified |
| Appearance | Liquid |
| Formulation | 1*TBS (pH7.4), 1%BSA, 40%Glycerol. Preservative: 0.05% Sodium Azide. |
| Research Background | Receptor protein tyrosine kinases (PTKs) have been classified into different subclasses on the basis of sequence similarity and distinct structural characteristics. The c-Met encoded receptor represents the initial member of one class of receptors characterized by a heterodimeric structure and a cysteine-rich extracellular domain. Ron, also designated macrophage-stimulating protein receptor (MSP receptor), p185-Ron, CD136 antigen or PTK8 represents a second member of this receptor class. The intracellular PTK domains of Ron and Met are highly similar (63% sequence identity) while the extracellular domains are less related (25% sequence identity) and both are rich in cysteine residues. Mature Ron receptor is comprised of a disulfide-linked heterodimer formed from an alpha chain (Ron α) and a beta chain (Ron β). Proteolytic processing results in the separation of the N-terminal Ron α and C-terminal Ron β subunits. |
| Conjucates | Unconjugated |
| Immunogen | Recombinant Protein |
| Uniprot ID |
| Molecular Weight | Theoretical: 185 kDa. |
| Stability & Storage | Store at -20°C or -80°C for 12 months. Avoid repeated freeze-thaw cycles. |
| Transport | Shipping with blue ice. |
| Size | Quantity | Unit Price | Amount | Operation |
|---|

Copyright © 2015-2026 TargetMol Chemicals Inc. All Rights Reserved.