Shopping Cart
Remove All
Your shopping cart is currently empty
Synonyms: RXRalpha1, RXRA_HUMAN, Rxra, RXR alpha1, Retinoid X Receptorα, Retinoid X Receptoralpha, Retinoid X Receptora, Retinoid X Receptor α, Retinoid X receptor alpha, Retinoid X Receptor a, Retinoid X nuclear receptor alpha, Retinoic acid receptor RXR-alpha, Retinoic acid receptor RXR alpha, OTTHUMP00000022510, Nuclear receptor subfamily 2 group B member 1, NR2B1, MGC102720, FLJ16733, FLJ16020, FLJ00318, FLJ00280
| Pack Size | Price | USA Stock | Global Stock | Quantity |
|---|---|---|---|---|
| 50 μL | $297 | 7-10 days | 7-10 days | |
| 100 μL | $497 | 7-10 days | 7-10 days |
| Description | Anti-Retinoid X Receptor alpha Antibody (8D993) is a Rabbit antibody targeting Retinoid X Receptor alpha. Anti-Retinoid X Receptor alpha Antibody (8D993) can be used in ICC,IF,IHC,IP,WB. |
| Synonyms | RXRalpha1, RXRA_HUMAN, Rxra, RXR alpha1, Retinoid X Receptorα, Retinoid X Receptoralpha, Retinoid X Receptora, Retinoid X Receptor α, Retinoid X receptor alpha, Retinoid X Receptor a, Retinoid X nuclear receptor alpha, Retinoic acid receptor RXR-alpha, Retinoic acid receptor RXR alpha, OTTHUMP00000022510, Nuclear receptor subfamily 2 group B member 1, NR2B1, MGC102720, FLJ16733, FLJ16020, FLJ00318, FLJ00280 |
| Ig Type | IgG |
| Clone | 8D993 |
| Reactivity | Human,Mouse,Rat |
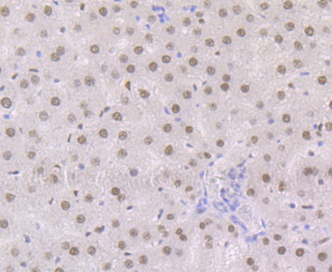
| Verified Activity | 1. Western blot analysis of Retinoid X Receptor alpha on MCF-7 cell using anti-Retinoid X Receptor alpha antibody at 1/5,000 dilution. 2. Immunohistochemical analysis of paraffin-embedded rat liver tissue using anti-Retinoid X Receptor alpha antibody. Counter stained with hematoxylin. 3. Immunohistochemical analysis of paraffin-embedded human esophagus tissue using anti-Retinoid X Receptor alpha antibody. Counter stained with hematoxylin. 4. ICC staining Retinoid X Receptor alpha in A549 cells (green). The nuclear counter stain is DAPI (blue). Cells were fixed in paraformaldehyde, permeabilised with 0.25% Triton X100/PBS. 5. ICC staining Retinoid X Receptor alpha in Hela cells (green). The nuclear counter stain is DAPI (blue). Cells were fixed in paraformaldehyde, permeabilised with 0.25% Triton X100/PBS. |
| Application | |
| Recommended Dose | WB: 1:1000-5000; IHC: 1:50-200; ICC: 1:50-200; IP: 1:10-50 |
| Antibody Type | Monoclonal |
| Host Species | Rabbit |
| Construction | Recombinant Antibody |
| Purification | ProA affinity purified |
| Appearance | Liquid |
| Formulation | 1*TBS (pH7.4), 1%BSA, 40%Glycerol. Preservative: 0.05% Sodium Azide. |
| Research Background | Receptor for retinoic acid. Retinoic acid receptors bind as heterodimers to their target response elements in response to their ligands, all-trans or 9-cis retinoic acid, and regulate gene expression in various biological processes. The RAR/RXR heterodimers bind to the retinoic acid response elements (RARE) composed of tandem 5'-AGGTCA-3' sites known as DR1-DR5. The high affinity ligand for RXRs is 9-cis retinoic acid. RXRA serves as a common heterodimeric partner for a number of nuclear receptors. In the absence of ligand, the RXR-RAR heterodimers associate with a multiprotein complex containing transcription corepressors that induce histone acetylation, chromatin condensation and transcriptional suppression. On ligand binding, the corepressors dissociate from the receptors and associate with the coactivators leading to transcriptional activation. The RXRA/PPARA heterodimer is required for PPARA transcriptional activity on fatty acid oxidation genes such as ACOX1 and the P450 system genes. |
| Conjucates | Unconjugated |
| Immunogen | Recombinant Protein: N-terminal human Retinoid X Receptor alpha |
| Antigen Species | human |
| Uniprot ID |
| Molecular Weight | Theoretical: 51 kDa. |
| Stability & Storage | Store at -20°C or -80°C for 12 months. Avoid repeated freeze-thaw cycles. |
| Transport | Shipping with blue ice. |
| Size | Quantity | Unit Price | Amount | Operation |
|---|

Copyright © 2015-2026 TargetMol Chemicals Inc. All Rights Reserved.