Shopping Cart
Remove All
Your shopping cart is currently empty
Anti-Protein Kinase D2/PRKD2 Antibody (5O381) is a Rabbit antibody targeting Protein Kinase D2/PRKD2. Anti-Protein Kinase D2/PRKD2 Antibody (5O381) can be used in FCM,ICC,IF,IHC,WB.
| Pack Size | Price | USA Warehouse | Global Warehouse | Quantity |
|---|---|---|---|---|
| 50 μL | $298 | 7-10 days | 7-10 days | |
| 100 μL | $496 | 7-10 days | 7-10 days |
| Description | Anti-Protein Kinase D2/PRKD2 Antibody (5O381) is a Rabbit antibody targeting Protein Kinase D2/PRKD2. Anti-Protein Kinase D2/PRKD2 Antibody (5O381) can be used in FCM,ICC,IF,IHC,WB. |
| Synonyms | protein kinase D2, PKD2, nPKC-D2, HSPC187 |
| Ig Type | IgG |
| Clone | 5O381 |
| Reactivity | Human,Mouse |
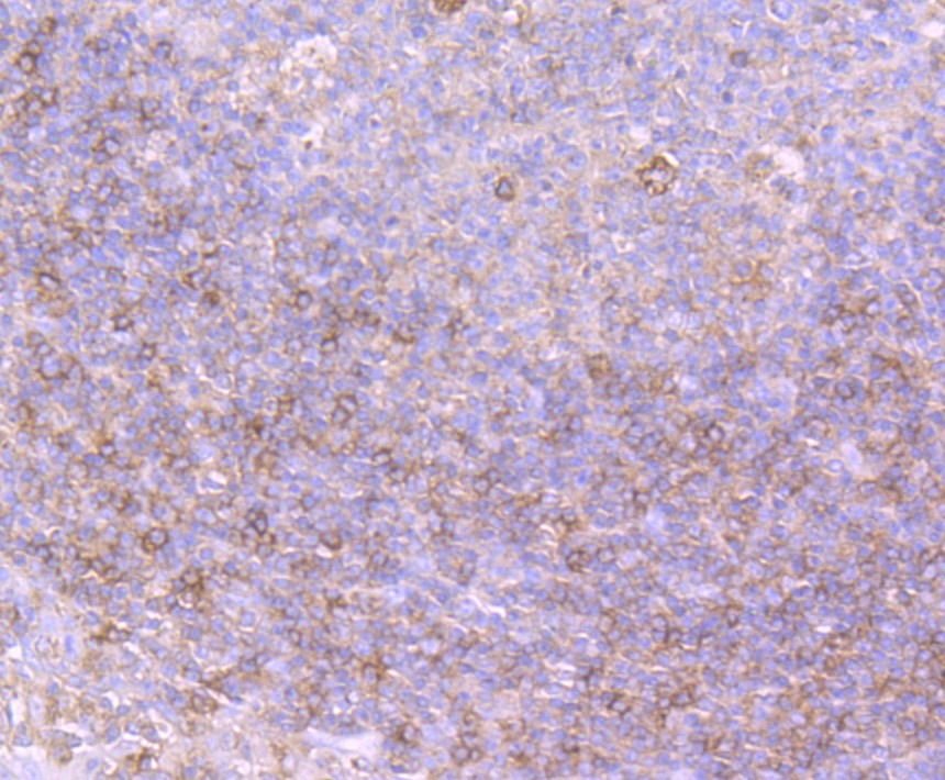
| Verified Activity | 1. Western blot analysis of Protein Kinase D2 on A549 cell using anti-Protein Kinase D2 antibody at 1/500 dilution. 2. Immunohistochemical analysis of paraffin-embedded human tonsil tissue using anti-Protein Kinase D2 antibody. Counter stained with hematoxylin. 3. ICC staining Protein Kinase D2 in SH-SY-5Y cells (green). The nuclear counter stain is DAPI (blue). Cells were fixed in paraformaldehyde, permeabilised with 0.25% Triton X100/PBS. 4. ICC staining Protein Kinase D2 in A549 cells (green). The nuclear counter stain is DAPI (blue). Cells were fixed in paraformaldehyde, permeabilised with 0.25% Triton X100/PBS. 5. Flow cytometric analysis of SH-SY-5Y cells with Protein Kinase D2 antibody at 1/50 dilution (red) compared with an unlabelled control (cells without incubation with primary antibody; black). Alexa Fluor 488-conjugated goat anti rabbit IgG was used as the secondary antibody. ![]() ![]() ![]() ![]() ![]() |
| Application | |
| Recommended Dose | WB: 1:1000-5000; IHC: 1:50-200; ICC: 1:50-100; FCM: 1:50-100 |
| Antibody Type | Monoclonal |
| Host Species | Rabbit |
| Construction | Recombinant Antibody |
| Purification | ProA affinity purified |
| Appearance | Liquid |
| Formulation | 1*TBS (pH7.4), 1%BSA, 40%Glycerol. Preservative: 0.05% Sodium Azide. |
| Conjucates | Unconjugated |
| Immunogen | Recombinant Protein |
| Uniprot ID |
| Molecular Weight | Theoretical: 97 kDa. |
| Stability & Storage | Store at -20°C or -80°C for 12 months. Avoid repeated freeze-thaw cycles. |
| Transport | Shipping with blue ice. |
| Size | Quantity | Unit Price | Amount | Operation |
|---|

Copyright © 2015-2026 TargetMol Chemicals Inc. All Rights Reserved.