Shopping Cart
Remove All
Your shopping cart is currently empty
Anti-PRKN Antibody (1X34) is a Rabbit antibody targeting PRKN. Anti-PRKN Antibody (1X34) can be used in FCM,ICC/IF,IHC,IP,WB.
| Pack Size | Price | USA Warehouse | Global Warehouse | Quantity |
|---|---|---|---|---|
| 50 μL | $296 | 7-10 days | 7-10 days | |
| 100 μL | $496 | 7-10 days | 7-10 days |
| Description | Anti-PRKN Antibody (1X34) is a Rabbit antibody targeting PRKN. Anti-PRKN Antibody (1X34) can be used in FCM,ICC/IF,IHC,IP,WB. |
| Synonyms | PRKN, Parkinson juvenile disease protein 2 (Parkinson disease protein 2), Parkin RBR E3 ubiquitin-protein ligase, Parkin, PARK2, E3 ubiquitin-protein ligase parkin |
| Ig Type | IgG |
| Clone | 1X34 |
| Reactivity | Human,Mouse,Rat |
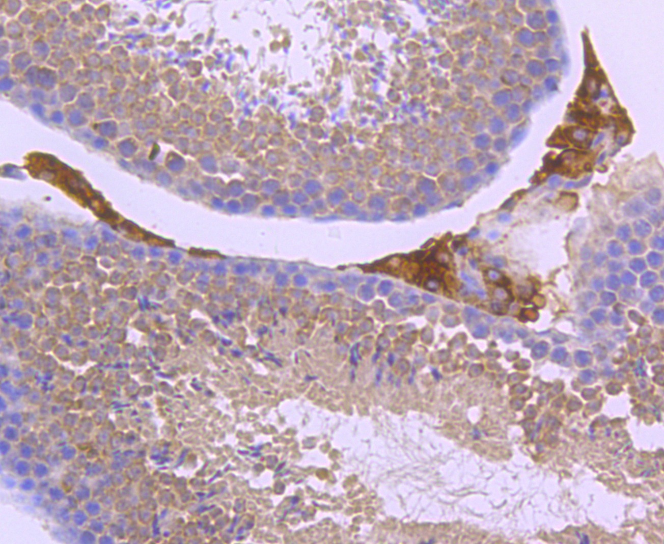
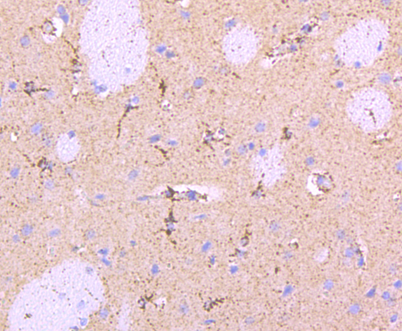
| Verified Activity | 1. Immunohistochemical analysis of paraffin-embedded rat brain tissue using anti-Parkin antibody. Counter stained with hematoxylin. 2. Immunohistochemical analysis of paraffin-embedded mouse testis tissue using anti-Parkin antibody. Counter stained with hematoxylin. 3. ICC staining Parkin in N2A cells (red). The nuclear counter stain is DAPI (blue). Cells were fixed in paraformaldehyde, permeabilised with 0.25% Triton X100/PBS. 4. ICC staining Parkin in SH-SY-5Y cells (red). The nuclear counter stain is DAPI (blue). Cells were fixed in paraformaldehyde, permeabilised with 0.25% Triton X100/PBS. 5. ICC staining Parkin in PC-3M cells (red). The nuclear counter stain is DAPI (blue). Cells were fixed in paraformaldehyde, permeabilised with 0.25% Triton X100/PBS. 6. Flow cytometric analysis of SH-SY-5Y cells with Parkin antibody at 1/50 dilution (red) compared with an unlabelled control (cells without incubation with primary antibody; black). Alexa Fluor 488-conjugated goat anti rabbit IgG was used as the secondary antibody. 7. Western blot analysis of Parkin expression in Jurkat cell lysate. ![]() ![]() ![]() ![]() ![]() ![]() ![]() |
| Application | |
| Recommended Dose | WB: 1:500-1000; IHC: 1:50-200; ICC/IF: 1:50-200; IP: 1:50; FCM: 1:50-100 |
| Antibody Type | Monoclonal |
| Host Species | Rabbit |
| Construction | Recombinant Antibody |
| Purification | ProA affinity purified |
| Appearance | Liquid |
| Formulation | 1*TBS (pH7.4), 1%BSA, 40%Glycerol. Preservative: 0.05% Sodium Azide. |
| Research Background | Parkin is a zinc-finger protein that is related to ubiquitin at the amino terminus. The wild type Parkin gene, which maps to human chromosome 6q25.2-27, encodes a 465 amino acid full-length protein that is expressed as multiple isoforms. Mutations in the Parkin gene are responsible for autosomal recessive juvenile Parkinson's disease and commonly involve deletions of exons 3-5. In humans, Parkin is expressed in a subset of cells of the basal ganglia, midbrain, cerebellum and cerebral cortex, and is subject to alternative splicing in different tissues. Parkin expression is also high in the brainstem of mice, with the majority of immunopositive cells being neurons. The Parkin gene has been identified in a diverse group of organisms including mammals, birds, frog and fruit flies, suggesting that analogous functional roles of the Parkin protein may have been highly conserved during the course of evolution. |
| Conjucates | Unconjugated |
| Immunogen | Recombinant Protein |
| Uniprot ID |
| Molecular Weight | Theoretical: 52 kDa. |
| Stability & Storage | Store at -20°C or -80°C for 12 months. Avoid repeated freeze-thaw cycles. |
| Transport | Shipping with blue ice. |
| Size | Quantity | Unit Price | Amount | Operation |
|---|

Copyright © 2015-2026 TargetMol Chemicals Inc. All Rights Reserved.