Shopping Cart
Remove All
Your shopping cart is currently empty
Synonyms: Protein kinase AMP activated gamma 3 non catalytic subunit, PRKAG 3, AMPKG3, AMPK subunit gamma-3, AMPK gamma3, AMPK gamma 3 chain, AAKG3_HUMAN, 5''-AMP-activated protein kinase subunit gamma-3, 5 AMP activated protein kinase subunit gamma 3
| Pack Size | Price | USA Stock | Global Stock | Quantity |
|---|---|---|---|---|
| 50 μL | $298 | 7-10 days | 7-10 days | |
| 100 μL | $426 | 7-10 days | 7-10 days |
| Description | Anti-PRKAG3 Antibody (6D439) is a Mouse antibody targeting PRKAG3. Anti-PRKAG3 Antibody (6D439) can be used in ICC,IHC,WB. |
| Synonyms | Protein kinase AMP activated gamma 3 non catalytic subunit, PRKAG 3, AMPKG3, AMPK subunit gamma-3, AMPK gamma3, AMPK gamma 3 chain, AAKG3_HUMAN, 5''-AMP-activated protein kinase subunit gamma-3, 5 AMP activated protein kinase subunit gamma 3 |
| Clone | 6D439 |
| Reactivity | Human |
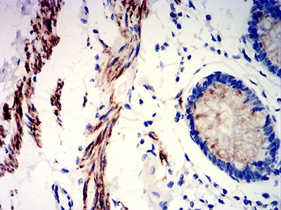
| Verified Activity | 1. Western blot analysis of PRKAG3 on human PRKAG3 recombinant protein using anti-PRKAG3 antibody at 1/1,000 dilution. 2. Western blot analysis of PRKAG3 on HEK293 (1) and PRKAG3-hIgGFc transfected HEK293 (2) cell lysate using anti-PRKAG3 antibody at 1/1,000 dilution. 3. Immunohistochemical analysis of paraffin-embedded human rectum tissue using anti-PRKAG3 antibody. Counter stained with hematoxylin. 4. ICC staining PRKAG3 (green) and Actin filaments (red) in Hela cells. The nuclear counter stain is DAPI (blue). Cells were fixed in paraformaldehyde, permeabilised with 0.25% Triton X100/PBS. |
| Application | |
| Recommended Dose | WB: 1:500-1000; IHC: 1:50-200; ICC: 1:50-200 |
| Antibody Type | Monoclonal |
| Host Species | Mouse |
| Construction | Hybridoma Monoclonal Antibody |
| Purification | ProA affinity purified |
| Appearance | Liquid |
| Formulation | 1*TBS (pH7.4), 1%BSA, 40%Glycerol. Preservative: 0.05% Sodium Azide. |
| Research Background | AMP/ATP-binding subunit of AMP-activated protein kinase (AMPK), an energy sensor protein kinase that plays a key role in regulating cellular energy metabolism. In response to reduction of intracellular ATP levels, AMPK activates energy-producing pathways and inhibits energy-consuming processes: inhibits protein, carbohydrate and lipid biosynthesis, as well as cell growth and proliferation. AMPK acts via direct phosphorylation of metabolic enzymes, and by longer-term effects via phosphorylation of transcription regulators. Also acts as a regulator of cellular polarity by remodeling the actin cytoskeleton; probably by indirectly activating myosin. Gamma non-catalytic subunit mediates binding to AMP, ADP and ATP, leading to activate or inhibit AMPK: AMP-binding results in allosteric activation of alpha catalytic subunit (PRKAA1 or PRKAA2) both by inducing phosphorylation and preventing dephosphorylation of catalytic subunits. ADP also stimulates phosphorylation, without stimulating already phosphorylated catalytic subunit. ATP promotes dephosphorylation of catalytic subunit, rendering the AMPK enz |
| Conjucates | Unconjugated |
| Immunogen | Recombinant Protein |
| Uniprot ID |
| Molecular Weight | Theoretical: 54 kDa. |
| Stability & Storage | Store at -20°C or -80°C for 12 months. Avoid repeated freeze-thaw cycles. |
| Transport | Shipping with blue ice. |
| Size | Quantity | Unit Price | Amount | Operation |
|---|

Copyright © 2015-2026 TargetMol Chemicals Inc. All Rights Reserved.