Shopping Cart
Remove All
Your shopping cart is currently empty
Anti-Phospho-Tyk2 (Tyr1054, 1055) Polyclonal Antibody is a Rabbit antibody targeting Phospho-Tyk2 (Tyr1054, 1055). Anti-Phospho-Tyk2 (Tyr1054, 1055) Polyclonal Antibody can be used in IF,IHC-Fr,IHC-P,WB.
| Pack Size | Price | USA Stock | Global Stock | Quantity |
|---|---|---|---|---|
| 50 μL | $221 | 7-10 days | 7-10 days | |
| 100 μL | $374 | 7-10 days | 7-10 days | |
| 200 μL | $527 | 7-10 days | 7-10 days |
| Description | Anti-Phospho-Tyk2 (Tyr1054, 1055) Polyclonal Antibody is a Rabbit antibody targeting Phospho-Tyk2 (Tyr1054, 1055). Anti-Phospho-Tyk2 (Tyr1054, 1055) Polyclonal Antibody can be used in IF,IHC-Fr,IHC-P,WB. |
| Synonyms | Tyk2 (p-Y1054, 1055), Tyk2 (p-Tyr1054, 1055), TYK2, p-Tyk2 (Y1054, 1055), p-Tyk2 (Tyr1054, 1055), Non-receptor tyrosine-protein kinase TYK2 |
| Ig Type | IgG |
| Reactivity | Human,Mouse,Rat (predicted:Dog) |
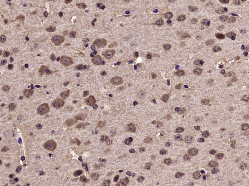
| Verified Activity | 1. Sample: A549 (Human) Cell Lysate at 30 μg Primary: Anti-Phospho-Tyk2 (Tyr1054 + Tyr1055) (TMAB-01526) at 1/300 dilution Secondary: IRDye800CW Goat Anti-Rabbit IgG at 1/20000 dilution Predicted band size: 134 kDa Observed band size: 134 kDa 2. Paraformaldehyde-fixed, paraffin embedded (Rat brain); Antigen retrieval by microwave in sodium citrate buffer (pH6.0); Block endogenous peroxidase by 3% hydrogen peroxide for 30 minutes; Blocking buffer (3% BSA) at RT for 30 min; Antibody incubation with (Phospho-Tyk2 (Tyr1054 + Tyr1055)) Polyclonal Antibody, Unconjugated (TMAB-01526) at 1:400 overnight at 4°C, followed by conjugation to the secondary antibody (labeled with HRP) and DAB staining. 3. Paraformaldehyde-fixed, paraffin embedded (Mouse brain); Antigen retrieval by microwave in sodium citrate buffer (pH6.0); Block endogenous peroxidase by 3% hydrogen peroxide for 30 minutes; Blocking buffer (3% BSA) at RT for 30 min; Antibody incubation with (Phospho-Tyk2 (Tyr1054 + Tyr1055)) Polyclonal Antibody, Unconjugated (TMAB-01526) at 1:400 overnight at 4°C, followed by conjugation to the secondary antibody (labeled with HRP) and DAB staining. 4. Paraformaldehyde-fixed, paraffin embedded (Human kidney); Antigen retrieval by boiling in sodium citrate buffer (pH6.0) for 15 min; Block endogenous peroxidase by 3% hydrogen peroxide for 20 min; Blocking buffer (normal goat serum) at 37°C for 30 min; Antibody incubation with (Phospho-Tyk2 (Tyr1054 + Tyr1055)) Polyclonal Antibody, Unconjugated (TMAB-01526) at 1:200 overnight at 4°C, followed by operating according to SP Kit (Rabbit) instructionsand DAB staining. ![]() ![]() ![]() ![]() |
| Application | |
| Recommended Dose | WB: 1:500-2000; IHC-P: 1:100-500; IHC-Fr: 1:100-500; IF: 1:100-500 |
| Antibody Type | Polyclonal |
| Host Species | Rabbit |
| Tissue Specificity | Observed in all cell lines analyzed. Expressed in a variety of lymphoid and non-lymphoid cell lines. |
| Construction | Polyclonal Antibody |
| Purification | Protein A purified |
| Appearance | Liquid |
| Formulation | 0.01M TBS (pH7.4) with 1% BSA, 0.02% Proclin300 and 50% Glycerol. |
| Concentration | 1 mg/mL |
| Research Background | This gene encodes a member of the tyrosine kinase and, more specifically, the Janus kinases (JAKs) protein families. This protein associates with the cytoplasmic domain of type I and type II cytokine receptors and promulgate cytokine signals by phosphorylating receptor subunits. It is also component of both the type I and type III interferon signaling pathways. As such, it may play a role in anti-viral immunity. A mutation in this gene has been associated with hyperimmunoglobulin E syndrome (HIES) - a primary immunodeficiency characterized by elevated serum immunoglobulin E. [provided by RefSeq]. |
| Immunogen | KLH conjugated Synthesised phosphopeptide: human Tyk2 around the phosphorylation site of Tyr1054/1055 |
| Antigen Species | Human |
| Gene Name | TYK2 |
| Gene ID | |
| Protein Name | Non-receptor tyrosine-protein kinase TYK2 |
| Uniprot ID | |
| Biology Area | SARS Coronavirus,Tyrosine Kinases |
| Function | Probably involved in intracellular signal transduction by being involved in the initiation of type I IFN signaling. Phosphorylates the interferon-alpha/beta receptor alpha chain. |
| Molecular Weight | Theoretical: 134 kDa. Actual: 134 kDa. |
| Stability & Storage | Store at -20°C or -80°C for 12 months. Avoid repeated freeze-thaw cycles. |
| Transport | Shipping with blue ice. |
| Size | Quantity | Unit Price | Amount | Operation |
|---|

Copyright © 2015-2026 TargetMol Chemicals Inc. All Rights Reserved.