Shopping Cart
Remove All
Your shopping cart is currently empty
Anti-Phospho-IRE1 (Ser726) Polyclonal Antibody is a Rabbit antibody targeting Phospho-IRE1 (Ser726). Anti-Phospho-IRE1 (Ser726) Polyclonal Antibody can be used in FCM, IF, IHC-Fr, IHC-P.
| Pack Size | Price | USA Warehouse | Global Warehouse | Quantity |
|---|---|---|---|---|
| 50 μL | $221 | 7-10 days | 7-10 days | |
| 100 μL | $372 | 7-10 days | 7-10 days | |
| 200 μL | $528 | 7-10 days | 7-10 days |
| Description | Anti-Phospho-IRE1 (Ser726) Polyclonal Antibody is a Rabbit antibody targeting Phospho-IRE1 (Ser726). Anti-Phospho-IRE1 (Ser726) Polyclonal Antibody can be used in FCM, IF, IHC-Fr, IHC-P. |
| Synonyms | p-IRE1 (Ser726), p-IRE1 (S726), IRE1P, IRE1a, IRE1 (p-Ser726), IRE1 (p-S726), IRE1, hIRE1p, endoplasmic reticulum to nucleus signaling 1 |
| Ig Type | IgG |
| Reactivity | Human,Rat (predicted:Mouse,Dog,Pig,Cow,Horse,Rabbit) |
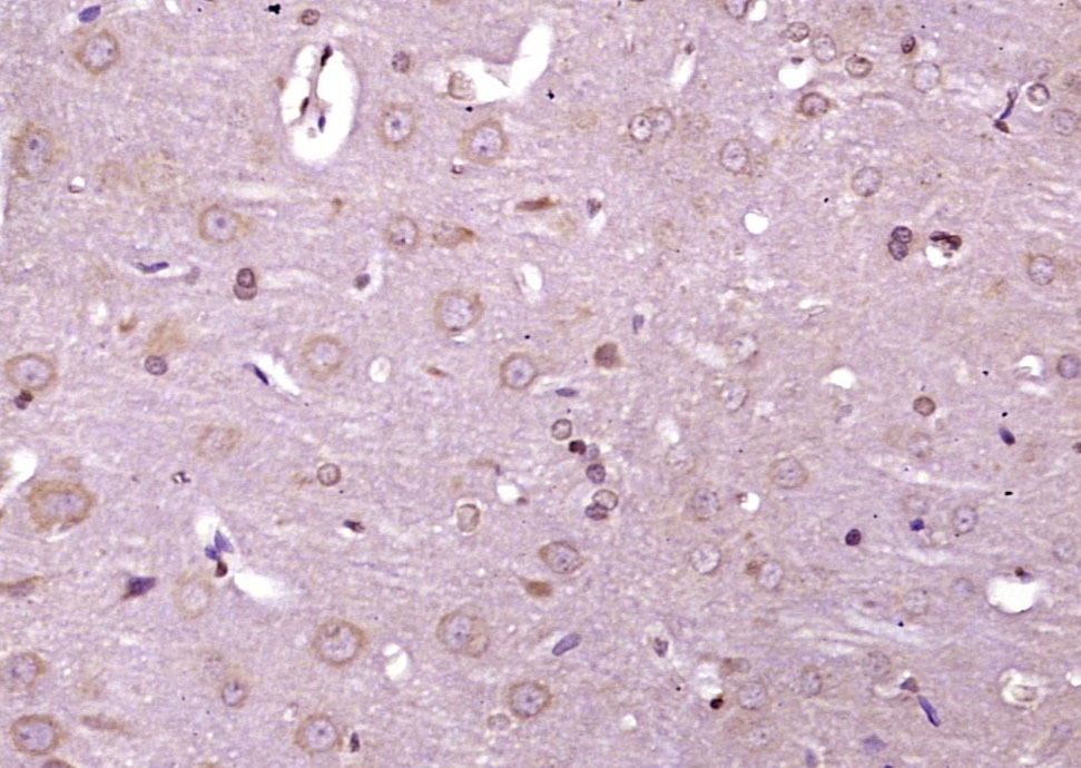
| Verified Activity | 1. Paraformaldehyde-fixed, paraffin embedded (rat brain tissue); Antigen retrieval by boiling in sodium citrate buffer (pH6.0) for 15 min; Block endogenous peroxidase by 3% hydrogen peroxide for 20 min; Blocking buffer (normal goat serum) at 37°C for 30 min; Antibody incubation with (IRE1a (Ser 726)) Polyclonal Antibody, Unconjugated (TMAB-01433) at 1:400 overnight at 4°C, followed by operating according to SP Kit (Rabbit) instructionsand DAB staining. 2. Blank control: Raji. Primary Antibody (green line): Rabbit Anti-phospho-IRE1a (Ser 726) antibody (TMAB-01433) Dilution: 1 μg/10^6 cells; Isotype Control Antibody (orange line): Rabbit IgG. Secondary Antibody: Goat anti-rabbit IgG-PE Dilution: 1 μg/test. Protocol The cells were fixed with 4% PFA (10 min at room temperature) and then permeabilized with PBST for 20 min at room temperature. The cells were then incubated in 5% BSA to block non-specific protein-protein interactions for 30 min at at room temperature. Cells stained with Primary Antibody for 30 min at room temperature. The secondary antibody used for 40 min at room temperature. ![]() ![]() |
| Application | |
| Recommended Dose | IHC-P: 1:100-500; IHC-Fr: 1:100-500; IF: 1:100-500; FCM: 1ug/test |
| Antibody Type | Polyclonal |
| Host Species | Rabbit |
| Subcellular Localization | Endoplasmic reticulum membrane; Single-pass type I membrane protein. |
| Tissue Specificity | Ubiquitously expressed. High levels observed in pancreatic tissue. |
| Construction | Polyclonal Antibody |
| Purification | Protein A purified |
| Appearance | Liquid |
| Formulation | 0.01M TBS (pH7.4) with 1% BSA, 0.02% Proclin300 and 50% Glycerol. |
| Concentration | 1 mg/mL |
| Research Background | ERN2, endoplasmic reticulum to nucleus signaling 2, induces translational repression through 28S ribosomal RNA cleavage in response to ER stress. It is pro-apoptotic and appears to play no role in the unfolded-protein response, unlike closely related proteins. |
| Immunogen | KLH conjugated synthesised phosphopeptide: human IRE1a around the phosphorylation site of Ser726 |
| Antigen Species | Human |
| Gene Name | ERN1 |
| Gene ID | |
| Protein Name | Serine/threonine-protein kinase/endoribonuclease IRE1 |
| Uniprot ID | |
| Biology Area | Other Kinases |
| Function | Induces translational repression through 28S ribosomal RNA cleavage in response to ER stress. Pro-apoptotic. Appears to play no role in the unfolded-protein response, unlike closely related proteins. |
| Molecular Weight | Theoretical: 107 kDa. |
| Stability & Storage | Store at -20°C or -80°C for 12 months. Avoid repeated freeze-thaw cycles. |
| Transport | Shipping with blue ice. |
| Size | Quantity | Unit Price | Amount | Operation |
|---|

Copyright © 2015-2026 TargetMol Chemicals Inc. All Rights Reserved.