Shopping Cart
Remove All
Your shopping cart is currently empty
Anti-Phospho-ER alpha (Ser118) Antibody (5S971) is a Rabbit antibody targeting Phospho-ER alpha (Ser118). Anti-Phospho-ER alpha (Ser118) Antibody (5S971) can be used in ICC/IF,IHC,WB.
| Pack Size | Price | USA Warehouse | Global Warehouse | Quantity |
|---|---|---|---|---|
| 50 μL | $296 | 7-10 days | 7-10 days | |
| 100 μL | $498 | 7-10 days | 7-10 days |
| Description | Anti-Phospho-ER alpha (Ser118) Antibody (5S971) is a Rabbit antibody targeting Phospho-ER alpha (Ser118). Anti-Phospho-ER alpha (Ser118) Antibody (5S971) can be used in ICC/IF,IHC,WB. |
| Synonyms | p-ER alpha (Ser118), p-ER alpha (S118), ER alpha (p-Ser118), ER alpha (p-S118) |
| Ig Type | IgG |
| Clone | 5S971 |
| Reactivity | Human |
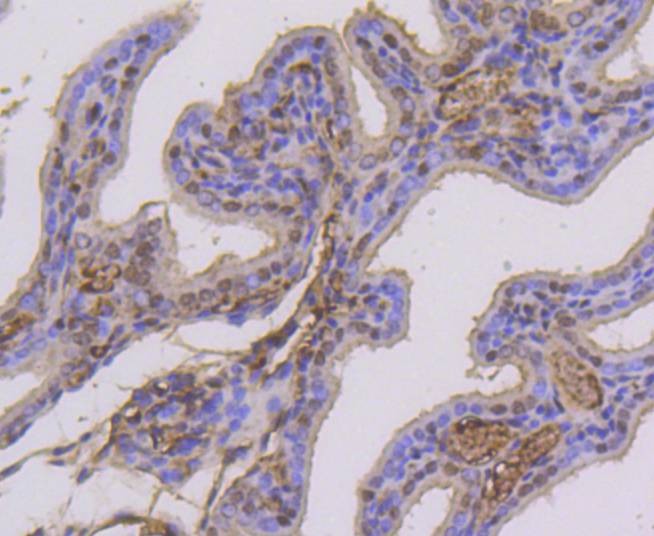
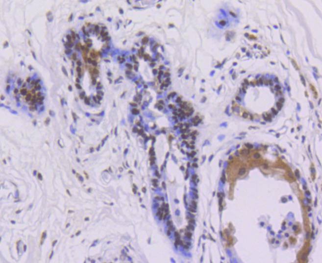
| Verified Activity | 1. Western blot analysis of Estrogen Receptor alpha (phospho S118) on MCF-7 cell lysates using anti-phospho-Estrogen Receptor alpha (S118) antibody at 1/1,000 dilution. 2. Immunohistochemical analysis of paraffin-embedded human breast carcinoma tissue using anti- phospho-Estrogen Receptor alpha (S118) antibody. Counter stained with hematoxylin. 3. Immunohistochemical analysis of paraffin-embedded mouse placenta tissue using anti- phospho-Estrogen Receptor alpha (S118) antibody. Counter stained with hematoxylin. 4. ICC staining phospho-Estrogen Receptor alpha (S118) in Hela cells (green). The nuclear counter stain is DAPI (blue). Cells were fixed in paraformaldehyde, permeabilised with 0.25% Triton X100/PBS. 5. ICC staining phospho-Estrogen Receptor alpha (S118) in MCF-7 cells (green). The nuclear counter stain is DAPI (blue). Cells were fixed in paraformaldehyde, permeabilised with 0.25% Triton X100/PBS. 6. ICC staining phospho-Estrogen Receptor alpha (S118) in HUVEC cells (green). The nuclear counter stain is DAPI (blue). Cells were fixed in paraformaldehyde, permeabilised with 0.25% Triton X100/PBS. ![]() ![]() ![]() ![]() ![]() ![]() |
| Application | |
| Recommended Dose | WB: 1:1000; IHC: 1:50-200; ICC/IF: 1:50-200 |
| Antibody Type | Monoclonal |
| Host Species | Rabbit |
| Construction | Hybridoma Monoclonal Antibody |
| Purification | ProA affinity purified |
| Appearance | Liquid |
| Formulation | 1*TBS (pH7.4), 1%BSA, 40%Glycerol. Preservative: 0.05% Sodium Azide. |
| Research Background | Estrogen receptor alpha (ERa, ER, ESR, ESRA, Era, NR3A1, estrogen receptor 1) is a ligand-activated transcription factor composed of several domains important for hormone binding, DNA binding and activation of transcription. Alternative splicing results in several ERa mRNA transcripts, which differ primarily in their 5' untranslated regions. ERa undergoes phosphorylation in response to estradiol binding. Human ERa is predominately phosphorylated on Ser 118 and to a lesser extent on Ser 104 and Ser 106. In response to activation of the mitogen-activated protein kinase pathway, phosphorylation occurs on Ser 118 and Ser 167. These serine residues are all located within the activation function 1 region of the N-terminal domain of ERa. In contrast, activation of protein kinase A increases the phosphorylation of Ser 236, which is located in the DNA-binding domain. Src kinase-dependent Tyr 537 phosphorylation may enhance estrogen binding to ERa. Mutation of Tyr 537 of the human ERa produces receptors having a range of constitutive activity. |
| Conjucates | Unconjugated |
| Others Formats | Phospho |
| Immunogen | A synthesized phosphopeptide: human Estrogen Receptor alpha around the phosphorylation site of Ser118 |
| Antigen Species | human |
| Uniprot ID |
| Molecular Weight | Theoretical: 66 kDa. |
| Stability & Storage | Store at -20°C or -80°C for 12 months. Avoid repeated freeze-thaw cycles. |
| Transport | Shipping with blue ice. |
| Size | Quantity | Unit Price | Amount | Operation |
|---|

Copyright © 2015-2026 TargetMol Chemicals Inc. All Rights Reserved.