Shopping Cart
Remove All
Your shopping cart is currently empty
Anti-Phospho-Cofilin (Ser3) Polyclonal Antibody is a Rabbit antibody targeting Phospho-Cofilin (Ser3). Anti-Phospho-Cofilin (Ser3) Polyclonal Antibody can be used in IF,IHC-Fr,IHC-P,WB.
| Pack Size | Price | USA Stock | Global Stock | Quantity |
|---|---|---|---|---|
| 50 μL | $221 | 7-10 days | 7-10 days | |
| 100 μL | $372 | 7-10 days | 7-10 days | |
| 200 μL | $528 | 7-10 days | 7-10 days |
| Description | Anti-Phospho-Cofilin (Ser3) Polyclonal Antibody is a Rabbit antibody targeting Phospho-Cofilin (Ser3). Anti-Phospho-Cofilin (Ser3) Polyclonal Antibody can be used in IF,IHC-Fr,IHC-P,WB. |
| Synonyms | p-Cofilin (Ser3), p-Cofilin (S3), HEL-S-15, cofilin 1 (non-muscle), Cofilin (p-Ser3), Cofilin (p-S3), CFL |
| Ig Type | IgG |
| Reactivity | Mouse,Rat (predicted:Human,Pig,Cow,Horse,Sheep) |
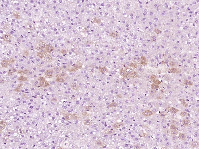
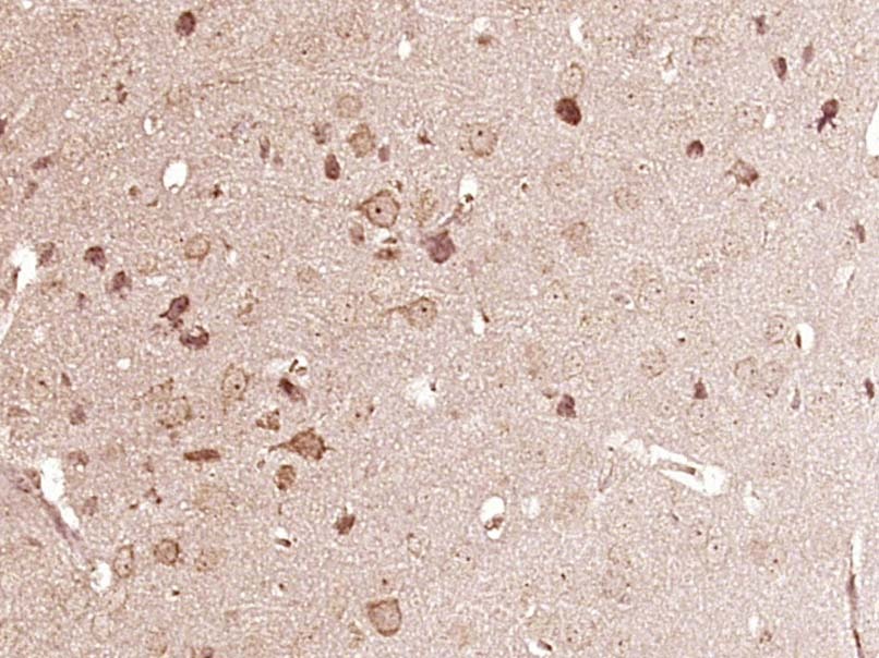
| Verified Activity | 1. Paraformaldehyde-fixed, paraffin embedded (Rat liver); Antigen retrieval by boiling in sodium citrate buffer (pH6.0) for 15 min; Block endogenous peroxidase by 3% hydrogen peroxide for 20 min; Blocking buffer (normal goat serum) at 37°C for 30 min; Antibody incubation with (Phospho-Cofilin (Ser3)) Polyclonal Antibody, Unconjugated (TMAB-01400) at 1:400 overnight at 4°C, followed by operating according to SP Kit (Rabbit) instructionsand DAB staining. 2. Paraformaldehyde-fixed, paraffin embedded (Mouse brain); Antigen retrieval by boiling in sodium citrate buffer (pH6.0) for 15 min; Block endogenous peroxidase by 3% hydrogen peroxide for 20 min; Blocking buffer (normal goat serum) at 37°C for 30 min; Antibody incubation with (Phospho-Cofilin (Ser3)) Polyclonal Antibody, Unconjugated (TMAB-01400) at 1:400 overnight at 4°C, followed by operating according to SP Kit (Rabbit) instructionsand DAB staining. 3. Sample: Cerebrum (Mouse) Lysate at 40 μg Primary: Anti-Phospho-Cofilin (Ser3) (TMAB-01400) at 1/1000 dilution Secondary: IRDye800CW Goat Anti-Rabbit IgG at 1/20000 dilution Predicted band size: 18 kDa Observed band size: 18 kDa ![]() ![]() ![]() |
| Application | |
| Recommended Dose | WB: 1:500-2000; IHC-P: 1:100-500; IHC-Fr: 1:100-500; IF: 1:100-500 |
| Antibody Type | Polyclonal |
| Host Species | Rabbit |
| Subcellular Localization | Nucleus matrix. Cytoplasm, cytoskeleton. Cell projection, ruffle membrane; Peripheral membrane protein; Cytoplasmic side. Cell projection, lamellipodium membrane; Peripheral membrane protein; Cytoplasmic side. Note=Colocalizes with the actin cytoskeleton in membrane ruffles and lamellipodia. Detected at the cleavage furrow and contractile ring during cytokinesis. Almost completely in nucleus in cells exposed to heat shock or 10% dimethyl sulfoxide. |
| Tissue Specificity | Widely distributed in various tissues. |
| Construction | Polyclonal Antibody |
| Purification | Protein A purified |
| Appearance | Liquid |
| Formulation | 0.01M TBS (pH7.4) with 1% BSA, 0.02% Proclin300 and 50% Glycerol. |
| Concentration | 1 mg/mL |
| Research Background | The protein encoded by this gene can polymerize and depolymerize F-actin and G-actin in a pH-dependent manner. Increased phosphorylation of this protein by LIM kinase aids in Rho-induced reorganization of the actin cytoskeleton. Cofilin is a widely distributed intracellular actin-modulating protein that binds and depolymerizes filamentous F-actin and inhibits the polymerization of monomeric G-actin in a pH-dependent manner. It is involved in the translocation of actin-cofilin complex from cytoplasm to nucleus. |
| Immunogen | KLH conjugated Synthesised phosphopeptide: human Cofilin around the phosphorylation site of Ser3 |
| Antigen Species | Human |
| Gene Name | CFL1 |
| Gene ID | |
| Protein Name | Cofilin-1 |
| Uniprot ID | |
| Biology Area | Cell adhesion,Actins,Cytoskeleton,Axon marker,Axonal Guidance Proteins,Actin Binding Proteins |
| Function | Binds to F-actin and exhibits pH-sensitive F-actin depolymerizing activity. Regulates actin cytoskeleton dynamics. Important for normal progress through mitosis and normal cytokinesis. Plays a role in the regulation of cell morphology and cytoskeletal organization. |
| Molecular Weight | Theoretical: 18 kDa. Actual: 18 kDa. |
| Stability & Storage | Store at -20°C or -80°C for 12 months. Avoid repeated freeze-thaw cycles. |
| Transport | Shipping with blue ice. |
| Size | Quantity | Unit Price | Amount | Operation |
|---|

Copyright © 2015-2026 TargetMol Chemicals Inc. All Rights Reserved.