Shopping Cart
Remove All
Your shopping cart is currently empty
Anti-Phospho-Cofilin (Ser3) Polyclonal Antibody is a Rabbit antibody targeting Phospho-Cofilin (Ser3). Anti-Phospho-Cofilin (Ser3) Polyclonal Antibody can be used in IF,IHC,WB.
| Pack Size | Price | USA Warehouse | Global Warehouse | Quantity |
|---|---|---|---|---|
| 50 μL | $218 | 7-10 days | 7-10 days | |
| 100 μL | $318 | 7-10 days | 7-10 days |
| Description | Anti-Phospho-Cofilin (Ser3) Polyclonal Antibody is a Rabbit antibody targeting Phospho-Cofilin (Ser3). Anti-Phospho-Cofilin (Ser3) Polyclonal Antibody can be used in IF,IHC,WB. |
| Synonyms | p-Cofilin (Ser3), p-Cofilin (S3), HEL-S-15, cofilin 1 (non-muscle), Cofilin (p-Ser3), Cofilin (p-S3), CFL |
| Ig Type | IgG |
| Reactivity | Human,Mouse,Rat |
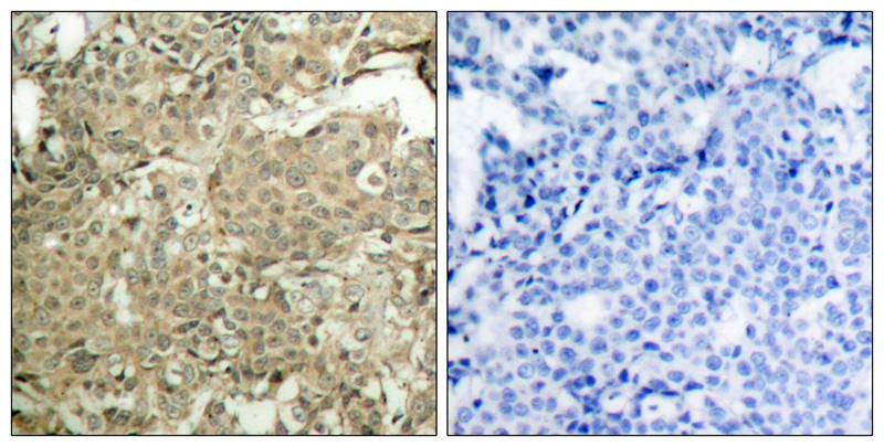
| Verified Activity | 1. Western blot analysis of extracts from COLO205 cells using cofilin (Phospho-Ser3) Antibody TMAC-00908 (Lane 2) and the same antibody preincubated with blocking peptide (Lane1). 2. Immunohistochemical analysis of paraffin-embedded human breast carcinoma tissue using cofilin (Phospho-Ser3) Antibody TMAC-00908 (left) or the same antibody preincubated with blocking peptide (right). 3. Immunofluorescence staining of methanol-fixed Hela cells using cofilin (Phospho-Ser3) Antibody TMAC-00908. 4. Lane 1 : Helatreated with H2O2; Lane 2 : Mouse brain tissue; Lane 3 : Rat brain tissue; Lane 4 : N-peptide blocked Helatreated with H2O2; Lane 5 : N-peptide blocked Mouse brain tissue; Lane 6 : N-peptide blocked Rat brain tissue; Lane 7 : P-peptide blocked Helatreated with H2O2; Lane 8 : P-peptide blocked Mouse brain tissue; Lane 9 : P-peptide blocked Rat brain tissue; Lysates/proteins at 40 μg per lane. Predicted band size :19 kDa. Observed band size :19 kDa. ![]() ![]() ![]() ![]() |
| Application | |
| Antibody Type | Polyclonal |
| Host Species | Rabbit |
| Construction | Polyclonal Antibody |
| Purification | Antibodies were produced by immunizing rabbits with synthetic phosphopeptide and KLH conjugates. Antibodies were purified by affinity-chromatography using epitope-specific phosphopeptide. Non-phospho specific antibodies were removed by chromatogramphy using non-phosphopeptide. |
| Appearance | Liquid |
| Formulation | Supplied at 1.0mg/mL in phosphate buffered saline (without Mg2+ and Ca2+), pH 7.4, 150mM NaCl, 0.02% sodium azide and 50% glycerol. |
| Research Background | Controls reversibly actin polymerization and depolymerization in a pH-sensitive manner. It has the ability to bind G- and F-actin in a 1:1 ratio of cofilin to actin. It is the major component of intranuclear and cytoplasmic actin rods. |
| Conjucates | Unconjugated |
| Others Formats | Phospho |
| Immunogen | Peptide sequence around phosphorylation site of serine 3 (M-A-S(p)-G-V) derived from Human cofilin |
| Antigen Species | human |
| Uniprot ID |
| Stability & Storage | Store at 2°C-8°C for 1 month. Store at -20°C or -80°C for 12 months. Avoid repeated freeze-thaw cycles. |
| Transport | Shipping with blue ice. |
| Size | Quantity | Unit Price | Amount | Operation |
|---|

Copyright © 2015-2026 TargetMol Chemicals Inc. All Rights Reserved.