Shopping Cart
Remove All
Your shopping cart is currently empty
Anti-PDK1 Antibody (2G768) is a Rabbit antibody targeting PDK1. Anti-PDK1 Antibody (2G768) can be used in FCM,IHC,IP,WB.
| Pack Size | Price | USA Warehouse | Global Warehouse | Quantity |
|---|---|---|---|---|
| 50 μL | $297 | 7-10 days | 7-10 days | |
| 100 μL | $498 | 7-10 days | 7-10 days |
| Description | Anti-PDK1 Antibody (2G768) is a Rabbit antibody targeting PDK1. Anti-PDK1 Antibody (2G768) can be used in FCM,IHC,IP,WB. |
| Synonyms | pyruvate dehydrogenase kinase, isozyme 1, PDHK1 |
| Ig Type | IgG |
| Clone | 2G768 |
| Reactivity | Human,Mouse,Rat |
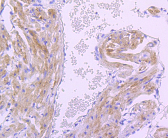
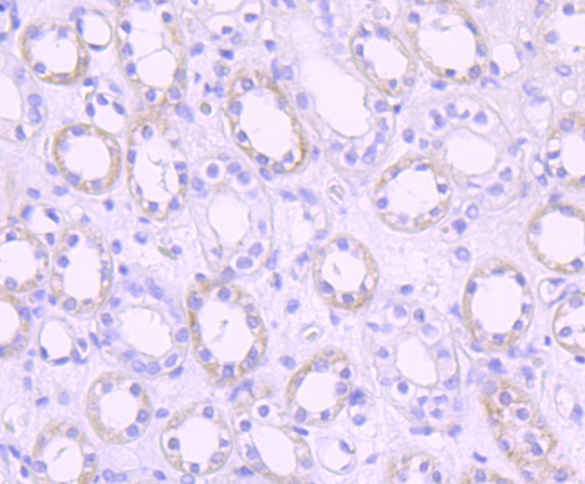
| Verified Activity | 1. Western blot analysis of PDK1 on rat heart tissue lysate using anti-PDK1 antibody at 1/1,000 dilution. 2. Immunohistochemical analysis of paraffin-embedded human kidney tissue using anti-PDK1 antibody. Counter stained with hematoxylin. 3. Immunohistochemical analysis of paraffin-embedded mouse heart tissue using anti-PDK1 antibody. Counter stained with hematoxylin. 4. ICC staining PDK1 in Hela cells (green). The nuclear counter stain is DAPI (blue). Cells were fixed in paraformaldehyde, permeabilised with 0.25% Triton X100/PBS. 5. ICC staining PDK1 in NIH-3T3 cells (green). The nuclear counter stain is DAPI (blue). Cells were fixed in paraformaldehyde, permeabilised with 0.25% Triton X100/PBS. 6. Flow cytometric analysis of NIH-3T3 cells with PDK1 antibody at 1/100 dilution (red) compared with an unlabelled control (cells without incubation with primary antibody; black). ![]() ![]() ![]() ![]() ![]() ![]() |
| Application | |
| Recommended Dose | WB: 1:500-2000; IHC: 1:50-200; ICC:1:50-200; FCM: 1:50-100 |
| Antibody Type | Monoclonal |
| Host Species | Rabbit |
| Construction | Recombinant Antibody |
| Purification | ProA affinity purified |
| Appearance | Liquid |
| Formulation | 1*TBS (pH7.4), 1%BSA, 40%Glycerol. Preservative: 0.05% Sodium Azide. |
| Research Background | Mitochondrial pyruvate dehydrogenase (PDH) catalyzes the oxidative decarboxylation of pyruvate and plays a central role in the regulation of homeostasis of carbohydrate fuels in mammals. PDH activity is controlled by a phosphorylation/dephosphorylation cycle, phosphorylation leading to inactivation and dephosphorylation leading to reactivation of PDH. The phosphorylation of PDH is catalyzed by pyruvate dehydrogenase kinase (PDK), the activity of which is stimulated by the products of PDH catalysis. PDK1 consists of alpha and beta subunits; the kinase activity resides in the alpha subunit. Three PDK isoenzymes have been identified in humans (PDK1, 2 and 3) and two have been identified in rodent (PDK1 and 2). |
| Conjucates | Unconjugated |
| Immunogen | Recombinant Protein |
| Uniprot ID |
| Molecular Weight | Theoretical: 49 kDa. |
| Stability & Storage | Store at -20°C or -80°C for 12 months. Avoid repeated freeze-thaw cycles. |
| Transport | Shipping with blue ice. |
| Size | Quantity | Unit Price | Amount | Operation |
|---|

Copyright © 2015-2026 TargetMol Chemicals Inc. All Rights Reserved.