Shopping Cart
Remove All
Your shopping cart is currently empty
Anti-ODC1 Polyclonal Antibody is a Rabbit antibody targeting ODC1. Anti-ODC1 Polyclonal Antibody can be used in IF,IHC-Fr,IHC-P,WB.
| Pack Size | Price | USA Stock | Global Stock | Quantity |
|---|---|---|---|---|
| 50 μL | $220 | 7-10 days | 7-10 days | |
| 100 μL | $372 | 7-10 days | 7-10 days | |
| 200 μL | $527 | 7-10 days | 7-10 days |
| Description | Anti-ODC1 Polyclonal Antibody is a Rabbit antibody targeting ODC1. Anti-ODC1 Polyclonal Antibody can be used in IF,IHC-Fr,IHC-P,WB. |
| Synonyms | Ornithine decarboxylase, ODC1 |
| Ig Type | IgG |
| Reactivity | Mouse,Rat (predicted:Human,Dog,Pig,Cow,Horse) |
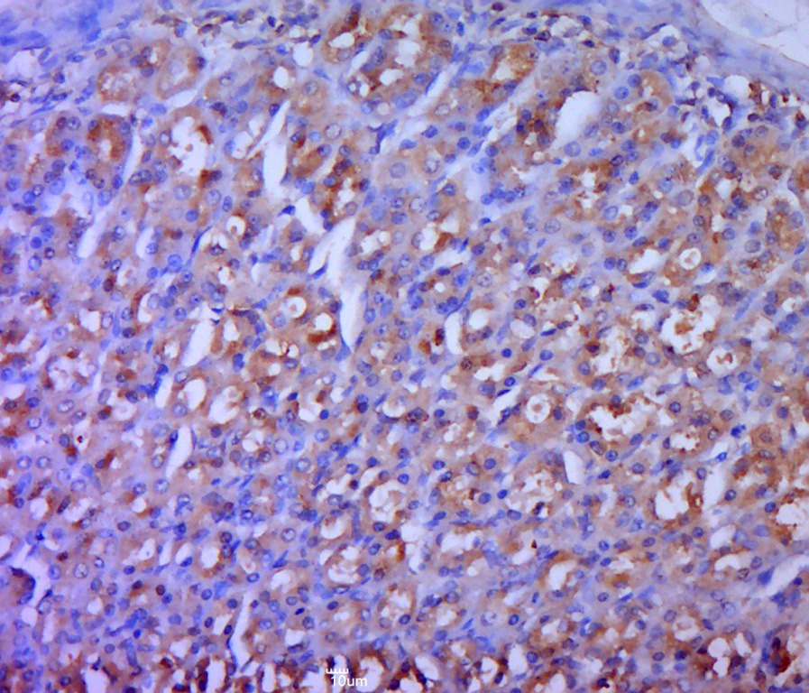
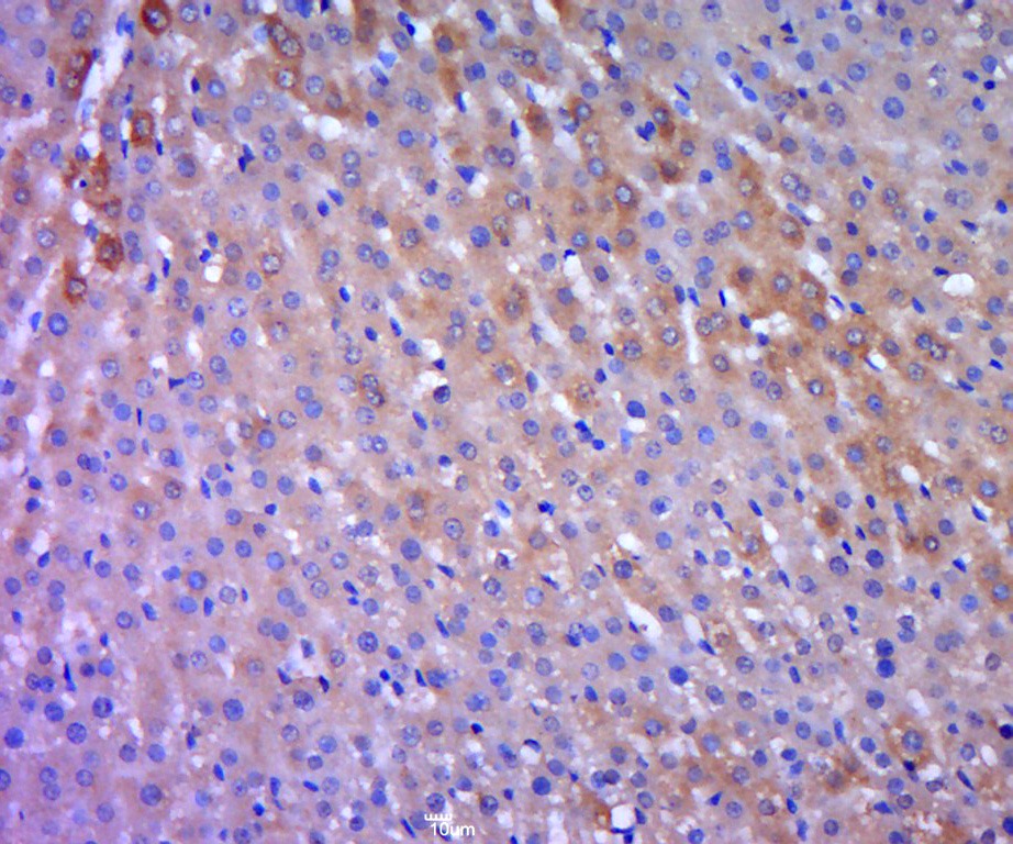
| Verified Activity | 1. Paraformaldehyde-fixed, paraffin embedded (rat stomach tissue); Antigen retrieval by boiling in sodium citrate buffer (pH6.0) for 15 min; Block endogenous peroxidase by 3% hydrogen peroxide for 20 min; Blocking buffer (normal goat serum) at 37°C for 30 min; Antibody incubation with (ODC) Polyclonal Antibody, Unconjugated (TMAB-01282) at 1:400 overnight at 4°C, followed by a conjugated secondary for 20 min and DAB staining. 2. Sample: Kidney (Mouse) lysate at 30 μg; Primary: Anti-ODc (TMAB-01282) at 1:300 dilution; Secondary: HRP conjugated Goat-Anti-rabbit Igg (secondary antibody) at 1: 5000 dilution; Predicted band size:51 kDa Observed band size:51 kDa 3. Sample: Liver (Mouse) lysate at 30 μg; Primary: Anti-ODc (TMAB-01282) at 1:300 dilution; Secondary: AP conjugated Goat Anti-Rabbit Igg at 1: 5000 dilution; Predicted band size: 51 kDa Observed band size: 51 kDa 4. Sample: Kidney (Mouse) lysate at 30 μg; Primary: Anti-ODc (TMAB-01282) at 1:300 dilution; Secondary: HRP conjugated Goat-Anti-rabbit Igg (secondary antibody) at 1: 5000 dilution; Predicted band size:51 kDa Observed band size:51 kDa 5. Paraformaldehyde-fixed, paraffin embedded (rat liver tissue); Antigen retrieval by boiling in sodium citrate buffer (pH6.0) for 15 min; Block endogenous peroxidase by 3% hydrogen peroxide for 20 min; Blocking buffer (normal goat serum) at 37°C for 30 min; Antibody incubation with (ODC) Polyclonal Antibody, Unconjugated (TMAB-01282) at 1:400 overnight at 4°C, followed by a conjugated secondary for 20 min and DAB staining. ![]() ![]() ![]() ![]() ![]() |
| Application | |
| Recommended Dose | WB: 1:500-2000; IHC-P: 1:100-500; IHC-Fr: 1:100-500; IF: 1:100-500 |
| Antibody Type | Polyclonal |
| Host Species | Rabbit |
| Construction | Polyclonal Antibody |
| Purification | Protein A purified |
| Appearance | Liquid |
| Formulation | 0.01M TBS (pH7.4) with 1% BSA, 0.02% Proclin300 and 50% Glycerol. |
| Concentration | 1 mg/mL |
| Research Background | Ornithine Decarboxylase (ODC) is the initial and rate limiting enzyme in the biosynthetic pathway of polyamines and is involved in the conversion of ornithine to putrescine. The biological activity of ODC is rapidly induced in response to virtually all agents known to promote cell proliferation including hormones, drugs, growth factors, mitogens, and tumor promoters. Reportedly, ODC mRNA levels are elevated in lung carcinomas as well as in colon adenomas and carcinomas. ODC activity in colorectal carcinomas is greater than those in adenomas and normal mucosa. |
| Immunogen | KLH conjugated synthetic peptide: human ODC1 |
| Antigen Species | Human |
| Gene Name | ODC1 |
| Gene ID | |
| Protein Name | Ornithine decarboxylase |
| Uniprot ID | |
| Biology Area | Amino acid metabolism,Amino Acids |
| Molecular Weight | Theoretical: 51 kDa. Actual: 51 kDa. |
| Stability & Storage | Store at -20°C or -80°C for 12 months. Avoid repeated freeze-thaw cycles. |
| Transport | Shipping with blue ice. |
| Size | Quantity | Unit Price | Amount | Operation |
|---|

Copyright © 2015-2026 TargetMol Chemicals Inc. All Rights Reserved.