Shopping Cart
Remove All
Your shopping cart is currently empty
Synonyms: Putative nucleotide binding protein estradiol induced, Nucleostemin, Nucleolar GTP-binding protein 3, Nucleolar GTP binding protein 3, NS, Novel nucleolar protein 47, NNP47, MGC800, Guanine nucleotide-binding protein-like 3, Guanine nucleotide binding protein like 3 (nucleolar), Guanine nucleotide binding protein like 3, GNL3_HUMAN, GNL3, Estradiol induced nucleotide binding protein, E2-induced gene 3 protein, E2IG3, E2 induced gene 3 protein, C77032
| Pack Size | Price | USA Stock | Global Stock | Quantity |
|---|---|---|---|---|
| 50 μL | $298 | 7-10 days | 7-10 days | |
| 100 μL | $497 | 7-10 days | 7-10 days |
| Description | Anti-Nucleostemin Antibody (4J11) is a Rabbit antibody targeting Nucleostemin. Anti-Nucleostemin Antibody (4J11) can be used in FCM,ICC,IHC,WB. |
| Synonyms | Putative nucleotide binding protein estradiol induced, Nucleostemin, Nucleolar GTP-binding protein 3, Nucleolar GTP binding protein 3, NS, Novel nucleolar protein 47, NNP47, MGC800, Guanine nucleotide-binding protein-like 3, Guanine nucleotide binding protein like 3 (nucleolar), Guanine nucleotide binding protein like 3, GNL3_HUMAN, GNL3, Estradiol induced nucleotide binding protein, E2-induced gene 3 protein, E2IG3, E2 induced gene 3 protein, C77032 |
| Ig Type | IgG |
| Clone | 4J11 |
| Reactivity | Human |
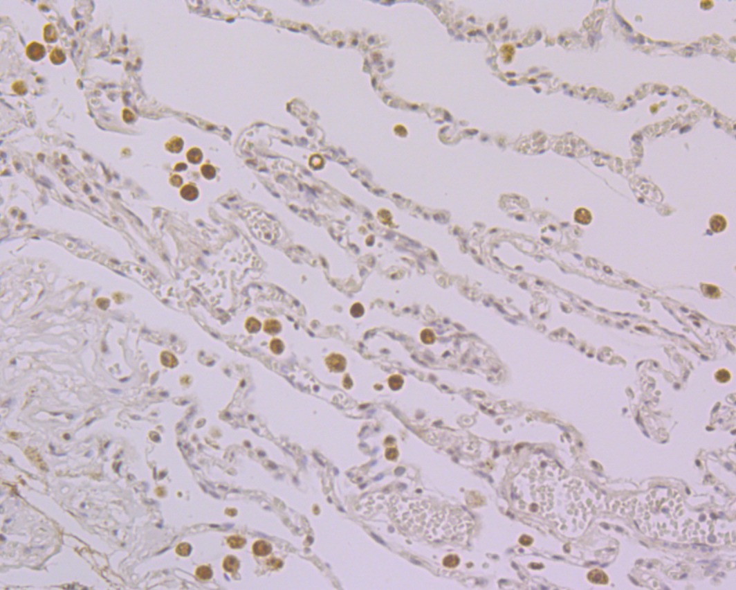
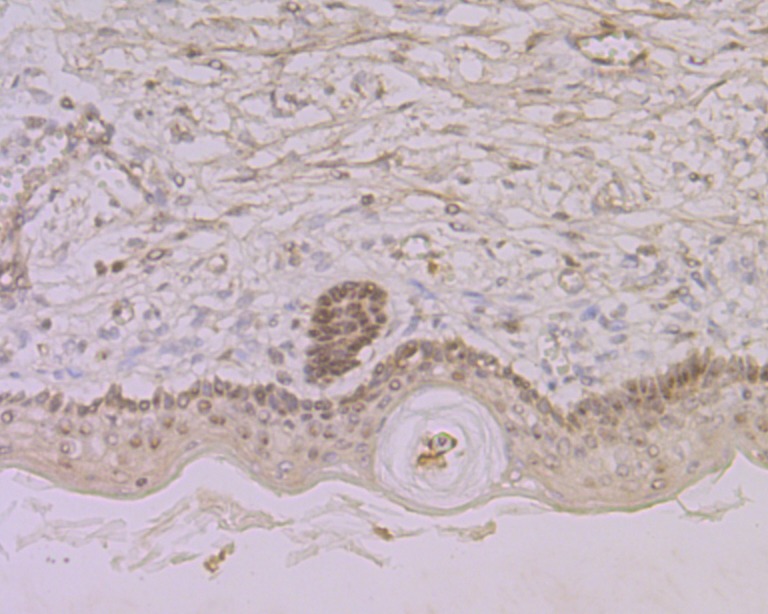
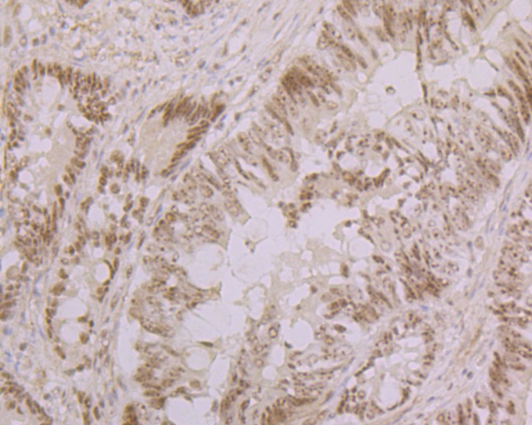
| Verified Activity | 1. Immunohistochemical analysis of paraffin-embedded human lung cancer tissue using anti-Nucleostemin antibody. Counter stained with hematoxylin. 2. Immunohistochemical analysis of paraffin-embedded human breast cancer tissue using anti-Nucleostemin antibody. Counter stained with hematoxylin. 3. Immunohistochemical analysis of paraffin-embedded human skin tissue using anti-Nucleostemin antibody. Counter stained with hematoxylin. 4. ICC staining Nucleostemin in A549 cells (green). The nuclear counter stain is DAPI (blue). Cells were fixed in paraformaldehyde, permeabilised with 0.25% Triton X100/PBS. 5. ICC staining Nucleostemin in HepG2 cells (green). The nuclear counter stain is DAPI (blue). Cells were fixed in paraformaldehyde, permeabilised with 0.25% Triton X100/PBS. 6. Flow cytometric analysis of A549 cells with Nucleostemin antibody at 1/50 dilution (Fuchsia) compared with an unlabelled control (cells without incubation with primary antibody; Yellow). Alexa Fluor 488-conjugated goat anti-rabbit IgG was used as the secondary antibody. |
| Application | |
| Recommended Dose | IHC: 1:50-200; ICC: 1:50-200; FCM: 1:50-100 |
| Antibody Type | Monoclonal |
| Host Species | Rabbit |
| Construction | Recombinant Antibody |
| Purification | ProA affinity purified |
| Appearance | Liquid |
| Formulation | 1*TBS (pH7.4), 1%BSA, 40%Glycerol. Preservative: 0.05% Sodium Azide. |
| Research Background | The protein encoded by this gene may interact with p53 and may be involved in tumorigenesis. The encoded protein also appears to be important for stem cell proliferation. Stabilizes MDM2 by preventing its ubiquitination, and hence proteasomal degradation. This protein is found in both the nucleus and nucleolus. Three transcript variants encoding two different isoforms have been found for this gene. |
| Conjucates | Unconjugated |
| Immunogen | Recombinant Protein: the C-terminus of human Nucleostemin |
| Antigen Species | human |
| Uniprot ID |
| Molecular Weight | Theoretical: 62 kDa. |
| Stability & Storage | Store at -20°C or -80°C for 12 months. Avoid repeated freeze-thaw cycles. |
| Transport | Shipping with blue ice. |
| Size | Quantity | Unit Price | Amount | Operation |
|---|

Copyright © 2015-2026 TargetMol Chemicals Inc. All Rights Reserved.