Shopping Cart
Remove All
Your shopping cart is currently empty
Anti-NQO1 Polyclonal Antibody is a Rabbit antibody targeting NQO1. Anti-NQO1 Polyclonal Antibody can be used in ICC/IF,IF,IHC-Fr,IHC-P,WB.
| Pack Size | Price | USA Warehouse | Global Warehouse | Quantity |
|---|---|---|---|---|
| 50 μL | $221 | 7-10 days | 7-10 days | |
| 100 μL | $374 | 7-10 days | 7-10 days | |
| 200 μL | $527 | 7-10 days | 7-10 days |
| Description | Anti-NQO1 Polyclonal Antibody is a Rabbit antibody targeting NQO1. Anti-NQO1 Polyclonal Antibody can be used in ICC/IF,IF,IHC-Fr,IHC-P,WB. |
| Synonyms | QR1, NMORI, NMOR1, NAD(P)H dehydrogenase, quinone 1, DTD, DIA4, DHQU |
| Ig Type | IgG |
| Reactivity | Human,Mouse,Rat (predicted:Pig,Horse,Rabbit,GuineaPig) |
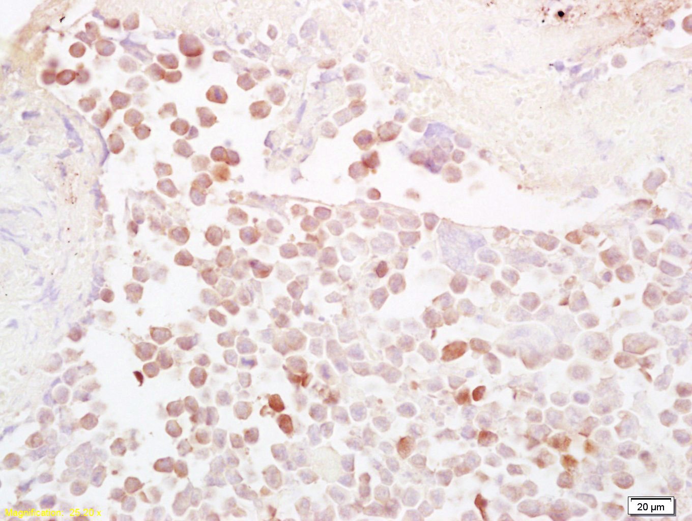
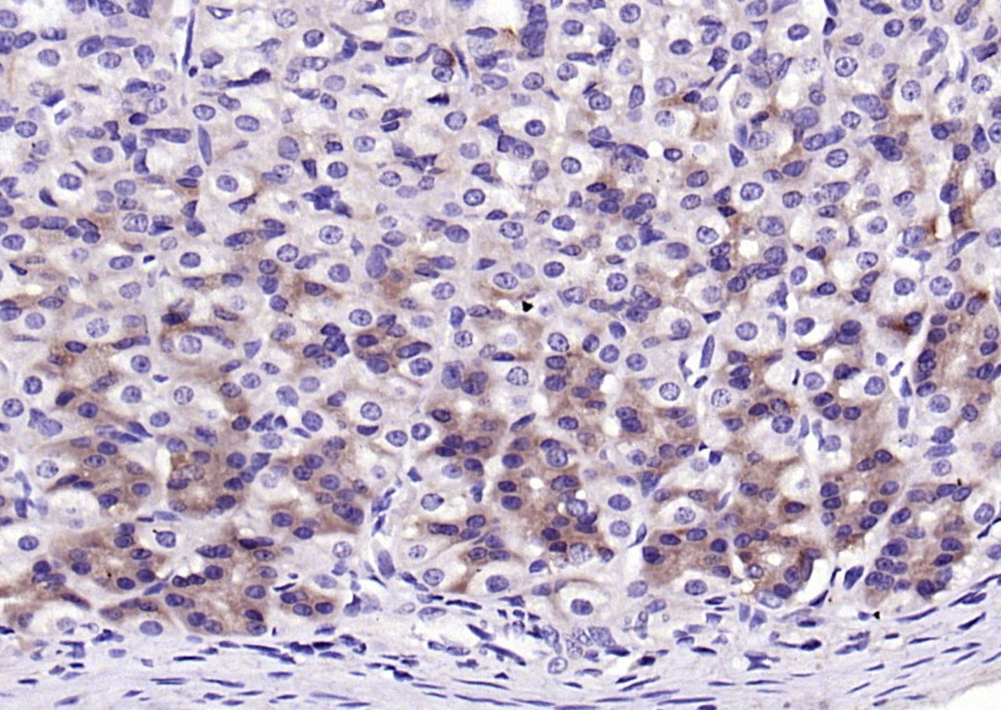
| Verified Activity | 1. Paraformaldehyde-fixed, paraffin embedded (rat stomach); Antigen retrieval by boiling in sodium citrate buffer (pH6.0) for 15 min; Block endogenous peroxidase by 3% hydrogen peroxide for 20 min; Blocking buffer (normal goat serum) at 37°C for 30 min; Antibody incubation with (NQO1) Polyclonal Antibody, Unconjugated (TMAB-01261) at 1:200 overnight at 4°C, followed by operating according to SP Kit (Rabbit) instructionsand DAB staining. 2. Sample: A549 (Human) Cell Lysate at 30 μg Primary: Anti-NQO1 (TMAB-01261) at 1/1000 dilution Secondary: IRDye800CW Goat Anti-Rabbit IgG at 1/20000 dilution Predicted band size: 31 kDa Observed band size: 31 kDa 3. Tissue/cell: mouse colon carcinoma; 4% Paraformaldehyde-fixed and paraffin-embedded; Antigen retrieval: citrate buffer (0.01M, pH6.0), Boiling bathing for 15 min; Block endogenous peroxidase by 3% Hydrogen peroxide for 30 min; Blocking buffer (normal goat serum) at 37°C for 20 min; Incubation: Anti-NQO1 Polyclonal Antibody, Unconjugated (TMAB-01261) 1:200, overnight at 4°C, followed by conjugation to the secondary antibody and DAb staining. 4. 4% Paraformaldehyde-fixed HepG2 (H) cell; Triton X-100 at RT for 20 min; Antibody incubation with (NQO1) polyclonal Antibody, unconjugated (TMAB-01261) 1:100, 90 min at 37°C; followed by conjugated Goat Anti-Rabbit IgG antibody (green ) at 37°C for 90 min, DAPI (blue) was used to stain the cell nucleus. PBS instead of the primary antibody was used as the blank control. 5. 25 μg total protein per Lane of various lysates probed with NQO1 polyclonal antibody, unconjugated (TMAB-01261) at 1:1000 dilution and 4°C overnight incubation. Followed by conjugated secondary antibody incubation at RT for 60 min. ![]() ![]() ![]() ![]() ![]() |
| Application | |
| Recommended Dose | WB: 1:500-2000; IHC-P: 1:100-500; IHC-Fr: 1:100-500; ICC/IF: 1:50-200; IF: 1:100-500 |
| Antibody Type | Polyclonal |
| Host Species | Rabbit |
| Subcellular Localization | Cytoplasm. |
| Construction | Polyclonal Antibody |
| Purification | Protein A purified |
| Appearance | Liquid |
| Formulation | 0.01M TBS (pH7.4) with 1% BSA, 0.02% Proclin300 and 50% Glycerol. |
| Concentration | 1 mg/mL |
| Research Background | This gene is a member of the NAD(P)H dehydrogenase (quinone) family and encodes a cytoplasmic 2-electron reductase. This FAD-binding protein forms homodimers and reduces quinones to hydroquinones. This protein's enzymatic activity prevents the one electron reduction of quinones that results in the production of radical species. Mutations in this gene have been associated with tardive dyskinesia (TD), an increased risk of hematotoxicity after exposure to benzene, and susceptibility to various forms of cancer. Altered expression of this protein has been seen in many tumors and is also associated with Alzheimer's disease (AD). Alternate transcriptional splice variants, encoding different isoforms, have been characterized. [provided by RefSeq]. |
| Immunogen | KLH conjugated synthetic peptide: human NQO1 |
| Antigen Species | Human |
| Gene Name | NQO1 |
| Gene ID | |
| Protein Name | NAD(P)H dehydrogenase [quinone] 1 |
| Uniprot ID | |
| Biology Area | Drug metabolism,Cancer,Drug metabolism |
| Function | The enzyme apparently serves as a quinone reductase in connection with conjugation reactions of hydroquinons involved in detoxification pathways as well as in biosynthetic processes such as the vitamin K-dependent gamma-carboxylation of glutamate residues in prothrombin synthesis. |
| Molecular Weight | Theoretical: 31 kDa. |
| Stability & Storage | Store at -20°C or -80°C for 12 months. Avoid repeated freeze-thaw cycles. |
| Transport | Shipping with blue ice. |
| Size | Quantity | Unit Price | Amount | Operation |
|---|

Copyright © 2015-2026 TargetMol Chemicals Inc. All Rights Reserved.