Shopping Cart
Remove All
Your shopping cart is currently empty
Anti-NEFH Polyclonal Antibody is a Rabbit antibody targeting NEFH. Anti-NEFH Polyclonal Antibody can be used in IF, IHC-Fr, IHC-P.
| Pack Size | Price | USA Warehouse | Global Warehouse | Quantity |
|---|---|---|---|---|
| 50 μL | $222 | 7-10 days | 7-10 days | |
| 100 μL | $372 | 7-10 days | 7-10 days |
| Description | Anti-NEFH Polyclonal Antibody is a Rabbit antibody targeting NEFH. Anti-NEFH Polyclonal Antibody can be used in IF, IHC-Fr, IHC-P. |
| Synonyms | NF-H, NFH, Neurofilament triplet H protein, Neurofilament heavy polypeptide, NEFH, KIAA0845, 200 kDa neurofilament protein |
| Ig Type | IgG |
| Reactivity | Mouse,Rat (predicted:Human) |
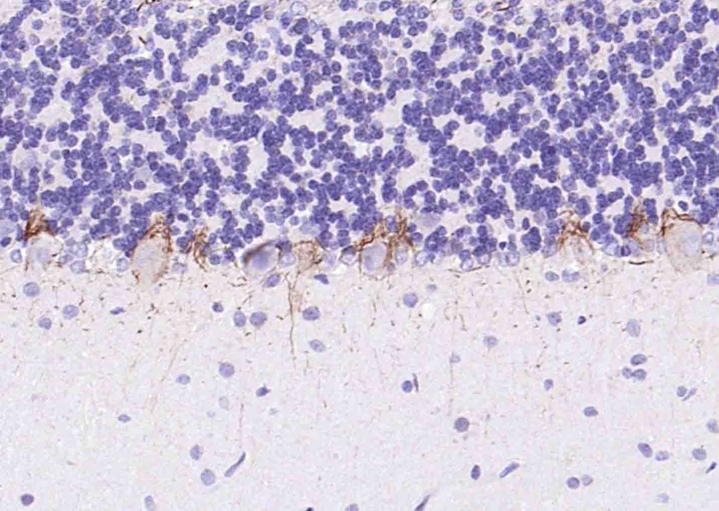
| Verified Activity | 1. Paraformaldehyde-fixed, paraffin embedded (rat brain); Antigen retrieval by boiling in sodium citrate buffer (pH6.0) for 15 min; Block endogenous peroxidase by 3% hydrogen peroxide for 20 min; Blocking buffer (normal goat serum) at 37°C for 30 min; Antibody incubation with (NF-H) Polyclonal Antibody, Unconjugated (TMAB-01211) at 1:200 overnight at 4°C, followed by operating according to SP Kit (Rabbit) instructionsand DAB staining. 2. Paraformaldehyde-fixed, paraffin embedded (rat cerebellum); Antigen retrieval by boiling in sodium citrate buffer (pH6.0) for 15 min; Block endogenous peroxidase by 3% hydrogen peroxide for 20 min; Blocking buffer (normal goat serum) at 37°C for 30 min; Antibody incubation with (NF-H) Polyclonal Antibody, Unconjugated (TMAB-01211) at 1:200 overnight at 4°C, followed by operating according to SP Kit (Rabbit) instructionsand DAB staining. 3. Paraformaldehyde-fixed, paraffin embedded (mouse cerebellum); Antigen retrieval by boiling in sodium citrate buffer (pH6.0) for 15 min; Block endogenous peroxidase by 3% hydrogen peroxide for 20 min; Blocking buffer (normal goat serum) at 37°C for 30 min; Antibody incubation with (NF-H) Polyclonal Antibody, Unconjugated (TMAB-01211) at 1:200 overnight at 4°C, followed by operating according to SP Kit (Rabbit) instructionsand DAB staining. ![]() ![]() ![]() |
| Application | |
| Recommended Dose | IHC-P: 1:100-500; IHC-Fr: 1:100-500; IF: 1:100-500 |
| Antibody Type | Polyclonal |
| Host Species | Rabbit |
| Construction | Polyclonal Antibody |
| Purification | Protein A purified |
| Appearance | Liquid |
| Formulation | 0.01M TBS (pH7.4) with 1% BSA, 0.02% Proclin300 and 50% Glycerol. |
| Concentration | 1 mg/mL |
| Research Background | Neurofilaments can be defined as the intermediate or 10nm filaments found in specifically in neuronal cells. When visualised using an electron microscope, neurofilaments appear as 10nm diameter fibres of indeterminate length that generally have fine wispy protrusions from their sides. They are particularly abundant in axons of large projection neurons. They probably function to provide structural support for neurons and their synapses and to support the large axon diameters required for rapid conduction of impulses down axons. Neurofilaments are composed of a mixture of subunits, which usually includes the three neurofilament triplet proteins neurofilament light (NFL), neurofilament medium (NFM) and neurofilament heavy (NFH). Neurofilaments may also include smaller amounts of peripherin, alpha internexin, nestin and in some cases vimentin. Antibodies to the various neurofilament subunits are very useful cell type markers since the proteins are among the most abundant of the nervous system, are expressed only in neurons, and are biochemically very stable. Some studies have shown that levels of neurofilament heavy and neurofilament light are elevated in patients with Alzheimer's disease, frontotemporal lobe dementia, and vascular dementia. |
| Immunogen | KLH conjugated synthetic peptide: human NF-H |
| Antigen Species | Human |
| Gene Name | NEFH |
| Gene ID | |
| Protein Name | Neurofilament heavy polypeptide |
| Uniprot ID | |
| Biology Area | Intermediate Filaments,Axon marker,Alzheimer's disease,Neurodegenerative disease,Neurofilaments |
| Function | Neurofilaments usually contain three intermediate filament proteins: L, M, and H which are involved in the maintenance of neuronal caliber. NF-H has an important function in mature axons that is not subserved by the two smaller NF proteins. |
| Molecular Weight | Theoretical: 118 kDa. Actual: 200 kDa. |
| Stability & Storage | Store at -20°C or -80°C for 12 months. Avoid repeated freeze-thaw cycles. |
| Transport | Shipping with blue ice. |
| Size | Quantity | Unit Price | Amount | Operation |
|---|

Copyright © 2015-2026 TargetMol Chemicals Inc. All Rights Reserved.