Shopping Cart
Remove All
Your shopping cart is currently empty
Anti-MMP-7 Polyclonal Antibody is a Rabbit antibody targeting MMP-7. Anti-MMP-7 Polyclonal Antibody can be used in ELISA, IF, IHC-Fr, IHC-P, WB.
| Pack Size | Price | USA Stock | Global Stock | Quantity |
|---|---|---|---|---|
| 50 μL | $220 | 7-10 days | 7-10 days | |
| 100 μL | $372 | 7-10 days | 7-10 days | |
| 200 μL | $529 | 7-10 days | 7-10 days |
| Description | Anti-MMP-7 Polyclonal Antibody is a Rabbit antibody targeting MMP-7. Anti-MMP-7 Polyclonal Antibody can be used in ELISA, IF, IHC-Fr, IHC-P, WB. |
| Synonyms | Uterine metalloproteinase, Pump-1 protease, PUMP1, MPSL1, MMP7, Matrix metalloproteinase-7 (MMP-7), Matrin, Matrilysin |
| Ig Type | IgG |
| Reactivity | Human,Mouse (predicted:Rat,Monkey) |
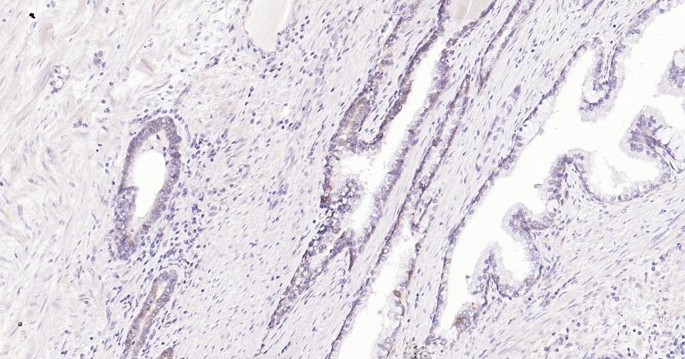
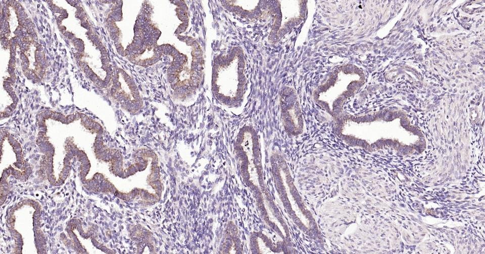
| Verified Activity | 1. 25 μg total protein per Lane of various lysates probed with MMP7 polyclonal antibody, unconjugated (TMAB-01158) at 1:1000 dilution and 4°C overnight incubation. Followed by conjugated secondary antibody incubation at RT for 60 min. 2. Paraformaldehyde-fixed, paraffin embedded Human Prostate; Antigen retrieval by boiling in sodium citrate buffer (pH6.0) for 15 min; Antibody incubation with MMP7 Polyclonal Antibody, Unconjugated (TMAB-01158) at 1:200 overnight at 4°C, followed by conjugation to the SP Kit (Rabbit) and DAB staining. 3. Paraformaldehyde-fixed, paraffin embedded Human Endometrium; Antigen retrieval by boiling in sodium citrate buffer (pH6.0) for 15 min; Antibody incubation with MMP7 Polyclonal Antibody, Unconjugated (TMAB-01158) at 1:200 overnight at 4°C, followed by conjugation to the SP Kit (Rabbit) and DAB staining. ![]() ![]() ![]() |
| Application | |
| Recommended Dose | WB: 1:500-2000; IHC-P: 1:50-200; IHC-Fr: 1:50-200; IF: 1:50-200; ELISA: 1:2000-10000 |
| Antibody Type | Polyclonal |
| Host Species | Rabbit |
| Subcellular Localization | Secreted, extracellular space, extracellular matrix (Probable). |
| Construction | Polyclonal Antibody |
| Purification | Protein A purified |
| Appearance | Liquid |
| Formulation | 0.01M TBS (pH7.4) with 1% BSA, 0.02% Proclin300 and 50% Glycerol. |
| Concentration | 1 mg/mL |
| Research Background | Proteins of the matrix metalloproteinase (MMP) family are involved in the breakdown of extracellular matrix in normal physiological processes, such as embryonic development, reproduction, and tissue remodeling, as well as in disease processes, such as arthritis and metastasis. Most MMP's are secreted as inactive proproteins which are activated when cleaved by extracellular proteinases. The enzyme encoded by this gene degrades proteoglycans, fibronectin, elastin and casein and differs from most MMP family members in that it lacks a conserved C-terminal protein domain. The enzyme is involved in wound healing, and studies in mice suggest that it regulates the activity of defensins in intestinal mucosa. The gene is part of a cluster of MMP genes which localize to chromosome 11q22.3. [provided by RefSeq, Jul 2008] |
| Immunogen | KLH conjugated synthetic peptide: human MMP7 |
| Antigen Species | Human |
| Gene Name | MMP7 |
| Gene ID | |
| Protein Name | Matrilysin |
| Uniprot ID | |
| Biology Area | MMPs,MMPs,MMPs,MMP,MMPs,MMP |
| Function | Degrades casein, gelatins of types I, III, IV, and V, and fibronectin. Activates procollagenase. |
| Molecular Weight | Theoretical: 30 kDa. Actual: 28 kDa. |
| Stability & Storage | Store at -20°C or -80°C for 12 months. Avoid repeated freeze-thaw cycles. |
| Transport | Shipping with blue ice. |
| Size | Quantity | Unit Price | Amount | Operation |
|---|

Copyright © 2015-2026 TargetMol Chemicals Inc. All Rights Reserved.