Shopping Cart
Remove All
Your shopping cart is currently empty
Synonyms: Short chain dehydrogenase/reductase family 26C member 1, SDR26C1, HSD11L, HSD11B1, HSD11, Corticosteroid 11-beta-dehydrogenase isozyme 1, 7-oxosteroid reductase, 11-DH, 11-beta-hydroxysteroid dehydrogenase 1, 11-beta-HSD1
| Pack Size | Price | USA Stock | Global Stock | Quantity |
|---|---|---|---|---|
| 50 μL | $298 | 7-10 days | 7-10 days | |
| 100 μL | $496 | 7-10 days | 7-10 days |
| Description | Anti-HSD11B1 Antibody (6B221) is a Rabbit antibody targeting HSD11B1. Anti-HSD11B1 Antibody (6B221) can be used in IHC,WB. |
| Synonyms | Short chain dehydrogenase/reductase family 26C member 1, SDR26C1, HSD11L, HSD11B1, HSD11, Corticosteroid 11-beta-dehydrogenase isozyme 1, 7-oxosteroid reductase, 11-DH, 11-beta-hydroxysteroid dehydrogenase 1, 11-beta-HSD1 |
| Ig Type | IgG |
| Clone | 6B221 |
| Reactivity | Human,Mouse,Rat |
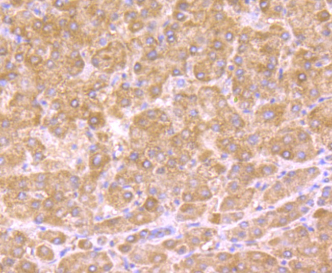
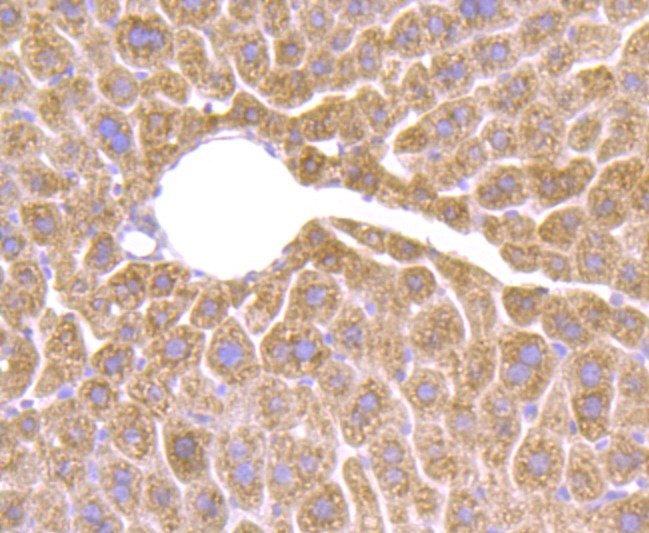
| Verified Activity | 1. Immunohistochemical analysis of paraffin-embedded human liver tissue using anti-HSD11B1 antibody. Counter stained with hematoxylin. 2. Immunohistochemical analysis of paraffin-embedded mouse liver tissue using anti-HSD11B1 antibody. Counter stained with hematoxylin. 3. Western blot analysis of HSD11B1 expression in human fetal liver lysate. 4. All lanes use the Antibody at 1:1K dilution for 1 hour at room temperature. 5. All lanes use the Antibody at 1:1K dilution for 1 hour at room temperature. |
| Application | |
| Recommended Dose | WB: 1:1000-2000; IHC: 1:100-200 |
| Antibody Type | Monoclonal |
| Host Species | Rabbit |
| Construction | Recombinant Antibody |
| Purification | Affinity-chromatography |
| Appearance | Liquid |
| Formulation | Rabbit IgG in 10mM phosphate buffered saline , pH 7.4, 150mM sodium chloride, 0.05% BSA, 0.02% sodium azide and 50% glycerol. |
| Research Background | Catalyzes reversibly the conversion of cortisol to the inactive metabolite cortisone. Catalyzes reversibly the conversion of 7-ketocholesterol to 7-beta-hydroxycholesterol. In intact cells, the reaction runs only in one direction, from 7-ketocholesterol to 7-beta-hydroxycholesterol. |
| Conjucates | Unconjugated |
| Immunogen | A synthesized peptide: human HSD11B1 |
| Antigen Species | human |
| Uniprot ID |
| Molecular Weight | Theoretical: 32 kDa. |
| Stability & Storage | Store at 2°C-8°C for 1 month. Store at -20°C or -80°C for 12 months. Avoid repeated freeze-thaw cycles. |
| Transport | Shipping with blue ice. |
| Size | Quantity | Unit Price | Amount | Operation |
|---|

Copyright © 2015-2026 TargetMol Chemicals Inc. All Rights Reserved.