Shopping Cart
Remove All
Your shopping cart is currently empty
Anti-HLA-DQA1 Antibody (6J773) is a Rabbit antibody targeting HLA-DQA1. Anti-HLA-DQA1 Antibody (6J773) can be used in IHC,IP,WB.
| Pack Size | Price | USA Warehouse | Global Warehouse | Quantity |
|---|---|---|---|---|
| 50 μL | $297 | 7-10 days | 7-10 days | |
| 100 μL | $497 | 7-10 days | 7-10 days |
| Description | Anti-HLA-DQA1 Antibody (6J773) is a Rabbit antibody targeting HLA-DQA1. Anti-HLA-DQA1 Antibody (6J773) can be used in IHC,IP,WB. |
| Synonyms | MHC class II DQA1, HLA-DQA1, HLA-DCA, HLA class II histocompatibility antigen, DQ alpha 1 chain, DQ alpha 1 chain, DC-alpha, DC-1 alpha chain |
| Ig Type | IgG |
| Clone | 6J773 |
| Reactivity | Human,Mouse,Rat |
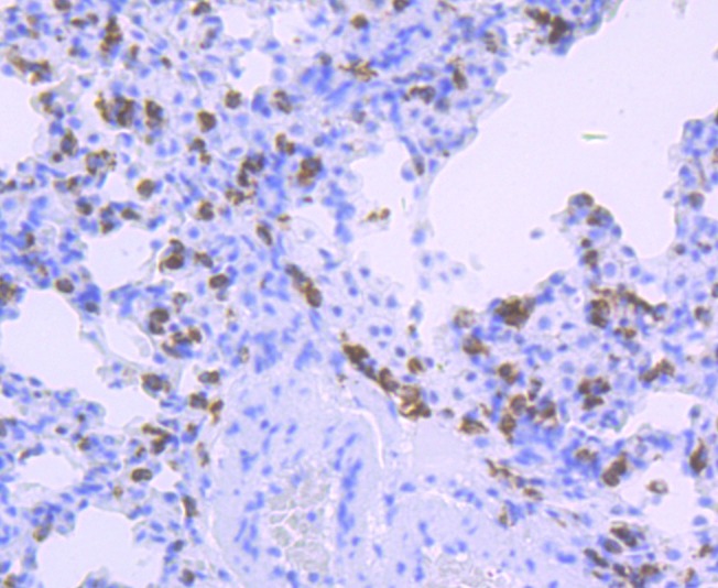
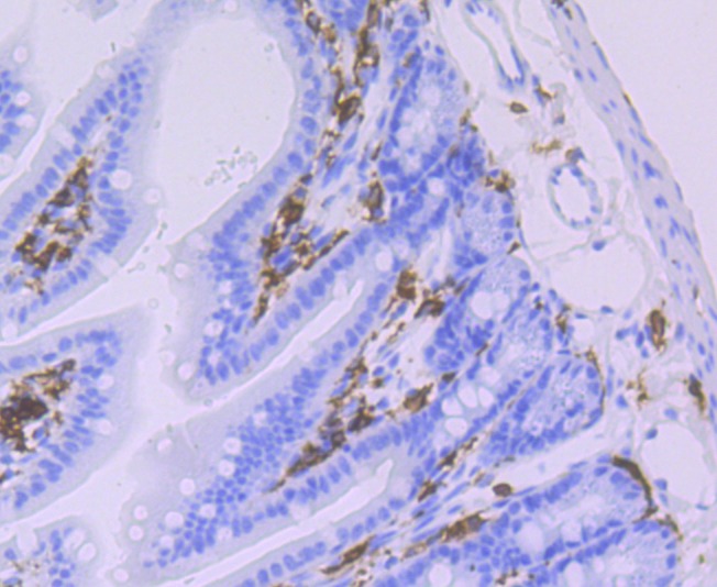
| Verified Activity | 1. Western blot analysis of HLA-DQA1 on different lysates using anti-HLA-DQA1 antibody at 1/1,000 dilution. Positive control: Lane 1: Rat lung, Lane 2: Rat skin, Lane 3: Mouse thymus, Lane 4: Mouse spleen, Lane 5: Raji. 2. Immunohistochemical analysis of paraffin-embedded rat lung tissue using anti-HLA-DQA1 antibody. Counter stained with hematoxylin. 3. Immunohistochemical analysis of paraffin-embedded human tonsil tissue using anti-HLA-DQA1 antibody. Counter stained with hematoxylin. 4. Immunohistochemical analysis of paraffin-embedded mouse colon tissue using anti-HLA-DQA1 antibody. Counter stained with hematoxylin. ![]() ![]() ![]() ![]() |
| Application | |
| Recommended Dose | WB: 1:1000-5000; IHC: 1:50-200; IP: 1:10-50 |
| Antibody Type | Monoclonal |
| Host Species | Rabbit |
| Construction | Recombinant Antibody |
| Purification | ProA affinity purified |
| Appearance | Liquid |
| Formulation | 1*TBS (pH7.4), 1%BSA, 40%Glycerol. Preservative: 0.05% Sodium Azide. |
| Research Background | Major histocompatibility complex, class II, DQ alpha 1, also known as HLA-DQA1, is a human gene present on short arm of chromosome 6 (6p21.3) and also denotes the genetic locus which contains this gene. The protein encoded by this gene is one of two proteins that are required to form the DQ heterodimer, a cell surface receptor essential to the function of the immune system.HLA-DQA1 belongs to the HLA class II alpha chain paralogues. This class II molecule is a heterodimer consisting of an alpha (DQA) and a beta chain (DQB), both anchored in the membrane. It plays a central role in the immune system by presenting peptides derived from extracellular proteins. Class II molecules are expressed in antigen-presenting cells. |
| Conjucates | Unconjugated |
| Immunogen | Recombinant Protein |
| Uniprot ID |
| Molecular Weight | Theoretical: 28 kDa. |
| Stability & Storage | Store at -20°C or -80°C for 12 months. Avoid repeated freeze-thaw cycles. |
| Transport | Shipping with blue ice. |
| Size | Quantity | Unit Price | Amount | Operation |
|---|

Copyright © 2015-2026 TargetMol Chemicals Inc. All Rights Reserved.