Shopping Cart
Remove All
Your shopping cart is currently empty
Anti-HBA1 Antibody (4N481) is a Rabbit antibody targeting HBA1. Anti-HBA1 Antibody (4N481) can be used in IHC,IP,WB.
| Pack Size | Price | USA Warehouse | Global Warehouse | Quantity |
|---|---|---|---|---|
| 50 μL | $297 | 7-10 days | 7-10 days | |
| 100 μL | $498 | 7-10 days | 7-10 days |
| Description | Anti-HBA1 Antibody (4N481) is a Rabbit antibody targeting HBA1. Anti-HBA1 Antibody (4N481) can be used in IHC,IP,WB. |
| Synonyms | Hemoglobin subunit alpha, Hemoglobin alpha chain, Hba-a1, Hba, Alpha-globin |
| Ig Type | IgG |
| Clone | 4N481 |
| Reactivity | Human,Mouse,Rat |
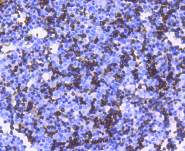
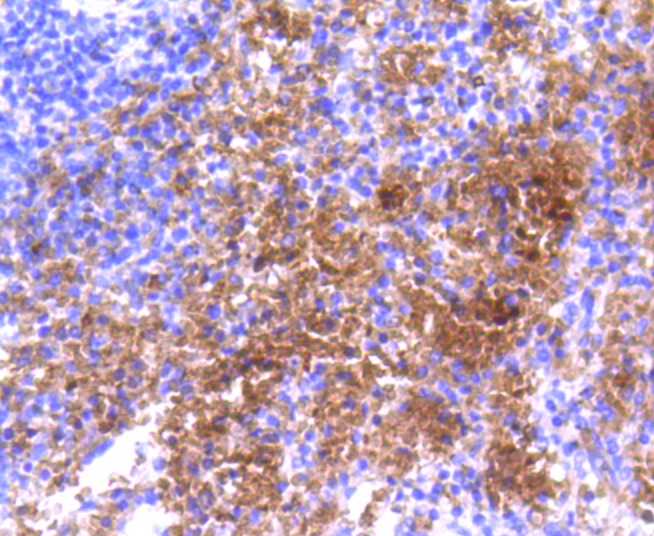
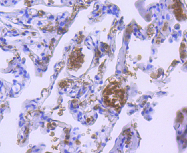
| Verified Activity | 1. Immunohistochemical analysis of paraffin-embedded human lung tissue using anti-Hemoglobin subunit alpha antibody. Counter stained with hematoxylin. 2. Immunohistochemical analysis of paraffin-embedded human spleen tissue using anti-Hemoglobin subunit alpha antibody. Counter stained with hematoxylin. 3. Immunohistochemical analysis of paraffin-embedded mouse embryo tissue using anti-Hemoglobin subunit alpha antibody. Counter stained with hematoxylin. ![]() ![]() ![]() |
| Application | |
| Recommended Dose | WB: 1:1000; IHC: 1:10-50 |
| Antibody Type | Monoclonal |
| Host Species | Rabbit |
| Construction | Recombinant Antibody |
| Purification | ProA affinity purified |
| Appearance | Liquid |
| Formulation | 1*TBS (pH7.4), 1%BSA, 40%Glycerol. Preservative: 0.05% Sodium Azide. |
| Research Background | Hemoglobin (Hgb) is coupled to four iron-binding, methene-linked tetrapyrrole rings (heme). The α (16p13.3; 5'-ζ-pseudoz-pseudo α2-pseudo α1-α2-α1-?1-3') and β (11p15.5) globin loci determine the basic hemoglobin structure. The globin portion of hemoglobin consists of two α chains and two β chains arranged in pairs forming a tetramer. Each of the four globin chains covalently associates with a heme group. The bonds between α and β chains are weaker than between similar globin chains, thereby forming a cleavage plane that is important for oxygen binding and release. High affinity for oxygen occurs upon relaxation of the α1-β2 cleavage plane. When the two α1-β2 interfaces are closely bound, hemoglobin has a low affinity for oxygen. Hb A, which contains two α chains plus two β chains, comprises 97% of total circulating hemoglobin. The remaining 3% of total circulating hemoglobin is comprised of Hb A-2, which consists of two α chains plus two δ chains, and fetal hemoglobin (Hb F), which consists of two α chains together with two γ chains. |
| Conjucates | Unconjugated |
| Immunogen | Recombinant Protein |
| Uniprot ID |
| Molecular Weight | Theoretical: 15 kDa. |
| Stability & Storage | Store at -20°C or -80°C for 12 months. Avoid repeated freeze-thaw cycles. |
| Transport | Shipping with blue ice. |
| Size | Quantity | Unit Price | Amount | Operation |
|---|

Copyright © 2015-2026 TargetMol Chemicals Inc. All Rights Reserved.