Shopping Cart
Remove All
Your shopping cart is currently empty
Anti-GSH-S Antibody (2N377) is a Rabbit antibody targeting GSH-S. Anti-GSH-S Antibody (2N377) can be used in FCM,ICC,IF,IHC,WB.
| Pack Size | Price | USA Warehouse | Global Warehouse | Quantity |
|---|---|---|---|---|
| 50 μL | $297 | 7-10 days | 7-10 days | |
| 100 μL | $496 | 7-10 days | 7-10 days |
| Description | Anti-GSH-S Antibody (2N377) is a Rabbit antibody targeting GSH-S. Anti-GSH-S Antibody (2N377) can be used in FCM,ICC,IF,IHC,WB. |
| Synonyms | GSS, GSH-S, GSH Synthetase, Glutathione Synthetase, Glutathione Synthase |
| Ig Type | IgG |
| Clone | 2N377 |
| Reactivity | Human,Mouse,Rat |
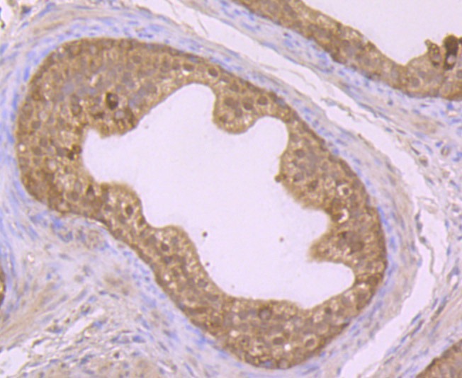
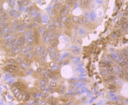
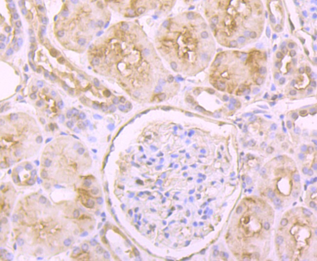
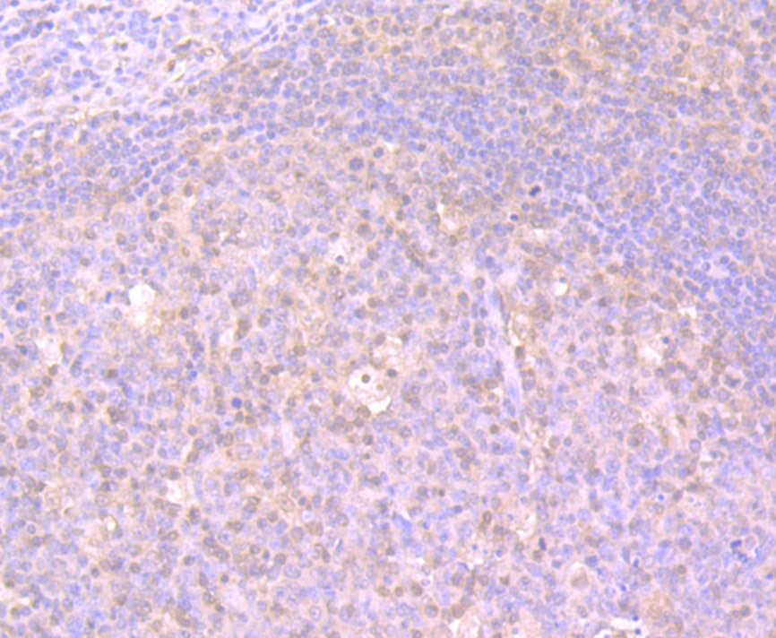
| Verified Activity | 1. Western blot analysis of Glutathione Synthetase on different lysates using anti-Glutathione Synthetase antibody at 1/500 dilution.Positive control: Lane 1: SiHa, Lane 2: Mouse colon, Lane 3: Rat liver. 2. Immunohistochemical analysis of paraffin-embedded human tonsil tissue using anti-Glutathione Synthetase antibody. Counter stained with hematoxylin. 3. Immunohistochemical analysis of paraffin-embedded human colon cancer tissue using anti-Glutathione Synthetase antibody. Counter stained with hematoxylin. 4. Immunohistochemical analysis of paraffin-embedded human kidney tissue using anti-Glutathione Synthetase antibody. Counter stained with hematoxylin. 5. Immunohistochemical analysis of paraffin-embedded rat epididymis tissue using anti-Glutathione Synthetase antibody. Counter stained with hematoxylin. 6. Immunohistochemical analysis of paraffin-embedded mouse colon tissue using anti-Glutathione Synthetase antibody. Counter stained with hematoxylin. 7. ICC staining Glutathione Synthetase in LOVO cells (green). The nuclear counter stain is DAPI (blue). Cells were fixed in paraformaldehyde, permeabilised with 0.25% Triton X100/PBS. 8. Flow cytometric analysis of HepG2 cells with Glutathione Synthetase antibody at 1/100 dilution (red) compared with an unlabelled control (cells without incubation with primary antibody; black). Alexa Fluor 488-conjugated goat anti rabbit IgG was used as the secondary antibody. ![]() ![]() ![]() ![]() ![]() ![]() ![]() ![]() |
| Application | |
| Recommended Dose | WB: 1:500-1000; IHC: 1:50-200; ICC: 1:50-200; FCM: 1:50-100 |
| Antibody Type | Monoclonal |
| Host Species | Rabbit |
| Construction | Recombinant Antibody |
| Purification | ProA affinity purified |
| Appearance | Liquid |
| Formulation | 1*TBS (pH7.4), 1%BSA, 40%Glycerol. Preservative: 0.05% Sodium Azide. |
| Research Background | GSS (Glutathione synthetase) is a 474 amino acid protein encoded by the gene located at human chromosome 20q11.2. GSS consists of three loops projecting from an antiparallel β-sheet, a parallel β-sheet and a lid of parallel sheets, which provide access to the ATP-binding site. Although Southern blot and gene analysis suggest that GSS may be the only member of a unique family, the crystal structure indicates that GSS belongs to the ATP-GRASP superfamily. GSS is expressed in hemocytes and nucleated cells, including the brain. GSS occurs as a homodimer. There are two steps in the production of Glutathione, begining with γ-GCS and ending with GSS. In an ATP-dependent reaction, GSS produces Glutathione from γ-glutamylcysteine and glycine precursors. Partial hepatectomy, diethyl maleate, buthionine sulfoximine, tert-butylhaydroquinone and thioacetamide increase the ex-pression of GSS, which causes an increase in Glutathione levels. An inherited autosomal recessive disorder, 5-oxoprolinuria (pyroglutamic aciduria), is caused by GSS deficiencies, which leads to central nervous system damage, hemolytic anemia, metabolic acidosis and urinary excretion of 5-oxoproline. |
| Conjucates | Unconjugated |
| Immunogen | Recombinant Protein |
| Uniprot ID |
| Molecular Weight | Theoretical: 52 kDa. |
| Stability & Storage | Store at -20°C or -80°C for 12 months. Avoid repeated freeze-thaw cycles. |
| Transport | Shipping with blue ice. |
| Size | Quantity | Unit Price | Amount | Operation |
|---|

Copyright © 2015-2026 TargetMol Chemicals Inc. All Rights Reserved.