Shopping Cart
Remove All
Your shopping cart is currently empty
Anti-ESCO2 Polyclonal Antibody is a Rabbit antibody targeting ESCO2. Anti-ESCO2 Polyclonal Antibody can be used in IF,IHC-Fr,IHC-P,WB.
| Pack Size | Price | USA Stock | Global Stock | Quantity |
|---|---|---|---|---|
| 50 μL | $220 | 7-10 days | 7-10 days | |
| 100 μL | $374 | 7-10 days | 7-10 days | |
| 200 μL | $528 | 7-10 days | 7-10 days |
| Description | Anti-ESCO2 Polyclonal Antibody is a Rabbit antibody targeting ESCO2. Anti-ESCO2 Polyclonal Antibody can be used in IF,IHC-Fr,IHC-P,WB. |
| Synonyms | Roberts syndrome, RBS, N acetyltransferase ESCO2, Establishment of cohesion 1 homolog 2(S. cerevisiae), Establishment of cohesion 1 homolog 2, ESTABLISHMENT FACTOR ORTHOLOG 2, ESO1, S. POMBE, HOMOLOG OF, 2, EFO2, ECO1, S. CEREVISIAE, HOMOLOG OF, 2, ECO1 homolog 2, CTF7, S. CEREVISIAE, HOMOLOG OF, 2 |
| Ig Type | IgG |
| Reactivity | Mouse (predicted:Human) |
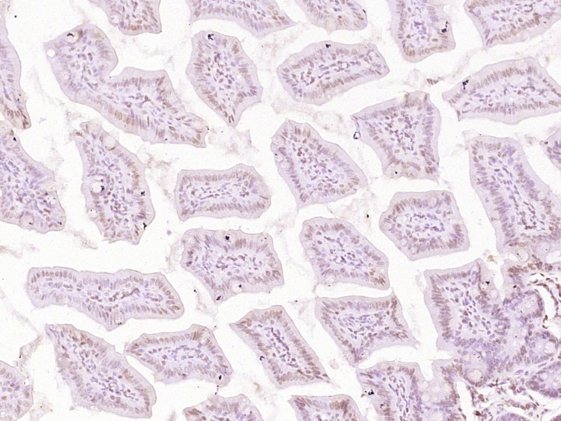
| Verified Activity | 1. Sample: Small intestine (Mouse) Lysate at 40 μg Primary: Anti-ESCO2 (TMAB-00641) at 1/300 dilution Secondary: IRDye800CW Goat Anti-Rabbit IgG at 1/20000 dilution Predicted band size: 68 kDa Observed band size: 68 kDa 2. Paraformaldehyde-fixed, paraffin embedded (Mouse intestine); Antigen retrieval by boiling in sodium citrate buffer (pH6.0) for 15 min; Block endogenous peroxidase by 3% hydrogen peroxide for 20 min; Blocking buffer (normal goat serum) at 37°C for 30 min; Antibody incubation with (ESCO2) Polyclonal Antibody, Unconjugated (TMAB-00641) at 1:400 overnight at 4°C, followed by operating according to SP Kit (Rabbit) instructionsand DAB staining. ![]() ![]() |
| Application | |
| Recommended Dose | WB: 1:500-2000; IHC-P: 1:100-500; IHC-Fr: 1:100-500; IF: 1:100-500 |
| Antibody Type | Polyclonal |
| Host Species | Rabbit |
| Subcellular Localization | Nuclear |
| Construction | Polyclonal Antibody |
| Purification | Protein A purified |
| Appearance | Liquid |
| Formulation | 0.01M TBS (pH7.4) with 1% BSA, 0.02% Proclin300 and 50% Glycerol. |
| Concentration | 1 mg/mL |
| Research Background | This gene encodes a protein that may have acetyltransferase activity and may be required for the establishment of sister chromatid cohesion during the S phase of mitosis. Mutations in this gene have been associated with Roberts syndrome. [provided by RefSeq, Jul 2008] |
| Immunogen | KLH conjugated synthetic peptide: human ESCO2 |
| Antigen Species | Human |
| Gene Name | ESCO2 |
| Gene ID | |
| Protein Name | N-acetyltransferase ESCO2 |
| Uniprot ID | |
| Biology Area | Chromatid Cohesion,Chromatid Cohesion |
| Function | ESCO2 is an acetyltransferase required for the establishment of sister chromatid cohesion, and couples the processes of cohesion and DNA replication to ensure that only sister chromatids become paired together. In contrast to the structural cohesins, the deposition and establishment factors are required only during S phase. Defects in ESCO2 are the cause of Roberts syndrome (RBS), a rare autosomal recessive disorder characterized by pre- and postnatal growth retardation, microcephaly, bilateral cleft lip and palate, and mesomelic symmetric limb reduction. Severely affected infants may be stillborn or die shortly after birth. RBS chromosomes have a lack of cohesion involving the heterochromatic C-banding regions around centromeres and the distal portion of the long arm of the Y chromosome (known as premature centromere separation, heterochromatin repulsion or puffing, or RS effect). Defects in ESCO2 are also the cause of SC phocomelia syndrome, also known as SC pseudothalidomide syndrome. SC phocomelia syndrome has a milder phenotype than RBS, with a lesser degree of symmetric limb reduction and additionally includes flexion contractures of various joints, midfacial hemangioma, hypoplastic cartilage of ears and nose, scant silvery-blond hair, and cloudy corneae. Although microcephaly is present, mental retardation may be mild and survival into adulthood is common. |
| Molecular Weight | Theoretical: 68 kDa. Actual: 68 kDa. |
| Stability & Storage | Store at -20°C or -80°C for 12 months. Avoid repeated freeze-thaw cycles. |
| Transport | Shipping with blue ice. |
| Size | Quantity | Unit Price | Amount | Operation |
|---|

Copyright © 2015-2026 TargetMol Chemicals Inc. All Rights Reserved.