Shopping Cart
Remove All
Your shopping cart is currently empty
Anti-EpCAM/TROP1 Antibody (9A610) is a Mouse antibody targeting EpCAM/TROP1. Anti-EpCAM/TROP1 Antibody (9A610) can be used in FCM,ICC,IHC,WB.
| Pack Size | Price | USA Warehouse | Global Warehouse | Quantity |
|---|---|---|---|---|
| 50 μL | $296 | 7-10 days | 7-10 days | |
| 100 μL | $426 | 7-10 days | 7-10 days |
| Description | Anti-EpCAM/TROP1 Antibody (9A610) is a Mouse antibody targeting EpCAM/TROP1. Anti-EpCAM/TROP1 Antibody (9A610) can be used in FCM,ICC,IHC,WB. |
| Synonyms | TROP-1, TROP1, TACSTD1, MK-1, MIC18, M4S1, KSA, KS1/4, HNPCC8, ESA, epithelial cell adhesion molecule, EGP40, EGP314, EGP-2, DIAR5 |
| Clone | 9A610 |
| Reactivity | Human,Mouse |
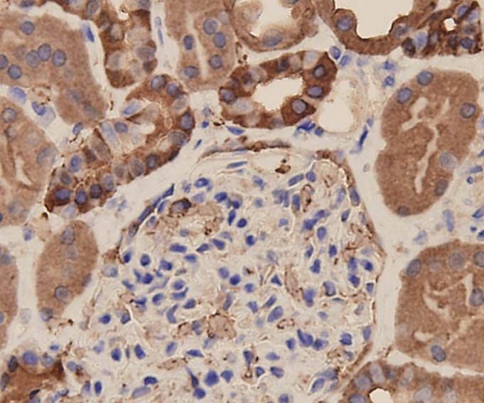
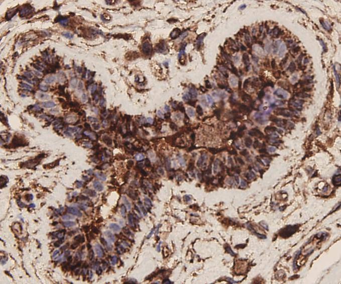
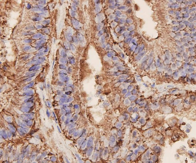
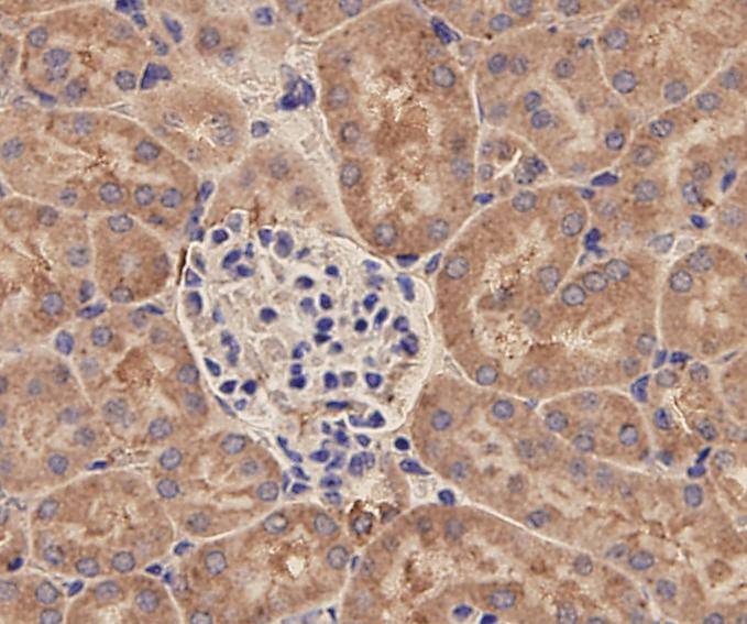
| Verified Activity | 1. Western blot analysis of EpCAM on different cell lysates using anti- EpCAM antibody at 1/1000 dilution. Positive control: Lane1: Hela, Lane2: NIH/3T3, Lane3: MCF-7. 2. Immunohistochemical analysis of paraffin-embedded human colon carcinoma tissue using EpCAM antibody. Counter stained with hematoxylin. 3. Immunohistochemical analysis of paraffin-embedded human kidney tissue using EpCAM antibody. Counter stained with hematoxylin. 4. Immunohistochemical analysis of paraffin-embedded human breast carcinoma tissue using EpCAM antibody. Counter stained with hematoxylin. 5. Immunohistochemical analysis of paraffin-embedded mouse kidney tissue using EpCAM antibody. Counter stained with hematoxylin. 6. ICC staining EpCAM in D3 cells (red). Cells were fixed in paraformaldehyde, permeabilised with 0.25% Triton X100/PBS. 7. ICC staining EpCAM in A431 cells (green). The nuclear counter stain is DAPI (blue). Cells were fixed in paraformaldehyde, permeabilised with 0.25% Triton X100/PBS. 8. ICC staining EpCAM in SW1990 cells (green). The nuclear counter stain is DAPI (blue). Cells were fixed in paraformaldehyde, permeabilised with 0.25% Triton X100/PBS. ![]() ![]() ![]() ![]() ![]() ![]() ![]() ![]() |
| Application | |
| Recommended Dose | WB: 1:1000-2000; IHC: 1:200-500; ICC: 1:100-200; FCM: 1:100-200 |
| Antibody Type | Monoclonal |
| Host Species | Mouse |
| Construction | Hybridoma Monoclonal Antibody |
| Purification | ProL affinity purified |
| Appearance | Liquid |
| Formulation | 1*TBS (pH7.4), 1%BSA, 40%Glycerol. Preservative: 0.05% Sodium Azide. |
| Research Background | Epithelial cell adhesion molecule (EpCAM) is a transmembrane glycoprotein mediating Ca2+-independent homotypic cell-cell adhesion in epithelia. EpCAM is also involved in cell signaling, migration, proliferation, and differentiation. Additionally, EpCAM has oncogenic potential via its capacity to upregulate c-myc, e-fabp, and cyclins A & E. Since EpCAM is expressed exclusively in epithelia and epithelial-derived neoplasms, EpCAM can be used as diagnostic marker for various cancers. It appears to play a role in tumorigenesis and metastasis of carcinomas, so it can also act as a potential prognostic marker and as a potential target for immunotherapeutic strategies. Mutations in EpCAM have also been associated with congenital tufting enteropathy which causes intractable diarrhea in newborn children. Specificity/Source: This antibody is produced by immunizing mice with recombinant protein corresponding to a region of EpCAM. |
| Conjucates | Unconjugated |
| Immunogen | Recombinant Protein |
| Uniprot ID |
| Molecular Weight | Theoretical: 35 kDa. |
| Stability & Storage | Store at -20°C or -80°C for 12 months. Avoid repeated freeze-thaw cycles. |
| Transport | Shipping with blue ice. |
| Size | Quantity | Unit Price | Amount | Operation |
|---|

Copyright © 2015-2026 TargetMol Chemicals Inc. All Rights Reserved.