Shopping Cart
Remove All
Your shopping cart is currently empty
Synonyms: NUK34, Nuclear matrix protein 265, NMP265, NMP 265, IF4A3_HUMAN, hNMP 265, Eukaryotic translation initiation factor 4A isoform 3, Eukaryotic initiation factor 4A-like NUK-34, Eukaryotic initiation factor 4A-III, eIF4A-III, eIF-4A-III, eIF4AIII, EIF4A3, DEAD box protein 48, DDX48, ATP-dependent RNA helicase eIF4A-3, ATP-dependent RNA helicase DDX48
| Pack Size | Price | USA Stock | Global Stock | Quantity |
|---|---|---|---|---|
| 50 μL | $298 | 7-10 days | 7-10 days | |
| 100 μL | $496 | 7-10 days | 7-10 days |
| Description | Anti-eIF4A3 Antibody (7D278) is a Rabbit antibody targeting eIF4A3. Anti-eIF4A3 Antibody (7D278) can be used in FCM,ICC,IF,IHC,IP,WB. |
| Synonyms | NUK34, Nuclear matrix protein 265, NMP265, NMP 265, IF4A3_HUMAN, hNMP 265, Eukaryotic translation initiation factor 4A isoform 3, Eukaryotic initiation factor 4A-like NUK-34, Eukaryotic initiation factor 4A-III, eIF4A-III, eIF-4A-III, eIF4AIII, EIF4A3, DEAD box protein 48, DDX48, ATP-dependent RNA helicase eIF4A-3, ATP-dependent RNA helicase DDX48 |
| Ig Type | IgG |
| Clone | 7D278 |
| Reactivity | Human,Mouse,Rat |
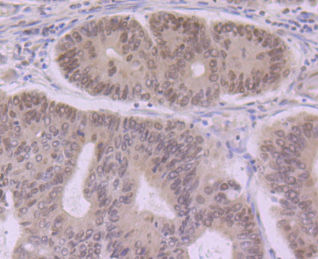
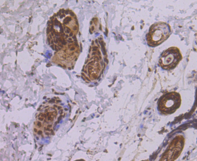
| Verified Activity | 1. Western blot analysis of eIF4A3 on SiHa cell lysates using anti-eIF4A3 at 1/500 dilution. 2. Immunohistochemical analysis of paraffin-embedded human tonsil tissue using anti-eIF4A3 antibody. Counter stained with hematoxylin. 3. Immunohistochemical analysis of paraffin-embedded human colon cancer tissue using anti-eIF4A3 antibody. Counter stained with hematoxylin. 4. Immunohistochemical analysis of paraffin-embedded human prostate cancer tissue using anti-eIF4A3 antibody. Counter stained with hematoxylin. 5. Immunohistochemical analysis of paraffin-embedded mouse skin tissue using anti-eIF4A3 antibody. Counter stained with hematoxylin. 6. ICC staining eIF4A3 in LOVO cells (green). The nuclear counter stain is DAPI (blue). Cells were fixed in paraformaldehyde, permeabilised with 0.25% Triton X100/PBS. 7. ICC staining eIF4A3 in MCF-7 cells (green). The nuclear counter stain is DAPI (blue). Cells were fixed in paraformaldehyde, permeabilised with 0.25% Triton X100/PBS. 8. ICC staining eIF4A3 in SiHa cells (green). The nuclear counter stain is DAPI (blue). Cells were fixed in paraformaldehyde, permeabilised with 0.25% Triton X100/PBS. 9. Flow cytometric analysis of MCF-7 cells with eIF4A3 antibody at 1/50 dilution (purple) compared with an unlabelled control (cells without incubation with primary antibody; yellow). Alexa Fluor 488-conjugated goat anti-rabbit IgG was used as the secondary antibody. |
| Application | |
| Recommended Dose | WB: 1:500-1000; IHC: 1:50-200; ICC: 1:50-200; FCM: 1:50-100 |
| Antibody Type | Monoclonal |
| Host Species | Rabbit |
| Construction | Recombinant Antibody |
| Purification | ProA affinity purified |
| Appearance | Liquid |
| Formulation | 1*TBS (pH7.4), 1%BSA, 40%Glycerol. Preservative: 0.05% Sodium Azide. |
| Research Background | ATP-dependent RNA helicase. Involved in pre-mRNA splicing as component of the spliceosome. Core component of the splicing-dependent multiprotein exon junction complex (EJC) deposited at splice junctions on mRNAs. The EJC is a dynamic structure consisting of core proteins and several peripheral nuclear and cytoplasmic associated factors that join the complex only transiently either during EJC assembly or during subsequent mRNA metabolism. The EJC marks the position of the exon-exon junction in the mature mRNA for the gene expression machinery and the core components remain bound to spliced mRNAs throughout all stages of mRNA metabolism thereby influencing downstream processes including nuclear mRNA export, subcellular mRNA localization, translation efficiency and nonsense-mediated mRNA decay (NMD). Its RNA-dependent ATPase and RNA-helicase activities are induced by CASC3, but abolished in presence of the MAGOH-RBM8A heterodimer, thereby trapping the ATP-bound EJC core onto spliced mRNA in a stable conformation. |
| Conjucates | Unconjugated |
| Immunogen | Recombinant Protein: human eIF4A3 aa 1-150 |
| Antigen Species | human |
| Uniprot ID |
| Molecular Weight | Theoretical: 47 kDa. |
| Stability & Storage | Store at -20°C or -80°C for 12 months. Avoid repeated freeze-thaw cycles. |
| Transport | Shipping with blue ice. |
| Size | Quantity | Unit Price | Amount | Operation |
|---|

Copyright © 2015-2026 TargetMol Chemicals Inc. All Rights Reserved.