Shopping Cart
Remove All
Your shopping cart is currently empty
Anti-E2F1 Antibody (2K279) is a Rabbit antibody targeting E2F1. Anti-E2F1 Antibody (2K279) can be used in FCM,ICC/IF,IHC,IP,WB.
| Pack Size | Price | USA Warehouse | Global Warehouse | Quantity |
|---|---|---|---|---|
| 50 μL | $297 | 7-10 days | 7-10 days | |
| 100 μL | $496 | 7-10 days | 7-10 days |
| Description | Anti-E2F1 Antibody (2K279) is a Rabbit antibody targeting E2F1. Anti-E2F1 Antibody (2K279) can be used in FCM,ICC/IF,IHC,IP,WB. |
| Ig Type | IgG |
| Clone | 2K279 |
| Reactivity | Human,Mouse,Rat |
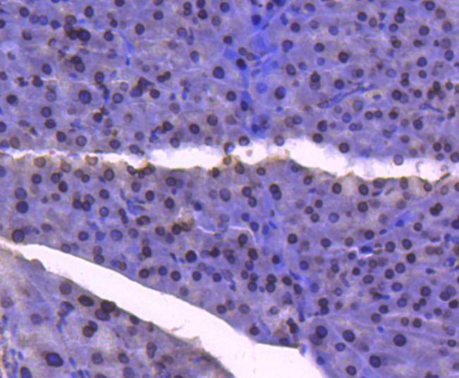
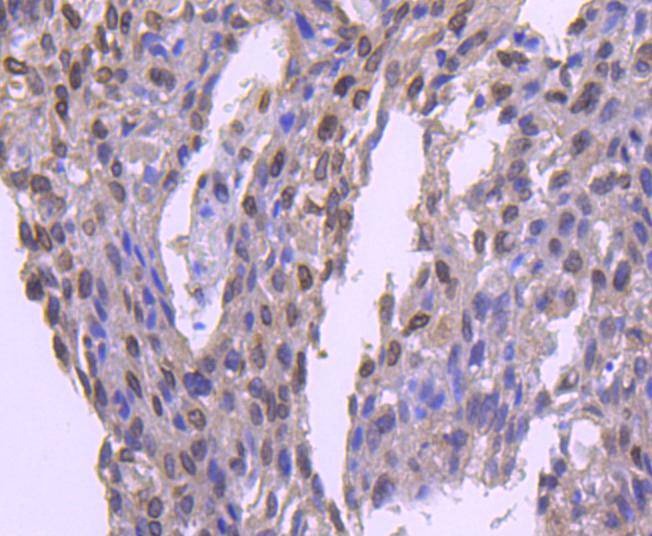
| Verified Activity | 1. Immunohistochemical analysis of paraffin-embedded mouse pancreas tissue using anti-E2F1 antibody. Counter stained with hematoxylin. 2. Immunohistochemical analysis of paraffin-embedded human breast carcinoma tissue using anti-E2F1 antibody. Counter stained with hematoxylin. 3. ICC staining E2F1 in Hela cells (green). The nuclear counter stain is DAPI (blue). Cells were fixed in paraformaldehyde, permeabilised with 0.25% Triton X100/PBS. 4. ICC staining E2F1 in MCF-7 cells (green). The nuclear counter stain is DAPI (blue). Cells were fixed in paraformaldehyde, permeabilised with 0.25% Triton X100/PBS. 5. ICC staining E2F1 in HepG2 cells (green). The nuclear counter stain is DAPI (blue). Cells were fixed in paraformaldehyde, permeabilised with 0.25% Triton X100/PBS. 6. Flow cytometric analysis of Hela cells with E2F1 antibody at 1/50 dilution (red) compared with an unlabelled control (cells without incubation with primary antibody; black). Alexa Fluor 488-conjugated goat anti rabbit IgG was used as the secondary antibody. 7. All lanes use the Antibody at 1:1K dilution for 1 hour at room temperature. 8. All lanes use the Antibody at 1:1K dilution for 1 hour at room temperature. ![]() ![]() ![]() ![]() ![]() ![]() ![]() ![]() |
| Application | |
| Recommended Dose | WB: 1:1000; IHC: 1:50-200; ICC/IF: 1:100-500; FCM: 1:50-100 |
| Antibody Type | Monoclonal |
| Host Species | Rabbit |
| Construction | Recombinant Antibody |
| Purification | ProA affinity purified |
| Appearance | Liquid |
| Formulation | 1*TBS (pH7.4), 1%BSA, 40%Glycerol. Preservative: 0.05% Sodium Azide. |
| Research Background | The human retinoblastoma gene product appears to play an important role in the negative regulation of cell proliferation. Functional inactivation of Rb can be mediated either through mutation or as a consequence of interaction with DNA tumor virus-encoded proteins. Of all the Rb associations described to date, the identification of a complex between Rb and the transcription factor E2F most directly implicates Rb in regulation of cell proliferation. E2F was originally identified through its role in transcriptional activation of the adenovirus E2 promoter. Sequences homologous to the E2F binding site have been found upstream of a number of genes that encode proteins with putative functions in the G1 and S phases of the cell cycle. E2F-1 is a member of a broader family of transcription regulators including E2F-2, E2F-3, E2F-4, E2F-5, E2F-6 and E2F-7 each of which forms heterodimers with a second protein, DP-1, forming an "active" E2F transcriptional regulatory complex. |
| Conjucates | Unconjugated |
| Immunogen | Recombinant Protein |
| Uniprot ID |
| Molecular Weight | Theoretical: 55 kDa. |
| Stability & Storage | Store at -20°C or -80°C for 12 months. Avoid repeated freeze-thaw cycles. |
| Transport | Shipping with blue ice. |
| Size | Quantity | Unit Price | Amount | Operation |
|---|

Copyright © 2015-2026 TargetMol Chemicals Inc. All Rights Reserved.