Shopping Cart
Remove All
Your shopping cart is currently empty
Anti-DEFA1 Antibody (4M838) is a Mouse antibody targeting DEFA1. Anti-DEFA1 Antibody (4M838) can be used in IHC,WB.
| Pack Size | Price | USA Warehouse | Global Warehouse | Quantity |
|---|---|---|---|---|
| 50 μL | $296 | 7-10 days | 7-10 days | |
| 100 μL | $427 | 7-10 days | 7-10 days |
| Description | Anti-DEFA1 Antibody (4M838) is a Mouse antibody targeting DEFA1. Anti-DEFA1 Antibody (4M838) can be used in IHC,WB. |
| Synonyms | Neutrophil defensin 1, HP1), Defensin, α1, Defensin, a 1, DEFA2, DEFA1B, DEFA1, DEFA 2, DEF1 |
| Clone | 4M838 |
| Reactivity | Human,Rat |
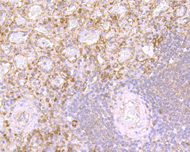
| Verified Activity | 1. Western blot analysis of HNP-1 on rat spleen tissue lysates using anti-HNP-1 antibody at 1/500 dilution. 2. Immunohistochemical analysis of paraffin-embedded human spleen tissue using anti-HNP-1 antibody. Counter stained with hematoxylin. ![]() ![]() |
| Application | |
| Recommended Dose | WB: 1:500-2000; IHC: 1:50-200 |
| Antibody Type | Monoclonal |
| Host Species | Mouse |
| Construction | Hybridoma Monoclonal Antibody |
| Purification | ProG affinity purified |
| Appearance | Liquid |
| Formulation | 1*TBS (pH7.4), 0.5%BSA, 50%Glycerol. Preservative: 0.05% Sodium Azide. |
| Research Background | Defensins are a family of antimicrobial and cytotoxic peptides thought to be involved in host defense. They are abundant in the granules of neutrophils and also found in the epithelia of mucosal surfaces such as those of the intestine, respiratory tract, urinary tract, and vagina. Members of the defensin family are highly similar in protein sequence and distinguished by a conserved cysteine motif. The protein encoded by this gene, defensin, alpha 1, is found in the microbicidal granules of neutrophils and likely plays a role in phagocyte-mediated host defense. Several alpha defensin genes are clustered on chromosome 8. This gene differs from defensin, alpha 3 by only one amino acid. This gene and the gene encoding defensin, alpha 3 are both subject to copy number variation. |
| Conjucates | Unconjugated |
| Immunogen | Peptide |
| Uniprot ID |
| Molecular Weight | Theoretical: 10 kDa. |
| Stability & Storage | Store at -20°C or -80°C for 12 months. Avoid repeated freeze-thaw cycles. |
| Transport | Shipping with blue ice. |
| Size | Quantity | Unit Price | Amount | Operation |
|---|

Copyright © 2015-2026 TargetMol Chemicals Inc. All Rights Reserved.