Shopping Cart
Remove All
Your shopping cart is currently empty
Synonyms: Secretory protein N51, Scyb1, Platelet-derived growth factor-inducible protein KC, Mgsa, Gro1, gro, chemokine (C-X-C motif) ligand 1 (melanoma growth stimulating activity, α), chemokine (C-X-C motif) ligand 1 (melanoma growth stimulating activity, alpha)
Anti-CXCL1 Polyclonal Antibody
| Pack Size | Price | USA Stock | Global Stock | Quantity |
|---|---|---|---|---|
| 50 µL | $221 | 7-10 days | 7-10 days | |
| 100 µL | $374 | 7-10 days | 7-10 days | |
| 200 µL | $528 | 7-10 days | 7-10 days |
| Description | Anti-CXCL1 Polyclonal Antibody is a Rabbit antibody targeting CXCL1. Anti-CXCL1 Polyclonal Antibody can be used in IF,IHC-Fr,IHC-P. |
| Synonyms | Secretory protein N51, Scyb1, Platelet-derived growth factor-inducible protein KC, Mgsa, Gro1, gro, chemokine (C-X-C motif) ligand 1 (melanoma growth stimulating activity, α), chemokine (C-X-C motif) ligand 1 (melanoma growth stimulating activity, alpha) |
| Ig Type | IgG |
| Reactivity | Human (predicted:Mouse,Rat) |
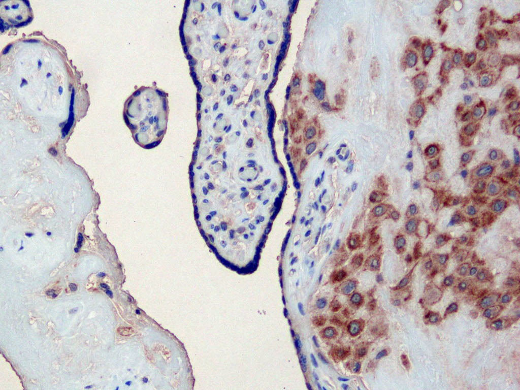
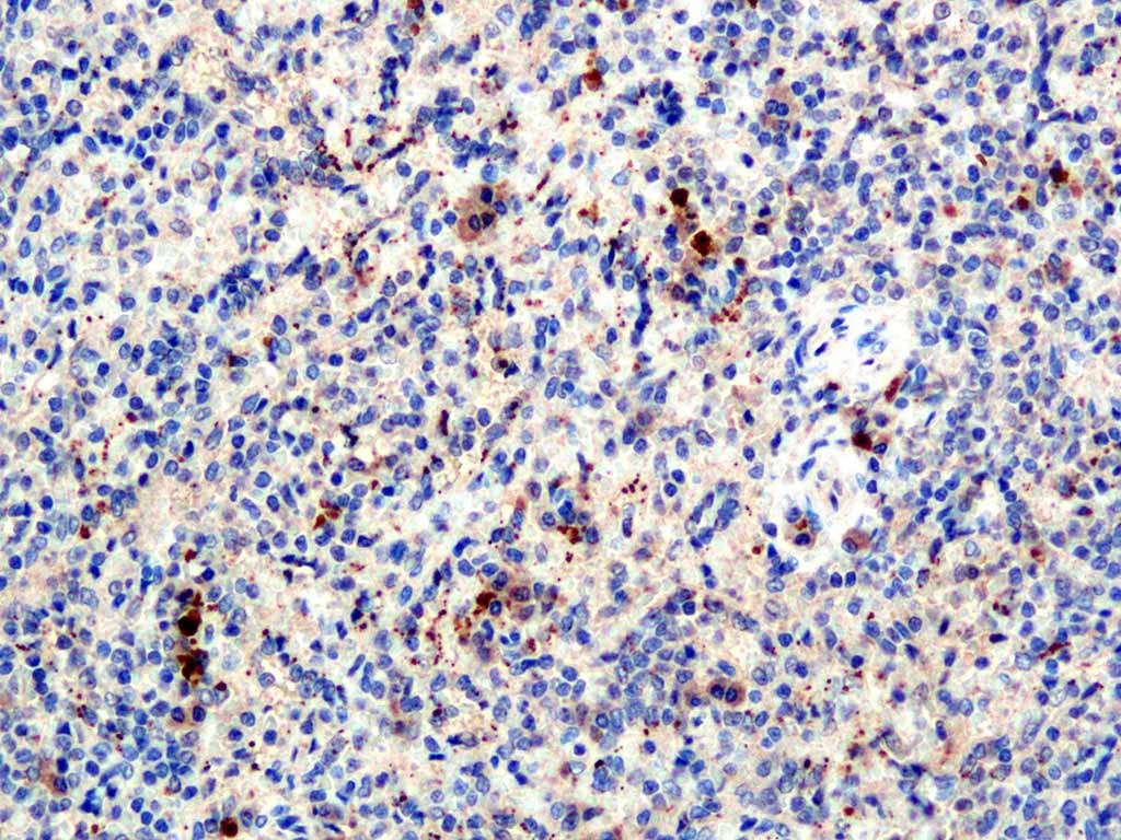
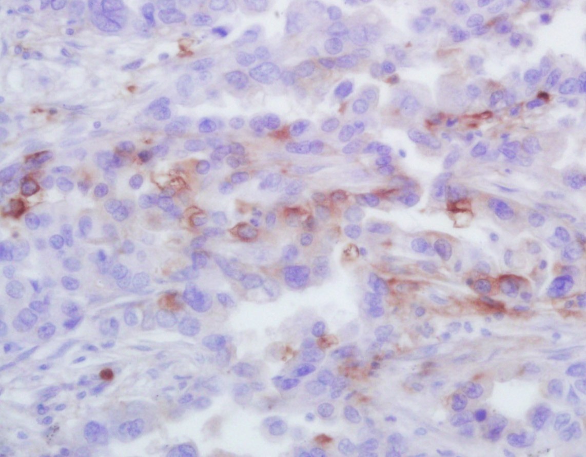
| Verified Activity | 1. Paraformaldehyde-fixed, paraffin embedded (human placenta); Antigen retrieval by boiling in sodium citrate buffer (pH6.0) for 15 min; Block endogenous peroxidase by 3% hydrogen peroxide for 20 min; Blocking buffer (normal goat serum) at 37°C for 30 min; Antibody incubation with (GRO Alpha) Polyclonal Antibody, Unconjugated (TMAB-00495) at 1:400 overnight at 4°C, followed by operating according to SP Kit (Rabbit) instructionsand DAB staining. 2. Paraformaldehyde-fixed, paraffin embedded (human spleen); Antigen retrieval by boiling in sodium citrate buffer (pH6.0) for 15 min; Block endogenous peroxidase by 3% hydrogen peroxide for 20 min; Blocking buffer (normal goat serum) at 37°C for 30 min; Antibody incubation with (GRO Alpha) Polyclonal Antibody, Unconjugated (TMAB-00495) at 1:400 overnight at 4°C, followed by operating according to SP Kit (Rabbit) instructionsand DAB staining. 3. Tissue/cell: human lung carcinoma; 4% Paraformaldehyde-fixed and paraffin-embedded; Antigen retrieval: citrate buffer (0.01M, pH6.0), Boiling bathing for 15 min; Block endogenous peroxidase by 3% Hydrogen peroxide for 30 min; Blocking buffer (normal goat serum) at 37°C for 20 min; Incubation: Anti-GRO Alpha Polyclonal Antibody, Unconjugated (TMAB-00495) 1:200, overnight at 4°C, followed by conjugation to the secondary antibody and DAb staining. , ,![]() |
| Application | |
| Recommended Dose | IHC-P: 1:100-500; IHC-Fr: 1:100-500; IF: 1:100-500 |
| Antibody Type | Polyclonal |
| Host Species | Rabbit |
| Subcellular Localization | Secreted. |
| Construction | Polyclonal Antibody |
| Purification | Protein A purified |
| Appearance | Liquid |
| Formulation | 0.01M TBS (pH7.4) with 1% BSA, 0.02% Proclin300 and 50% Glycerol. |
| Concentration | 1 mg/mL |
| Research Background | The GRO gene was originally identified by subtractive hybridization studies between normal and tumorigenic Chinese hamster embryo fibroblasts. The hamster cDNA was cloned and used as a probe for cloning of the human GRO cDNA. The GROalpha gene initially cloned from T24 cells and the gene in melanoma cells encoding melanoma growth stimulating protein (MGSA) are identical. Human cells contain three closely related, but distinct GRO genes: GRO alpha, GRO beta, and GRO gamma. GRO beta and GRO gamma share 93% and 82% identity, respectively, with GRO alpha at the nucleotide level. GROs are members of the chemokine alpha family that is characterized by the separation with one amino acid of the first two cysteine residues, C-X-C, in the amino acid sequence. The GRO gene has been mapped to chromosome 4q21. In normal cells, human mRNA GRO expression is found in foreskin fibroblasts, synovial fibroblasts, chondrocytes and osteocytes. Additionally, GRO mRNA has been detected in mammary fibroblasts, mammary epithelial cells, endothelial cells, activated monocytes, macrophages, and neutrophils. Characterization of the GROalpha receptor indicates the presence of low and high affinity receptors on human neutrophils. |
| Immunogen | KLH conjugated synthetic peptide: mouse GRO Alpha |
| Antigen Species | Mouse |
| Gene Name | CXCL1 |
| Gene ID | |
| Protein Name | Growth-regulated alpha protein |
| Uniprot ID | |
| Biology Area | Alpha Chemokines (CXC) |
| Function | Has chemotactic activity for neutrophils. May play a role in inflammation and exerts its effects on endothelial cells in an autocrine fashion. In vitro, the processed forms GRO-alpha(4-73), GRO-alpha(5-73) and GRO-alpha(6-73) show a 30-fold higher chemotactic activity. |
| Molecular Weight | Theoretical: 7.8 kDa. |
| Stability & Storage | Store at -20°C or -80°C for 12 months. Avoid repeated freeze-thaw cycles. |
| Transport | Shipping with blue ice. |
| Size | Quantity | Unit Price | Amount | Operation |
|---|

Copyright © 2015-2026 TargetMol Chemicals Inc. All Rights Reserved.