Shopping Cart
Remove All
Your shopping cart is currently empty
Anti-CD1A Antibody (9B433) is a Rabbit antibody targeting CD1A. Anti-CD1A Antibody (9B433) can be used in IHC,WB.
| Pack Size | Price | USA Warehouse | Global Warehouse | Quantity |
|---|---|---|---|---|
| 50 μL | $298 | 7-10 days | 7-10 days | |
| 100 μL | $498 | 7-10 days | 7-10 days |
| Description | Anti-CD1A Antibody (9B433) is a Rabbit antibody targeting CD1A. Anti-CD1A Antibody (9B433) can be used in IHC,WB. |
| Synonyms | T6, R4, HTA1, FCB6, CD1A, CD1 |
| Ig Type | IgG |
| Clone | 9B433 |
| Reactivity | Human |
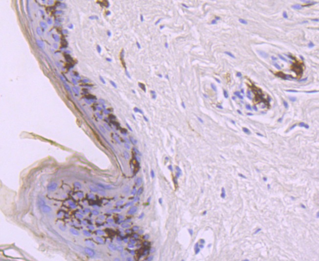
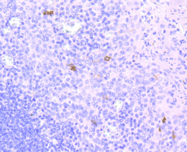
| Verified Activity | 1. Immunohistochemical analysis of paraffin-embedded human tonsil tissue using anti-CD1a antibody. Counter stained with hematoxylin. 2. Immunohistochemical analysis of paraffin-embedded human skin tissue using anti-CD1a antibody. Counter stained with hematoxylin. ![]() ![]() |
| Application | |
| Recommended Dose | WB: 1:500; IHC: 1:50-200 |
| Antibody Type | Monoclonal |
| Host Species | Rabbit |
| Construction | Recombinant Antibody |
| Purification | ProA affinity purified |
| Appearance | Liquid |
| Formulation | 1*TBS (pH7.4), 1%BSA, 40%Glycerol. Preservative: 0.05% Sodium Azide. |
| Research Background | The CD1 multigene family encodes five forms of the CD1 T-cell surface glycoprotein in human, designated CD1A, 1B, 1C, 1D and 1E. CD1, a type 1 membrane protein, has structural similarity to the MHC class I antigen and has been shown to present lipid antigens for recognition by T lymphocytes. CD1 antigens are associated with β-2-Microglobulin and expressed on cortical thymocytes, Langerhans cells, a B cell subset and some dendritic cells. Specifically, CD1A is a marker for Langerhans cell histiocytosis (LCH) and is found on interdigitating cells. Adaptor-protein complexes and CD1-associated chaperones control CD1 trafficking, and the development and activation of CD1-restricted T cells. Constitutive endocytosis of CD1B molecules and the differential sorting of MHC class II from lysosomes separate peptide- and lipid antigen-presenting molecules during dendritic cell maturation. CD1B is also expressed in interdigitating cells. The human CD1 genes are all closely linked in a cluster mapping at chromosome 1q23.1. |
| Conjucates | Unconjugated |
| Immunogen | Recombinant Protein |
| Uniprot ID |
| Molecular Weight | Theoretical: 37 kDa. |
| Stability & Storage | Store at -20°C or -80°C for 12 months. Avoid repeated freeze-thaw cycles. |
| Transport | Shipping with blue ice. |
| Size | Quantity | Unit Price | Amount | Operation |
|---|

Copyright © 2015-2026 TargetMol Chemicals Inc. All Rights Reserved.