Shopping Cart
Remove All
Your shopping cart is currently empty
Synonyms: Tumor suppressor p53-binding protein 2, Tumor suppressor p53 binding protein 2, Tumor protein p53 binding protein 2, Tp53bp2, Renal carcinoma antigen NY-REN-51, PPP1R13A, p53BP2, p53-binding protein 2, p53 binding protein 2, NY REN 51 antigen, Bcl2-binding protein, Bcl2 binding protein, BBP, ASPP2_HUMAN, ASPP 2, Apoptosis-stimulating of p53 protein 2, Apoptosis stimulating protein of p53 2, Apoptosis stimulating of p53 protein 2, 53BP2
| Pack Size | Price | USA Stock | Global Stock | Quantity |
|---|---|---|---|---|
| 50 μL | $297 | 7-10 days | 7-10 days | |
| 100 μL | $498 | 7-10 days | 7-10 days |
| Description | Anti-ASPP2 Antibody (2W253) is a Rabbit antibody targeting ASPP2. Anti-ASPP2 Antibody (2W253) can be used in ICC/IF,IHC,WB. |
| Synonyms | Tumor suppressor p53-binding protein 2, Tumor suppressor p53 binding protein 2, Tumor protein p53 binding protein 2, Tp53bp2, Renal carcinoma antigen NY-REN-51, PPP1R13A, p53BP2, p53-binding protein 2, p53 binding protein 2, NY REN 51 antigen, Bcl2-binding protein, Bcl2 binding protein, BBP, ASPP2_HUMAN, ASPP 2, Apoptosis-stimulating of p53 protein 2, Apoptosis stimulating protein of p53 2, Apoptosis stimulating of p53 protein 2, 53BP2 |
| Ig Type | IgG |
| Clone | 2W253 |
| Reactivity | Human |
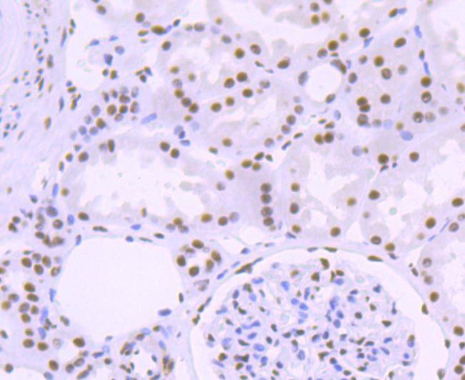
| Verified Activity | 1. Western blot analysis of ASPP2 on different lysates using anti-ASPP2 antibody at 1/1,000 dilution. Positive control: Lane 1: Hela, Lane 2: MCF-7. 2. Immunohistochemical analysis of paraffin-embedded human kidney tissue using anti-ASPP2 antibody. Counter stained with hematoxylin. 3. ICC staining ASPP2 in Hela cells (red). The nuclear counter stain is DAPI (blue). Cells were fixed in paraformaldehyde, permeabilised with 0.25% Triton X100/PBS. 4. ICC staining ASPP2 in 293T cells (red). The nuclear counter stain is DAPI (blue). Cells were fixed in paraformaldehyde, permeabilised with 0.25% Triton X100/PBS. |
| Application | |
| Recommended Dose | WB: 1:1000-2000; IHC: 1:50-200; ICC/IF: 1:50-200 |
| Antibody Type | Monoclonal |
| Host Species | Rabbit |
| Construction | Recombinant Antibody |
| Purification | ProA affinity purified |
| Appearance | Liquid |
| Formulation | 1*TBS (pH7.4), 1%BSA, 40%Glycerol. Preservative: 0.05% Sodium Azide. |
| Research Background | The p53 binding proteins 53BP1 and 53BP2 (Bbp) bind to the central DNA-binding domain of wild type p53, but do not bind mutant p53. The central DNA-binding domain of p53 is required for site-specific DNA binding and is frequently mutated in malignant tumors. Binding of 53BP1 to the L3 loop of p53 and of 53BP2 to the L2 loop of p53 confirms that the loop is dependent on p53 conformation. Site-specific binding also suggests that 53BP1 and 53BP2 are involved in p53-mediated tumor suppression. 53BP1 was isolated from H258 cells and is expressed in Jurkat cells in both the cytoplasm and the nucleus. The N-terminus of 53BP2 is localized to the cytoplasm, while the C-terminus might be localized in the nucleus. 53BP1 promotes cell proliferation by binding to p202, whereas 53BP2 induces cell death by binding to Bcl2 and NFkB p65. |
| Conjucates | Unconjugated |
| Immunogen | Recombinant Protein |
| Uniprot ID |
| Molecular Weight | Theoretical: 150 kDa. |
| Stability & Storage | Store at -20°C or -80°C for 12 months. Avoid repeated freeze-thaw cycles. |
| Transport | Shipping with blue ice. |
| Size | Quantity | Unit Price | Amount | Operation |
|---|

Copyright © 2015-2026 TargetMol Chemicals Inc. All Rights Reserved.