Shopping Cart
Remove All
Your shopping cart is currently empty
Anti-alpha 1 Catenin Antibody (9R277) is a Rabbit antibody targeting alpha 1 Catenin. Anti-alpha 1 Catenin Antibody (9R277) can be used in FCM,ICC/IF,IHC,IP,WB.
| Pack Size | Price | USA Warehouse | Global Warehouse | Quantity |
|---|---|---|---|---|
| 50 μL | $297 | 7-10 days | 7-10 days | |
| 100 μL | $498 | 7-10 days | 7-10 days |
| Description | Anti-alpha 1 Catenin Antibody (9R277) is a Rabbit antibody targeting alpha 1 Catenin. Anti-alpha 1 Catenin Antibody (9R277) can be used in FCM,ICC/IF,IHC,IP,WB. |
| Synonyms | α1Catenin, α 1 Catenin, Renal carcinoma antigen NY-REN-13, Renal carcinoma antigen NY REN 13, OTTHUMP00000224147, OTTHUMP00000224141, NY REN 13 antigen, FLJ52416, FLJ36832, Ctnna1, CTNNA 1, CTNA1_HUMAN, Catenin alpha-1, Catenin alpha 1, Catenin (cadherin associated protein), alpha 1, 102kDa, Catenin (cadherin associated protein) alpha 1 102kDa, CAP102, CAP 102, Cadherin-associated protein, Cadherin associated protein 102kDa, Cadherin associated protein, alpha1Catenin, Alpha E-catenin, a1Catenin, a 1 Catenin |
| Ig Type | IgG |
| Clone | 9R277 |
| Reactivity | Human,Mouse,Rat |
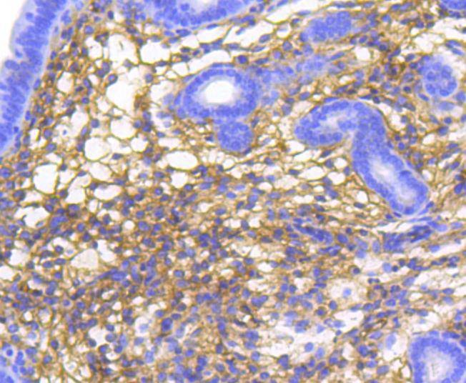
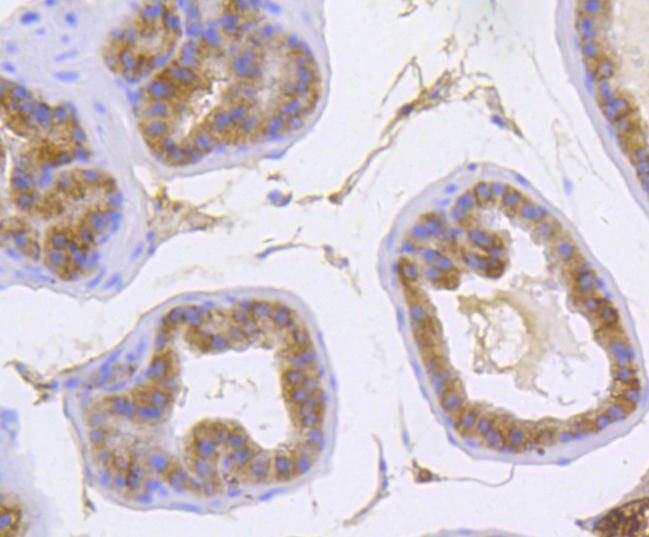
| Verified Activity | 1. Western blot analysis of alpha 1 Catenin on different lysates using anti-alpha 1 Catenin antibody at 1/1,000 dilution. Positive control: Lane 1: Hela, Lane 2: HepG2, Lane 3: A431. 2. Immunohistochemical analysis of paraffin-embedded mouse colon tissue using anti-alpha 1 Catenin antibody. Counter stained with hematoxylin. 3. Immunohistochemical analysis of paraffin-embedded mouse prostate tissue using anti-alpha 1 Catenin antibody. Counter stained with hematoxylin. 4. Immunohistochemical analysis of paraffin-embedded mouse uterus tissue using anti-alpha 1 Catenin antibody. Counter stained with hematoxylin. 5. Flow cytometric analysis of Hela cells with alpha 1 Catenin antibody at 1/50 dilution (red) compared with an unlabelled control (cells without incubation with primary antibody; black). Alexa Fluor 488-conjugated goat anti rabbit IgG was used as the secondary antibody. ![]() ![]() ![]() ![]() ![]() |
| Application | |
| Recommended Dose | WB: 1:1000-2000; IHC: 1:50-200; ICC/IF: 1:50-200; FCM: 1:50-100 |
| Antibody Type | Monoclonal |
| Host Species | Rabbit |
| Construction | Recombinant Antibody |
| Purification | ProA affinity purified |
| Appearance | Liquid |
| Formulation | 1*TBS (pH7.4), 1%BSA, 40%Glycerol. Preservative: 0.05% Sodium Azide. |
| Research Background | α E-catenin (also designated α-catenin; cadherin-associated protein, α1, 102 kDa; and CAP102) plays a role in E-cadherin mediated cell-cell adhesion by linking E-cadherin to the cytoskeleton via β- or γ-catenin and Actin. α E-catenin connects cell-density-dependent adherens junctions with the developmental hedgehog pathway and may provide a negative feedback loop controlling the size of developing cerebral cortex. It is abundant in neuroepithelial precursor cells in the developing cortical ventricular zone of the brain, with reduced expression in the cortical plate. α E-catenin-vinculin interactions play a role in the assembly of the apical junction complex in epithelia. Catenins generally are thought to work as connectors that anchor E-cadherin to the cytoskeletal Actin bundle through the cadherin cytoplasmic domain. Dysfunction of this adhesion complex causes dissociation of cancer cells from primary tumor nodules, thus possibly contributing to cancer invasion and metastasis. |
| Conjucates | Unconjugated |
| Immunogen | Recombinant Protein |
| Uniprot ID |
| Molecular Weight | Theoretical: 100 kDa. |
| Stability & Storage | Store at -20°C or -80°C for 12 months. Avoid repeated freeze-thaw cycles. |
| Transport | Shipping with blue ice. |
| Size | Quantity | Unit Price | Amount | Operation |
|---|

Copyright © 2015-2026 TargetMol Chemicals Inc. All Rights Reserved.