Shopping Cart
Remove All
Your shopping cart is currently empty
Anti-ACE Antibody (1S991) is a Rabbit antibody targeting ACE. Anti-ACE Antibody (1S991) can be used in FCM,IHC,WB.
| Pack Size | Price | USA Warehouse | Global Warehouse | Quantity |
|---|---|---|---|---|
| 50 μL | $296 | 7-10 days | 7-10 days | |
| 100 μL | $496 | 7-10 days | 7-10 days |
| Description | Anti-ACE Antibody (1S991) is a Rabbit antibody targeting ACE. Anti-ACE Antibody (1S991) can be used in FCM,IHC,WB. |
| Synonyms | Kininase II, EC 3.4.15.1, Dipeptidyl carboxypeptidase I, DCP DCP1, CD antigen CD143, Angiotensin-converting enzyme |
| Ig Type | IgG |
| Clone | 1S991 |
| Reactivity | Human,Mouse |
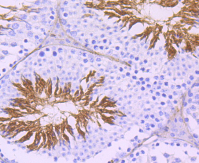
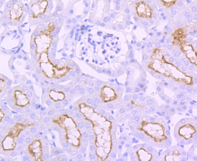
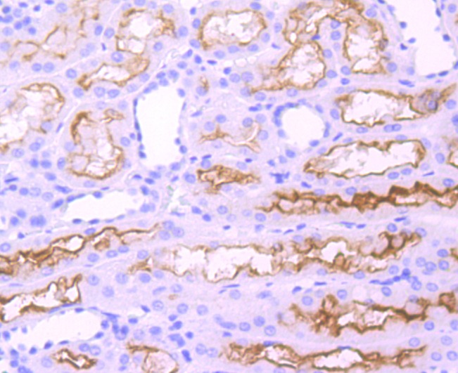
| Verified Activity | 1. Western blot analysis of ACE on human lung (1) and mouse kidney (2) cell lysate using anti-ACE antibody at 1/1,000 dilution. 2. Immunohistochemical analysis of paraffin-embedded human kidney tissue using anti-ACE antibody. Counter stained with hematoxylin. 3. Immunohistochemical analysis of paraffin-embedded mouse testis tissue using anti-ACE antibody. Counter stained with hematoxylin. 4. Immunohistochemical analysis of paraffin-embedded mouse kidney tissue using anti-ACE antibody. Counter stained with hematoxylin. ![]() ![]() ![]() ![]() |
| Application | |
| Recommended Dose | WB: 1:500-2000; IHC: 1:100-500; FCM: 1:50-100 |
| Antibody Type | Monoclonal |
| Host Species | Rabbit |
| Construction | Recombinant Antibody |
| Purification | ProA affinity purified |
| Appearance | Liquid |
| Formulation | 1*TBS (pH7.4), 1%BSA, 40%Glycerol. Preservative: 0.05% Sodium Azide. |
| Research Background | Angiotensin-converting enzyme (ACE) is a carboxy-terminal dipeptidyl exo-peptidase that converts Angiotensin I to the potent vasopressive hormone, Angiotensin II. There are two isoforms of ACE, the pulmonary ACEP and the testicular ACET. ACEP is a glycoprotein expressed in vascular endothelial cells of the lung, liver, adrenal cortex, pancreas, kidney and spleen. The ACET isoform is expressed exclusively in adult testis by developing sperm cells, specifically, late pachytene spermatocytes. Additionally, ACE inactivates bradykinin, a vasodepressor peptide, and is involved in fluid/electrolyte homeostasis. Although it bears significant sequence homology to ACE, ACE2 shows a more restricted pattern of expression. ACE is expressed ubiquitously throughout the vasculature while ACE2 is expressed only in cardiac, renal and testicular cells. |
| Conjucates | Unconjugated |
| Immunogen | Recombinant Protein |
| Uniprot ID |
| Molecular Weight | Theoretical: 160 kDa. |
| Stability & Storage | Store at -20°C or -80°C for 12 months. Avoid repeated freeze-thaw cycles. |
| Transport | Shipping with blue ice. |
| Size | Quantity | Unit Price | Amount | Operation |
|---|

Copyright © 2015-2026 TargetMol Chemicals Inc. All Rights Reserved.