Shopping Cart
Remove All
Your shopping cart is currently empty
PCNA Nuclear Loading Control Polyclonal Antibody is a Rabbit antibody targeting PCNA Nuclear Loading Control. PCNA Nuclear Loading Control Polyclonal Antibody can be used in FCM,ICC/IF,IF,IHC-Fr,IHC-P,WB.

| Pack Size | Price | USA Stock | Global Stock | Quantity |
|---|---|---|---|---|
| 100 μL | $106 | 7-10 days | 7-10 days | |
| 200 μL | $183 | 7-10 days | 7-10 days | |
| 500 μL | $428 | 7-10 days | 7-10 days | |
| 1 mL | $804 | 7-10 days | 7-10 days |
| Description | PCNA Nuclear Loading Control Polyclonal Antibody is a Rabbit antibody targeting PCNA Nuclear Loading Control. PCNA Nuclear Loading Control Polyclonal Antibody can be used in FCM,ICC/IF,IF,IHC-Fr,IHC-P,WB. |
| Synonyms | Proliferating Cell Nuclear Antigen, Polymerase delta accessory protein, PCNAR, Pcna/cyclin, PCNA, Mutagen-sensitive 209 protein, MGC8367, HGCN8729, DNA polymerase delta auxiliary protein, Cyclin |
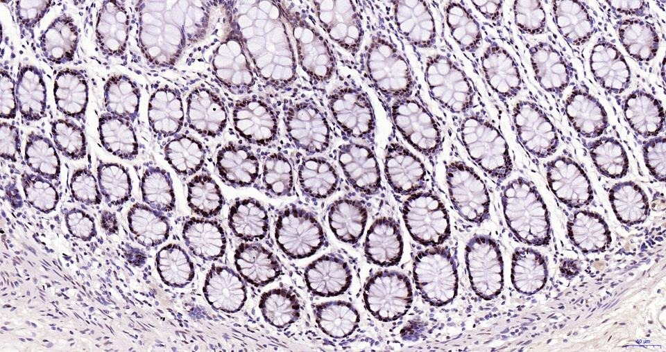
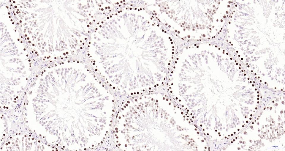
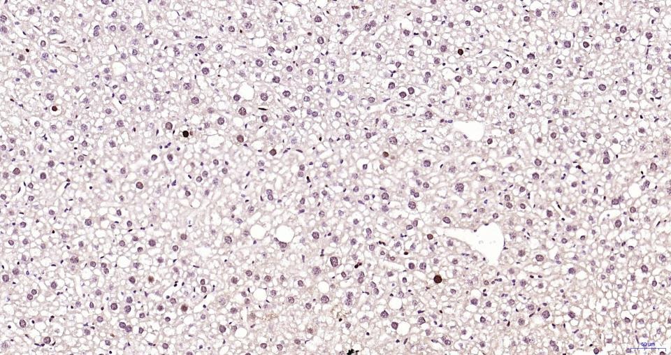
| Ig Type | IgG |
| Reactivity | Human,Mouse,Rat |
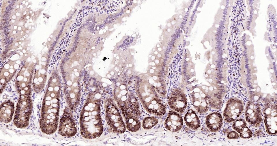
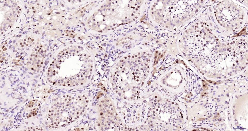
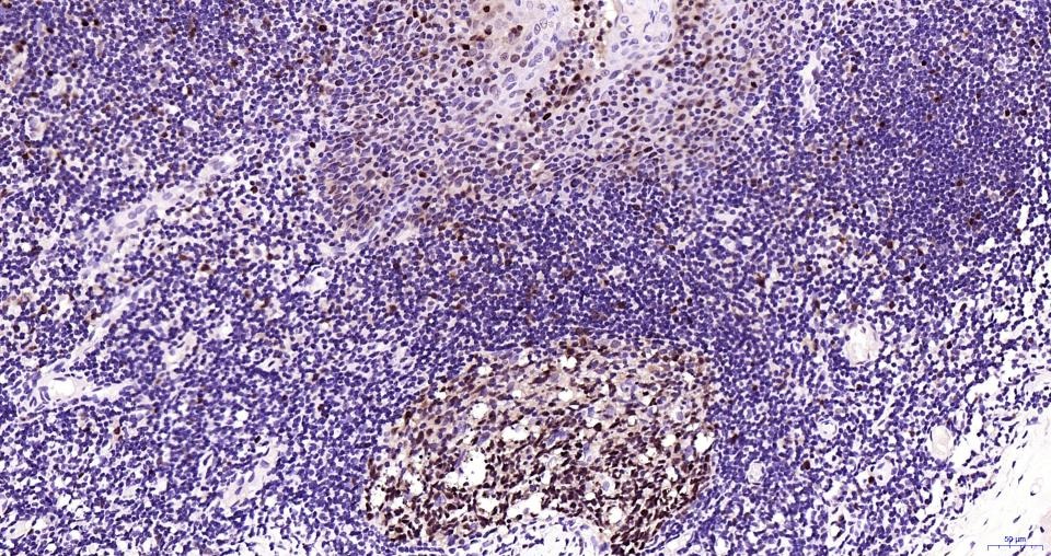
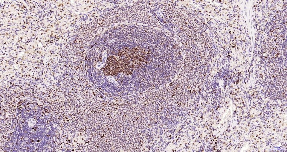
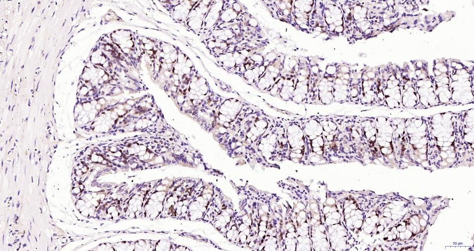
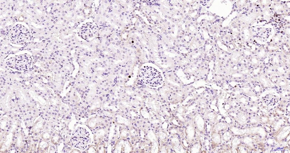
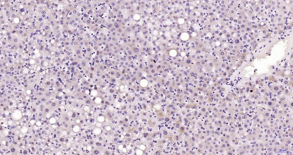
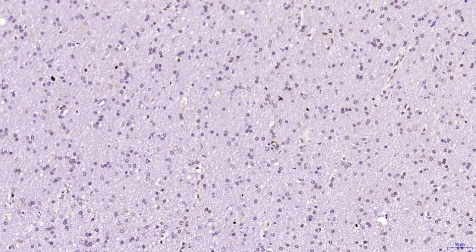
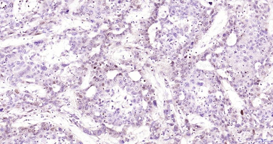
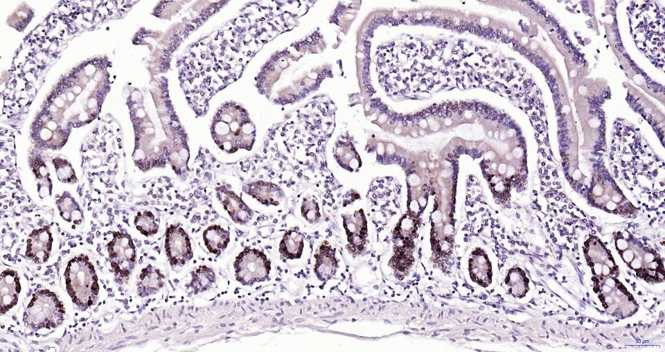
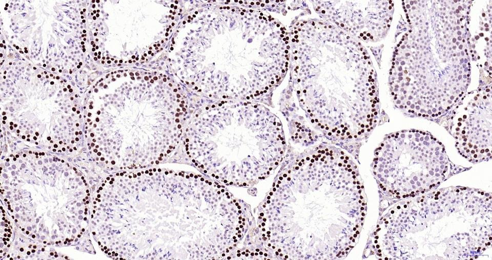
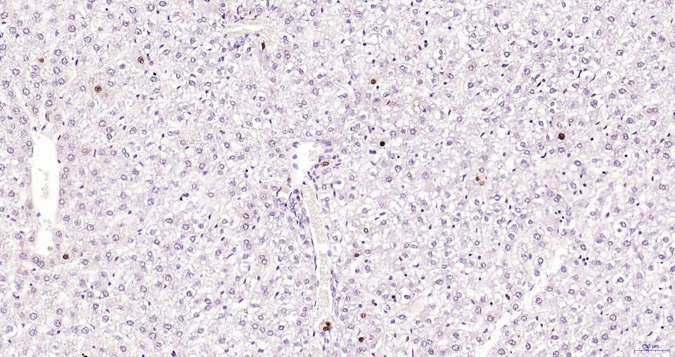
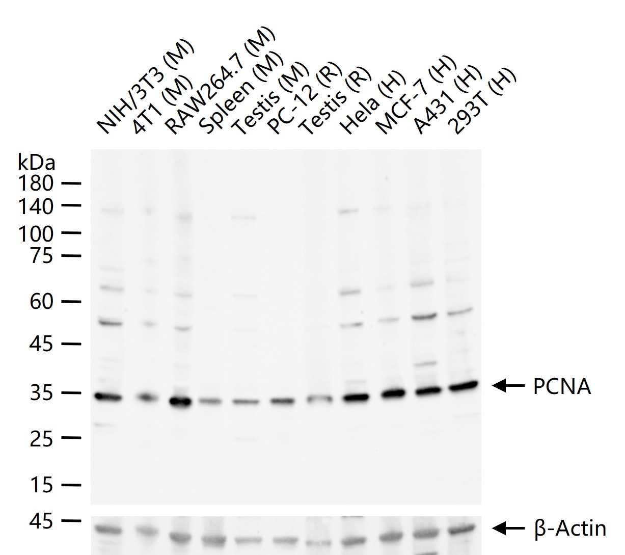
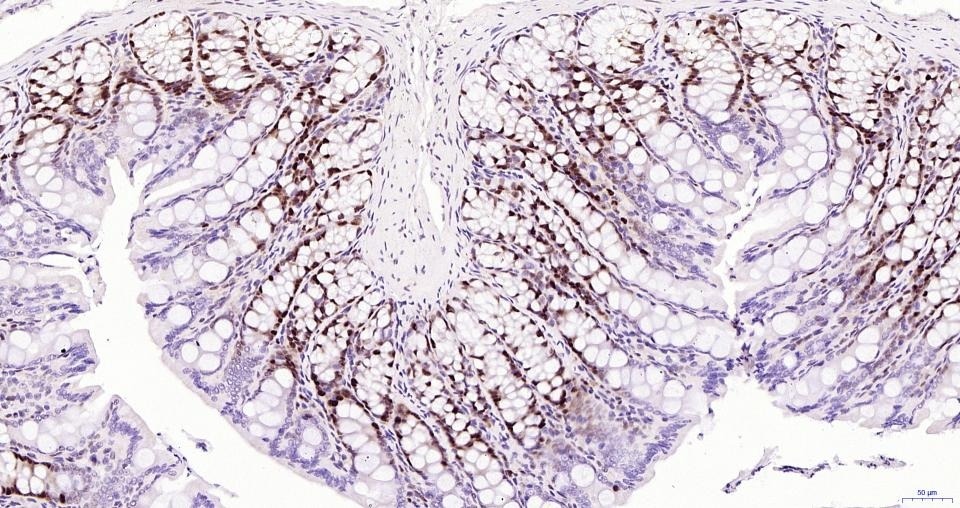
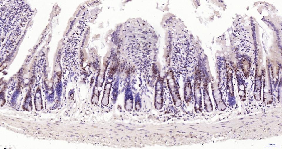
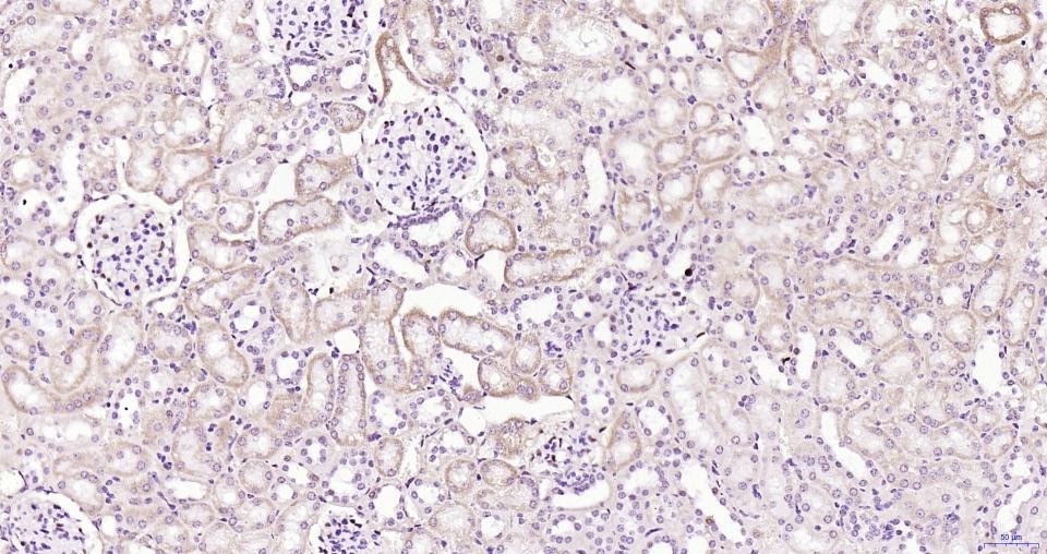
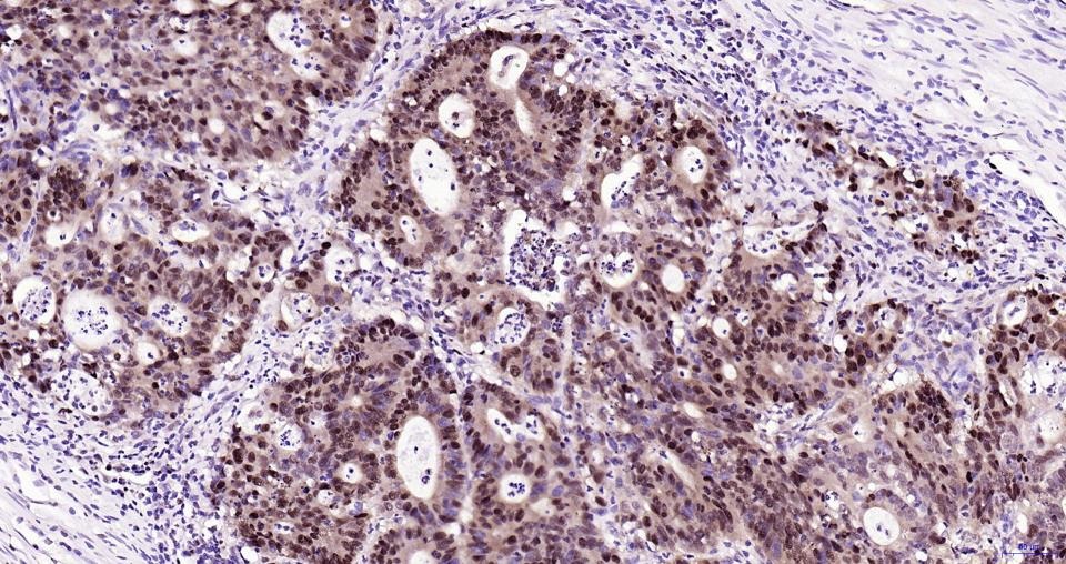
| Verified Activity | 1. 25 μg total protein per Lane of various lysates probed with PCNA polyclonal antibody, unconjugated (TMAB-01343) at 1:10000 dilution and 4°C overnight incubation. Followed by conjugated secondary antibody incubation at RT for 60 min. 2. Paraformaldehyde-fixed, paraffin embedded Human Colon Cancer; Antigen retrieval by boiling in sodium citrate buffer (pH6.0) for 15 min; Antibody incubation with PCNA Polyclonal Antibody, Unconjugated (TMAB-01343) at 1:800 overnight at 4°C, followed by conjugation to the SP Kit (Rabbit) and DAB staining. 3. Paraformaldehyde-fixed, paraffin embedded Rat Liver; Antigen retrieval by boiling in sodium citrate buffer (pH6.0) for 15 min; Antibody incubation with PCNA Polyclonal Antibody, Unconjugated (TMAB-01343) at 1:800 overnight at 4°C, followed by conjugation to the SP Kit (Rabbit) and DAB staining. 4. Paraformaldehyde-fixed, paraffin embedded Mouse Liver; Antigen retrieval by boiling in sodium citrate buffer (pH6.0) for 15 min; Antibody incubation with PCNA Polyclonal Antibody, Unconjugated (TMAB-01343) at 1:800 overnight at 4°C, followed by conjugation to the SP Kit (Rabbit) and DAB staining. 5. Paraformaldehyde-fixed, paraffin embedded Human Liver; Antigen retrieval by boiling in sodium citrate buffer (pH6.0) for 15 min; Antibody incubation with PCNA Polyclonal Antibody, Unconjugated (TMAB-01343) at 1:800 overnight at 4°C, followed by conjugation to the SP Kit (Rabbit) and DAB staining. 6. Paraformaldehyde-fixed, paraffin embedded Rat Testicles; Antigen retrieval by boiling in sodium citrate buffer (pH6.0) for 15 min; Antibody incubation with PCNA Polyclonal Antibody, Unconjugated (TMAB-01343) at 1:800 overnight at 4°C, followed by conjugation to the SP Kit (Rabbit) and DAB staining. 7. Paraformaldehyde-fixed, paraffin embedded Mouse Testicles; Antigen retrieval by boiling in sodium citrate buffer (pH6.0) for 15 min; Antibody incubation with PCNA Polyclonal Antibody, Unconjugated (TMAB-01343) at 1:800 overnight at 4°C, followed by conjugation to the SP Kit (Rabbit) and DAB staining. 8. Paraformaldehyde-fixed, paraffin embedded Human Testicles; Antigen retrieval by boiling in sodium citrate buffer (pH6.0) for 15 min; Antibody incubation with PCNA Polyclonal Antibody, Unconjugated (TMAB-01343) at 1:800 overnight at 4°C, followed by conjugation to the SP Kit (Rabbit) and DAB staining. 9. Paraformaldehyde-fixed, paraffin embedded Rat Colon; Antigen retrieval by boiling in sodium citrate buffer (pH6.0) for 15 min; Antibody incubation with PCNA Polyclonal Antibody, Unconjugated (TMAB-01343) at 1:800 overnight at 4°C, followed by conjugation to the SP Kit (Rabbit) and DAB staining. 10. Paraformaldehyde-fixed, paraffin embedded Mouse Colon; Antigen retrieval by boiling in sodium citrate buffer (pH6.0) for 15 min; Antibody incubation with PCNA Polyclonal Antibody, Unconjugated (TMAB-01343) at 1:800 overnight at 4°C, followed by conjugation to the SP Kit (Rabbit) and DAB staining. 11. Paraformaldehyde-fixed, paraffin embedded Human Colon; Antigen retrieval by boiling in sodium citrate buffer (pH6.0) for 15 min; Antibody incubation with PCNA Polyclonal Antibody, Unconjugated (TMAB-01343) at 1:800 overnight at 4°C, followed by conjugation to the SP Kit (Rabbit) and DAB staining. 12. Paraformaldehyde-fixed, paraffin embedded Rat Kidney; Antigen retrieval by boiling in sodium citrate buffer (pH6.0) for 15 min; Antibody incubation with PCNA Polyclonal Antibody, Unconjugated (TMAB-01343) at 1:800 overnight at 4°C, followed by conjugation to the SP Kit (Rabbit) and DAB staining. 13. Paraformaldehyde-fixed, paraffin embedded Mouse Kidney; Antigen retrieval by boiling in sodium citrate buffer (pH6.0) for 15 min; Antibody incubation with PCNA Polyclonal Antibody, Unconjugated (TMAB-01343) at 1:800 overnight at 4°C, followed by conjugation to the SP Kit (Rabbit) and DAB staining. 14. Paraformaldehyde-fixed, paraffin embedded Rat Small Intestine; Antigen retrieval by boiling in sodium citrate buffer (pH6.0) for 15 min; Antibody incubation with PCNA Polyclonal Antibody, Unconjugated (TMAB-01343) at 1:800 overnight at 4°C, followed by conjugation to the SP Kit (Rabbit) and DAB staining. 15. Paraformaldehyde-fixed, paraffin embedded Mouse Small Intestine; Antigen retrieval by boiling in sodium citrate buffer (pH6.0) for 15 min; Antibody incubation with PCNA Polyclonal Antibody, Unconjugated (TMAB-01343) at 1:800 overnight at 4°C, followed by conjugation to the SP Kit (Rabbit) and DAB staining. 16. Paraformaldehyde-fixed, paraffin embedded Rat Spleen; Antigen retrieval by boiling in sodium citrate buffer (pH6.0) for 15 min; Antibody incubation with PCNA Polyclonal Antibody, Unconjugated (TMAB-01343) at 1:800 overnight at 4°C, followed by conjugation to the SP Kit (Rabbit) and DAB staining. 17. Paraformaldehyde-fixed, paraffin embedded Human Liver Cancer; Antigen retrieval by boiling in sodium citrate buffer (pH6.0) for 15 min; Antibody incubation with PCNA Polyclonal Antibody, Unconjugated (TMAB-01343) at 1:800 overnight at 4°C, followed by conjugation to the SP Kit (Rabbit) and DAB staining. 18. Paraformaldehyde-fixed, paraffin embedded Human Glioma; Antigen retrieval by boiling in sodium citrate buffer (pH6.0) for 15 min; Antibody incubation with PCNA Polyclonal Antibody, Unconjugated (TMAB-01343) at 1:800 overnight at 4°C, followed by conjugation to the SP Kit (Rabbit) and DAB staining. 19. Paraformaldehyde-fixed, paraffin embedded Human Tonsil; Antigen retrieval by boiling in sodium citrate buffer (pH6.0) for 15 min; Antibody incubation with PCNA Polyclonal Antibody, Unconjugated (TMAB-01343) at 1:800 overnight at 4°C, followed by conjugation to the SP Kit (Rabbit) and DAB staining. 20. Paraformaldehyde-fixed, paraffin embedded Human Duodenum; Antigen retrieval by boiling in sodium citrate buffer (pH6.0) for 15 min; Antibody incubation with PCNA Polyclonal Antibody, Unconjugated (TMAB-01343) at 1:800 overnight at 4°C, followed by conjugation to the SP Kit (Rabbit) and DAB staining. ![]() ![]() ![]() ![]() ![]() ![]() ![]() ![]() ![]() ![]() ![]() ![]() ![]() ![]() ![]() ![]() ![]() ![]() ![]() ![]() |
| Application | |
| Recommended Dose | WB: 1:1000-10000; IHC-P: 1:200-1000; IHC-Fr: 1:200-1000; ICC/IF: 1:100-500; IF: 1:200-1000; FCM: 1ug/Test |
| Antibody Type | Polyclonal |
| Host Species | Rabbit |
| Subcellular Localization | Nucleus. Note=Forms nuclear foci representing sites of ongoing DNA replication and vary in morphology and number during S phase. Together with APEX2, is redistributed in discrete nuclear foci in presence of oxidative DNA damaging agents. |
| Construction | Polyclonal Antibody |
| Purification | Protein A purified |
| Appearance | Liquid |
| Formulation | 0.01M TBS (pH7.4) with 1% BSA, 0.02% Proclin300 and 50% Glycerol. |
| Concentration | 1 mg/mL |
| Research Background | Proliferating cell nuclear antigen (PCNA) is a 28kDa nuclear protein associated with the cell cycle, a nuclear protein vital for cellular DNA synthesis. Proliferating cell nuclear antigen was originally identified by immunofluorescence as a nuclear protein whose appearance correlated with the proliferate state of the cell. PCNA is required for replication of DNA in vitro and has been identified as the auxiliary protein (cofactor) for DNA polymerase delta. The anti-PCNA antibodies react with the nuclei of proliferating cells. PCNA is essential for cellular DNA synthesis and is also required for the in vitro replication of simian virus 40 (SV40) DNA where it acts to coordinate leading and lagging strand synthesis at the replication fork. The PCNA protein may fulfil several separate roles in the cell nucleus associated with changes in its antigenic structure. |
| Immunogen | KLH conjugated synthetic peptide: mouse PCNA |
| Antigen Species | Mouse |
| Gene Name | PCNA |
| Gene ID | |
| Protein Name | Proliferating cell nuclear antigen |
| Biology Area | Cell division,Tumor antigens,Markers,DNA / RNA binding,DNA Synthesis,Methylated DNA Binding,PCNA,Replication |
| Function | Auxiliary protein of DNA polymerase delta and epsilon, is involved in the control of eukaryotic DNA replication by increasing the polymerase's processibility during elongation of the leading strand (PubMed:35585232).Induces a robust stimulatory effect on the 3'-5' exonuclease and 3'-phosphodiesterase, but not apurinic-apyrimidinic (AP) endonuclease, APEX2 activities. Has to be loaded onto DNA in order to be able to stimulate APEX2. Plays a key role in DNA damage response (DDR) by being conveniently positioned at the replication fork to coordinate DNA replication with DNA repair and DNA damage tolerance pathways (PubMed:24939902).Acts as a loading platform to recruit DDR proteins that allow completion of DNA replication after DNA damage and promote postreplication repair: Monoubiquitinated PCNA leads to recruitment of translesion (TLS) polymerases, while 'Lys-63'-linked polyubiquitination of PCNA is involved in error-free pathway and employs recombination mechanisms to synthesize across the lesion (PubMed:24695737). |
| Molecular Weight | Theoretical: 29 kDa. Actual: 35 kDa. |
| Stability & Storage | Store at -20°C or -80°C for 12 months. Avoid repeated freeze-thaw cycles. |
| Transport | Shipping with blue ice. |
| Size | Quantity | Unit Price | Amount | Operation |
|---|

Copyright © 2015-2026 TargetMol Chemicals Inc. All Rights Reserved.