Shopping Cart
Remove All
Your shopping cart is currently empty
Histone H3 Nuclear Loading Control Polyclonal Antibody is a Rabbit antibody targeting PTMA. Histone H3 Nuclear Loading Control Polyclonal Antibody can be used in WB,IHC-P,IHC-F,ICC/IF,IF,FCM.

| Pack Size | Price | USA Stock | Global Stock | Quantity |
|---|---|---|---|---|
| 100 μL | $108 | 7-10 days | 7-10 days | |
| 200 μL | $181 | 7-10 days | 7-10 days | |
| 500 μL | $426 | 7-10 days | 7-10 days | |
| 1 mL | $806 | 7-10 days | 7-10 days |
| Description | Histone H3 Nuclear Loading Control Polyclonal Antibody is a Rabbit antibody targeting PTMA. Histone H3 Nuclear Loading Control Polyclonal Antibody can be used in WB,IHC-P,IHC-F,ICC/IF,IF,FCM. |
| Synonyms | Histone H3/l, Histone H3/k, Histone H3/j, Histone H3/i, Histone H3/h, Histone H3/f, Histone H3/d, Histone H3/c, Histone H3/b, Histone H3/a, Histone H3.1, Histone H3 3 pseudogene, Histone cluster 1, H3a, histone 1, H3a, HIST3H3, HIST1H3J, HIST1H3I, HIST1H3H, HIST1H3G, HIST1H3F, HIST1H3E, HIST1H3D, HIST1H3C, HIST1H3B, Hist1h3a, H3FD, H3FA, H3F3, H3C8, H3C7, H3C4, H3C3, H3C2, H3C12, H3C11, H3C10, H3C1, H31, H3/d, H3/A, H3.1, H3 histone family, member A, H3 histone family member E pseudogene |
| Ig Type | IgG |
| Reactivity | Human,Mouse,Rat(predicted:Bee,Hamster,Yeast) |
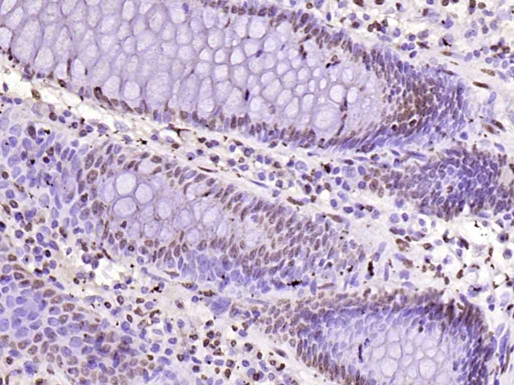
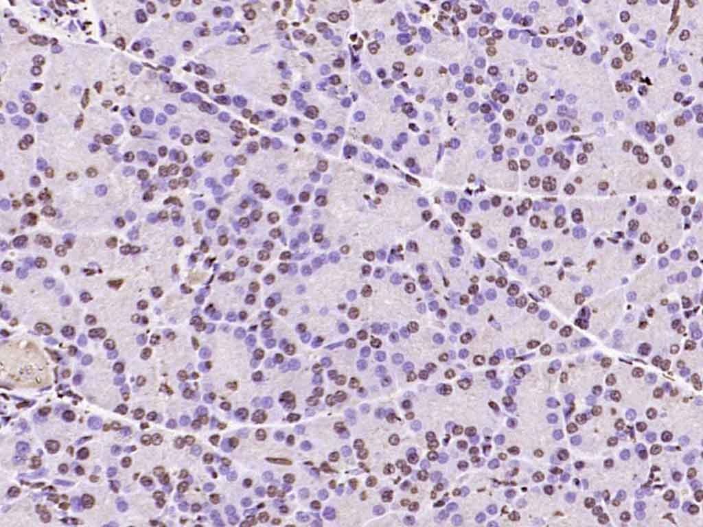
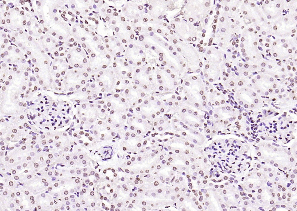
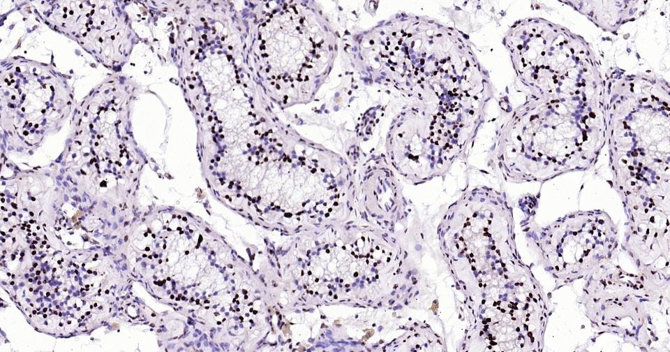
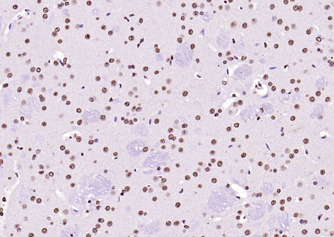
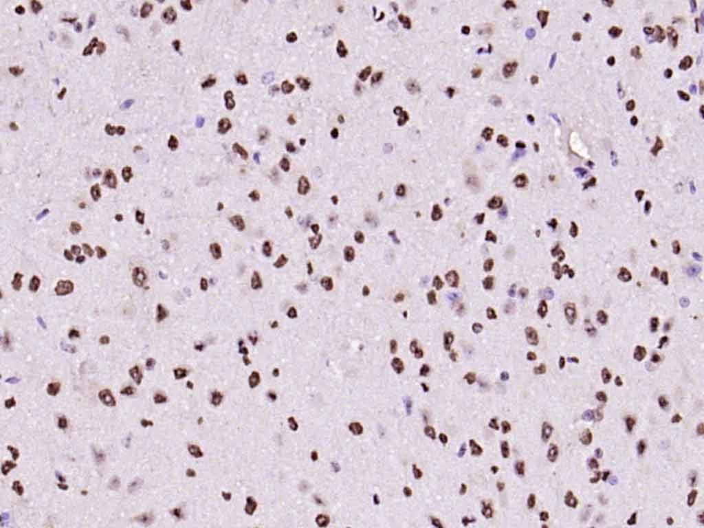
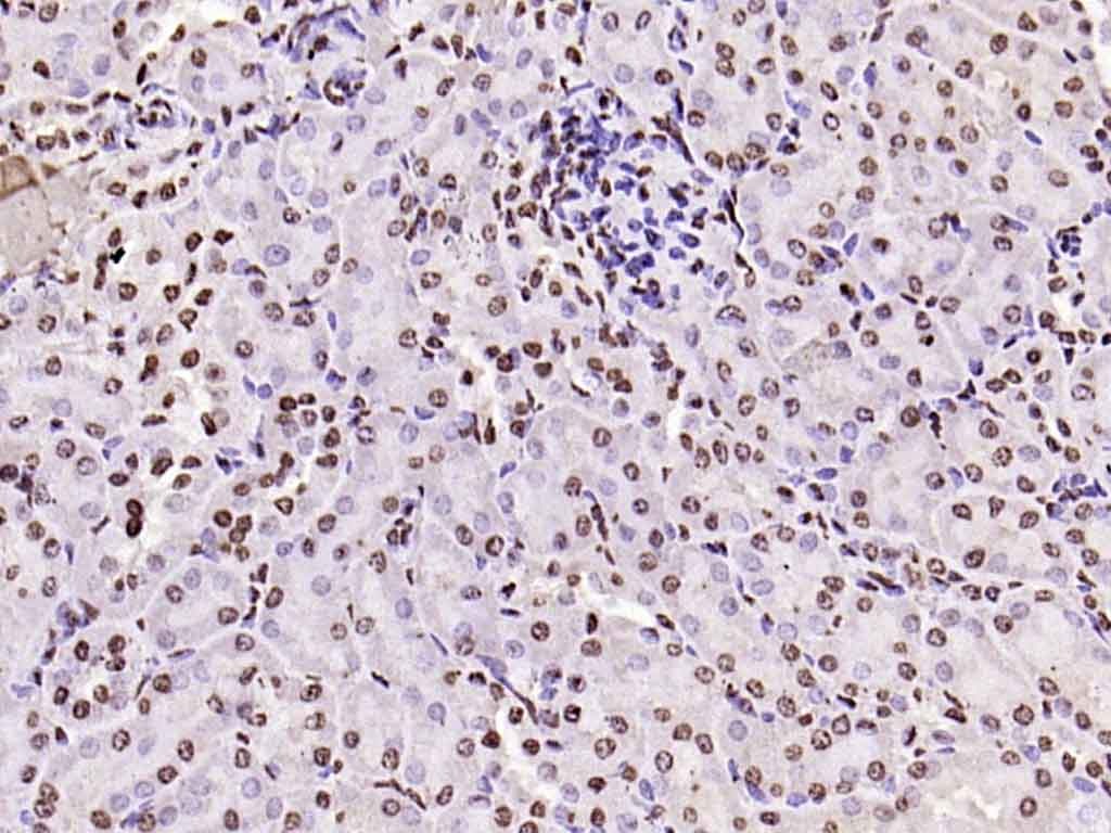
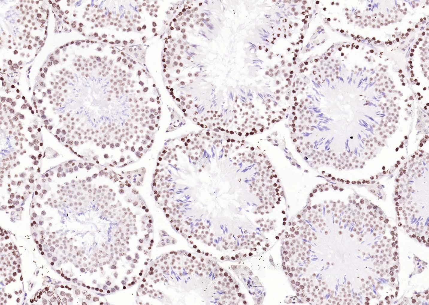
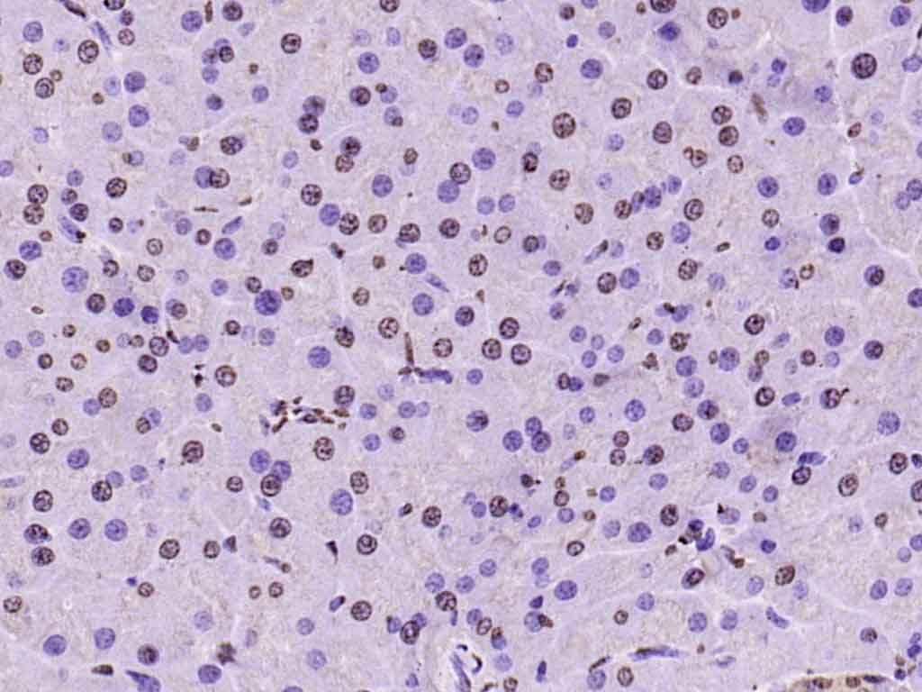
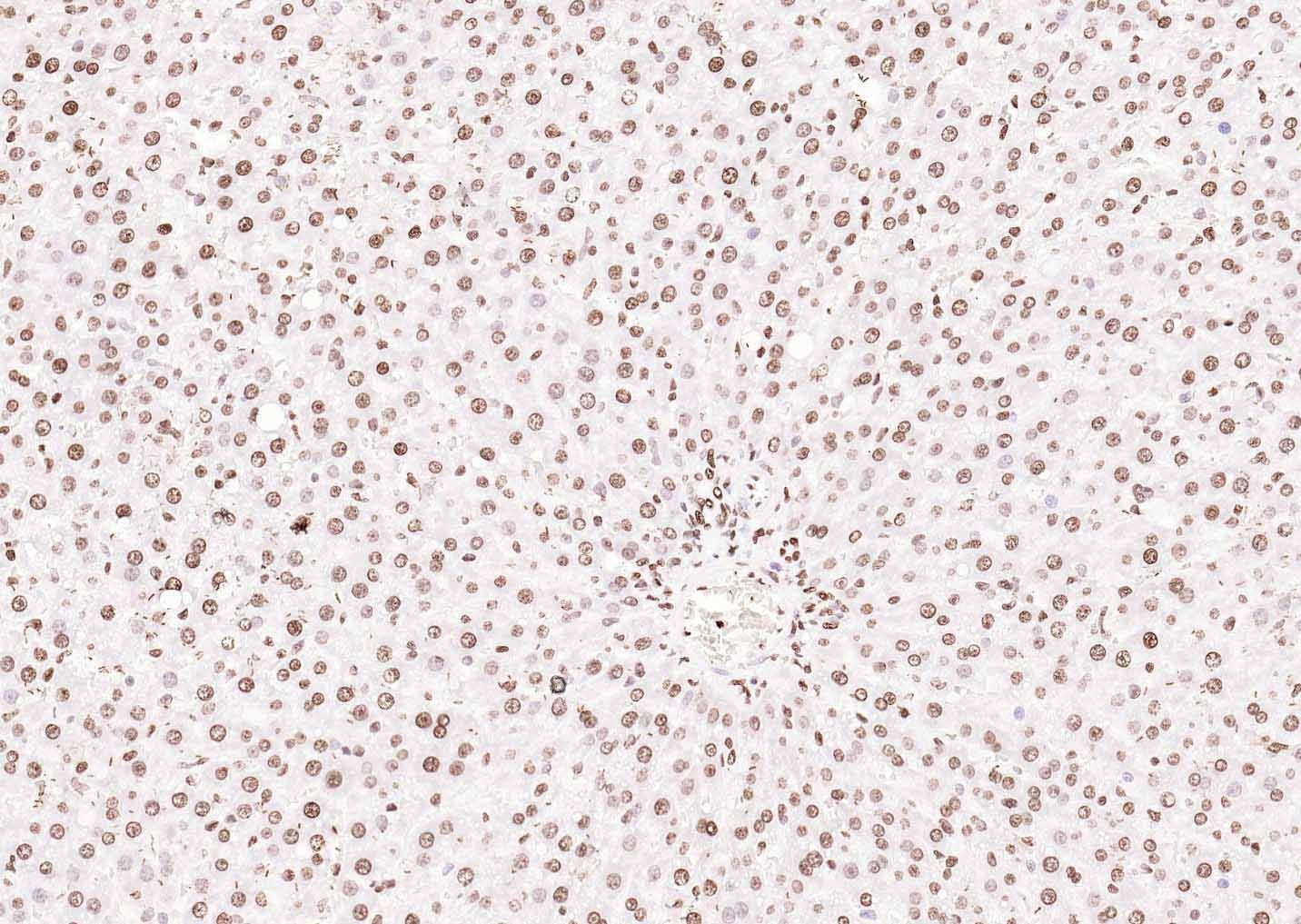
| Verified Activity | 1. Paraformaldehyde-fixed, paraffin embedded (mouse testis); Antigen retrieval by boiling in sodium citrate buffer (pH6.0) for 15 min; Block endogenous peroxidase by 3% hydrogen peroxide for 20 min; Blocking buffer (normal goat serum) at 37°C for 30 min; Antibody incubation with (Histone H3 (Nuclear Loading Control)) Polyclonal Antibody, Unconjugated (TMAB-00866) at 1:200 overnight at 4°C, followed by operating according to SP Kit (Rabbit) instructionsand DAB staining. 2. Paraformaldehyde-fixed, paraffin embedded (rat liver); Antigen retrieval by boiling in sodium citrate buffer (pH6.0) for 15 min; Block endogenous peroxidase by 3% hydrogen peroxide for 20 min; Blocking buffer (normal goat serum) at 37°C for 30 min; Antibody incubation with (Histone H3 (Nuclear Loading Control)) Polyclonal Antibody, Unconjugated (TMAB-00866) at 1:200 overnight at 4°C, followed by operating according to SP Kit (Rabbit) instructionsand DAB staining. 3. Paraformaldehyde-fixed, paraffin embedded (mouse liver); Antigen retrieval by boiling in sodium citrate buffer (pH6.0) for 15 min; Block endogenous peroxidase by 3% hydrogen peroxide for 20 min; Blocking buffer (normal goat serum) at 37°C for 30 min; Antibody incubation with (Histone H3 (Nuclear Loading Control)) Polyclonal Antibody, Unconjugated (TMAB-00866) at 1:200 overnight at 4°C, followed by operating according to SP Kit (Rabbit) instructionsand DAB staining. 4. Paraformaldehyde-fixed, paraffin embedded (mouse liver); Antigen retrieval by boiling in sodium citrate buffer (pH6.0) for 15 min; Blocking buffer (normal goat serum) at 37°C for 30 min; Antibody incubation with (Histone H3 (Nuclear Loading Control)) Polyclonal Antibody, Unconjugated (TMAB-00866) at 1:300 overnight at 4°C, followed by a conjugated Goat Anti-Rabbit IgG antibody (YF488) for 90 minutes, and DAPI for nucleus staining. 5. Blank control: Mouse spleen cells (blue). Primary Antibody: Rabbit Anti-Histone H3/HIST3H3 antibody (TMAB-00866), Dilution: 1 μg in 100 μL 1X PBS containing 0.5% BSA; Isotype Control Antibody: Rabbit Igg (orange),used under the same conditions); Secondary Antibody: Goat anti-rabbit IgG-Pe (white blue), Dilution: 1:200 in 1 X PBS containing 0.5% BSA. Protocol The cells were fixed with 2% paraformaldehyde (10 min). Primary antibody (TMAB-00866, 1 μg/1x10^6 cells) were incubated for 30 min on the ice, followed by 1 X PBS containing 0.5% BSA + 10% goat serum (15 min) to block non-specific protein-protein interactions. Then the Goat Anti-rabbit IgG/PE antibody was added into the blocking buffer mentioned above to react with the primary antibody at 1/200 dilution for 30 min on ice. 6. Paraformaldehyde-fixed, paraffin embedded (human colon); Antigen retrieval by boiling in sodium citrate buffer (pH6.0) for 15 min; Block endogenous peroxidase by 3% hydrogen peroxide for 20 min; Blocking buffer (normal goat serum) at 37°C for 30 min; Antibody incubation with (Histone H3 (Nuclear Loading Control)) Polyclonal Antibody, Unconjugated (TMAB-00866) at 1:200 overnight at 4°C, followed by operating according to SP Kit (Rabbit) instructionsand DAB staining. 7. Paraformaldehyde-fixed, paraffin embedded (rat pancreas); Antigen retrieval by boiling in sodium citrate buffer (pH6.0) for 15 min; Block endogenous peroxidase by 3% hydrogen peroxide for 20 min; Blocking buffer (normal goat serum) at 37°C for 30 min; Antibody incubation with (Histone H3 (Nuclear Loading Control)) Polyclonal Antibody, Unconjugated (TMAB-00866) at 1:200 overnight at 4°C, followed by operating according to SP Kit (Rabbit) instructionsand DAB staining. 8. Paraformaldehyde-fixed, paraffin embedded (mouse pancreas); Antigen retrieval by boiling in sodium citrate buffer (pH6.0) for 15 min; Block endogenous peroxidase by 3% hydrogen peroxide for 20 min; Blocking buffer (normal goat serum) at 37°C for 30 min; Antibody incubation with (Histone H3 (Nuclear Loading Control)) Polyclonal Antibody, Unconjugated (TMAB-00866) at 1:200 overnight at 4°C, followed by operating according to SP Kit (Rabbit) instructionsand DAB staining. 9. Paraformaldehyde-fixed, paraffin embedded (mouse brain); Antigen retrieval by boiling in sodium citrate buffer (pH6.0) for 15 min; Block endogenous peroxidase by 3% hydrogen peroxide for 20 min; Blocking buffer (normal goat serum) at 37°C for 30 min; Antibody incubation with (Histone H3 (Nuclear Loading Control)) Polyclonal Antibody, Unconjugated (TMAB-00866) at 1:200 overnight at 4°C, followed by operating according to SP Kit (Rabbit) instructionsand DAB staining. 10. Paraformaldehyde-fixed, paraffin embedded (mouse kidney); Antigen retrieval by boiling in sodium citrate buffer (pH6.0) for 15 min; Block endogenous peroxidase by 3% hydrogen peroxide for 20 min; Blocking buffer (normal goat serum) at 37°C for 30 min; Antibody incubation with (Histone H3 (Nuclear Loading Control)) Polyclonal Antibody, Unconjugated (TMAB-00866) at 1:200 overnight at 4°C, followed by operating according to SP Kit (Rabbit) instructionsand DAB staining. 11. Paraformaldehyde-fixed, paraffin embedded (human laryngeal carcinoma); Antigen retrieval by boiling in sodium citrate buffer (pH6.0) for 15 min; Block endogenous peroxidase by 3% hydrogen peroxide for 20 min; Blocking buffer (normal goat serum) at 37°C for 30 min; Antibody incubation with (Histone H3HIST3H3 (Nuclear Loading Control)) Polyclonal Antibody, Unconjugated (TMAB-00866) at 1:200 overnight at 4°C, followed by operating according to SP Kit (Rabbit) instructionsand DAB staining. 12. Paraformaldehyde-fixed, paraffin embedded (rat brain); Antigen retrieval by boiling in sodium citrate buffer (pH6.0) for 15 min; Block endogenous peroxidase by 3% hydrogen peroxide for 20 min; Blocking buffer (normal goat serum) at 37°C for 30 min; Antibody incubation with (Histone H3HIST3H3 (Nuclear Loading Control)) Polyclonal Antibody, Unconjugated (TMAB-00866) at 1:200 overnight at 4°C, followed by operating according to SP Kit (Rabbit) instructionsand DAB staining. 13. Paraformaldehyde-fixed, paraffin embedded (rat kidney); Antigen retrieval by boiling in sodium citrate buffer (pH6.0) for 15 min; Block endogenous peroxidase by 3% hydrogen peroxide for 20 min; Blocking buffer (normal goat serum) at 37°C for 30 min; Antibody incubation with (Histone H3HIST3H3 (Nuclear Loading Control)) Polyclonal Antibody, Unconjugated (TMAB-00866) at 1:200 overnight at 4°C, followed by operating according to SP Kit (Rabbit) instructionsand DAB staining. 14. Paraformaldehyde-fixed, paraffin embedded (rat liver); Antigen retrieval by boiling in sodium citrate buffer (pH6.0) for 15 min; Blocking buffer (normal goat serum) at 37°C for 30 min; Antibody incubation with (Histone H3 (Nuclear Loading Control)) Polyclonal Antibody, Unconjugated (TMAB-00866) at 1:300 overnight at 4°C, followed by a conjugated Goat Anti-Rabbit IgG antibody (YF488) for 90 minutes, and DAPI for nucleus staining. 15. Paraformaldehyde-fixed, paraffin embedded (rat kidney); Antigen retrieval by boiling in sodium citrate buffer (pH6.0) for 15 min; Blocking buffer (normal goat serum) at 37°C for 30 min; Antibody incubation with (Histone H3 (Nuclear Loading Control)) Polyclonal Antibody, Unconjugated (TMAB-00866) at 1:300 overnight at 4°C, followed by a conjugated Goat Anti-Rabbit IgG antibody (YF488) for 90 minutes, and DAPI for nucleus staining. 16. Paraformaldehyde-fixed, paraffin embedded (Human kidney); Antigen retrieval by boiling in sodium citrate buffer (pH6.0) for 15 min; Blocking buffer (normal goat serum) at 37°C for 30 min; Antibody incubation with (Histone H3 (Nuclear Loading Control)) Polyclonal Antibody, Unconjugated (TMAB-00866) at 1:300 overnight at 4°C, followed by a conjugated Goat Anti-Rabbit IgG antibody (YF488) for 90 minutes, and DAPI for nucleus staining. 17. Paraformaldehyde-fixed, paraffin embedded (mouse brain); Antigen retrieval by boiling in sodium citrate buffer (pH6.0) for 15 min; Blocking buffer (normal goat serum) at 37°C for 30 min; Antibody incubation with (Histone H3 (Nuclear Loading Control)) Polyclonal Antibody, Unconjugated (TMAB-00866) at 1:300 overnight at 4°C, followed by a conjugated Goat Anti-Rabbit IgG antibody (YF488) for 90 minutes, and DAPI for nucleus staining. 18. Paraformaldehyde-fixed, paraffin embedded (mouse kidney); Antigen retrieval by boiling in sodium citrate buffer (pH6.0) for 15 min; Blocking buffer (normal goat serum) at 37°C for 30 min; Antibody incubation with (Histone H3 (Nuclear Loading Control)) Polyclonal Antibody, Unconjugated (TMAB-00866) at 1:300 overnight at 4°C, followed by a conjugated Goat Anti-Rabbit IgG antibody (YF488) for 90 minutes, and DAPI for nucleus staining. 19. Paraformaldehyde-fixed, paraffin embedded (rat colon); Antigen retrieval by boiling in sodium citrate buffer (pH6.0) for 15 min; Blocking buffer (normal goat serum) at 37°C for 30 min; Antibody incubation with (Histone H3 (Nuclear Loading Control)) Polyclonal Antibody, Unconjugated (TMAB-00866) at 1:300 overnight at 4°C, followed by a conjugated Goat Anti-Rabbit IgG antibody (YF488) for 90 minutes, and DAPI for nucleus staining. 20. Paraformaldehyde-fixed, paraffin embedded (rat brain); Antigen retrieval by boiling in sodium citrate buffer (pH6.0) for 15 min; Blocking buffer (normal goat serum) at 37°C for 30 min; Antibody incubation with (Histone H3 (Nuclear Loading Control)) Polyclonal Antibody, Unconjugated (TMAB-00866) at 1:300 overnight at 4°C, followed by a conjugated Goat Anti-Rabbit IgG antibody (YF488) for 90 minutes, and DAPI for nucleus staining. 21. Paraformaldehyde-fixed, paraffin embedded (mouse testis); Antigen retrieval by boiling in sodium citrate buffer (pH6.0) for 15 min; Blocking buffer (normal goat serum) at 37°C for 30 min; Antibody incubation with (Histone H3 (Nuclear Loading Control)) Polyclonal Antibody, Unconjugated (TMAB-00866) at 1:300 overnight at 4°C, followed by a conjugated Goat Anti-Rabbit IgG antibody (YF488) for 90 minutes, and DAPI for nucleus staining. 22. Paraformaldehyde-fixed, paraffin embedded (rat testis); Antigen retrieval by boiling in sodium citrate buffer (pH6.0) for 15 min; Blocking buffer (normal goat serum) at 37°C for 30 min; Antibody incubation with (Histone H3 (Nuclear Loading Control)) Polyclonal Antibody, Unconjugated (TMAB-00866) at 1:500 overnight at 4°C, followed by a conjugated Goat Anti-Rabbit IgG antibody (YF488) for 90 minutes, and DAPI for nucleus staining. 23. Paraformaldehyde-fixed, paraffin embedded (human liver); Antigen retrieval by boiling in sodium citrate buffer (pH6.0) for 15 min; Blocking buffer (normal goat serum) at 37°C for 30 min; Antibody incubation with (Histone H3 (Nuclear Loading Control)) Polyclonal Antibody, Unconjugated (TMAB-00866) at 1:300 overnight at 4°C, followed by a conjugated Goat Anti-Rabbit IgG antibody (YF488) for 90 minutes, and DAPI for nucleus staining. 24. Paraformaldehyde-fixed, paraffin embedded (human brain); Antigen retrieval by boiling in sodium citrate buffer (pH6.0) for 15 min; Blocking buffer (normal goat serum) at 37°C for 30 min; Antibody incubation with (Histone H3 (Nuclear Loading Control)) Polyclonal Antibody, Unconjugated (TMAB-00866) at 1:500 overnight at 4°C, followed by a conjugated Goat Anti-Rabbit IgG antibody (YF488) for 90 minutes, and DAPI for nucleus staining. 25. Blank control: K562. Primary Antibody (green line): Rabbit Anti-Histone H3/HIST3H3 antibody (TMAB-00866) Dilution: 1 μg/10^6 cells; Isotype Control Antibody (orange line): Rabbit IgG. Secondary Antibody: Goat anti-rabbit IgG-PE Dilution: 1 μg/test. Protocol The cells were fixed with 4% PFA (10 min at room temperature) and then permeabilized with 90% ice-cold methanol for 20 min at-20°C. The cells were then incubated in 5% BSA to block non-specific protein-protein interactions for 30 min at at room temperature. Cells stained with Primary Antibody for 30 min at room temperature. The secondary antibody used for 40 min at room temperature. 26. Paraformaldehyde-fixed, paraffin embedded Human Lung Cancer; Antigen retrieval by boiling in sodium citrate buffer (pH6.0) for 15 min; Antibody incubation with Histone H3 Polyclonal Antibody, Unconjugated (TMAB-00866) at 1:1000 overnight at 4°C, followed by conjugation to the secondary antibody and DAB staining. 27. Paraformaldehyde-fixed, paraffin embedded Human Testicles; Antigen retrieval by boiling in sodium citrate buffer (pH6.0) for 15 min; Antibody incubation with Histone H3 Polyclonal Antibody, Unconjugated (TMAB-00866) at 1:1000 overnight at 4°C, followed by conjugation to the secondary antibody and DAB staining. ![]() ![]() ![]() ![]() ![]() ![]() ![]() ![]() ![]() ![]() ![]() ![]() ![]() ![]() ![]() ![]() ![]() ![]() ![]() ![]() ![]() ![]() ![]() ![]() ![]() ![]() ![]() |
| Application | |
| Recommended Dose | WB=1:5000-50000,IHC-P=1:500-2000,IHC-F=1:500-2000,ICC/IF=1:100,IF=1:500-2000,FCM=1μg/Test |
| Antibody Type | Polyclonal |
| Host Species | Rabbit |
| Subcellular Localization | Nucleus. Chromosome. Note=Localizes to both the large, transcriptionally active, somatic macronucleus (MAC) and the small, transcriptionally inert, germ line micronucleus (MIC). |
| Tissue Specificity | Expressed in testicular cells.Expressed during S phase, then expression strongly decreases as cell division slows down during the process of differentiation. |
| Construction | Polyclonal Antibody |
| Purification | Protein A purified |
| Appearance | Liquid |
| Formulation | 0.01M TBS (pH7.4) with 1% BSA, 0.02% Proclin300 and 50% Glycerol. |
| Concentration | 1 mg/mL |
| Research Background | Modulation of the chromatin structure plays an important role in the regulation of transcription in eukaryotes. The nucleosome, made up of four core histone proteins (H2A, H2B, H3 and H4), is the primary building block of chromatin. The N-terminal tail of core histones undergoes different posttranslational modifications including acetylation, phosphorylation and methylation. These modifications occur in response to cell signal stimuli and have a direct effect on gene expression. In most species, the histone H2B is primarily acetylated at lysines 5, 12, 15 and 20. Histone H3 is primarily acetylated at lysines 9, 14, 18 and 23. Acetylation at lysine 9 appears to have a dominant role in histone deposition and chromatin assembly in some organisms. Phosphorylation at Ser10 of histone H3 is tightly correlated with chromosome condensation during both mitosis and meiosis. |
| Immunogen | KLH conjugated synthetic peptide: human Histone H3 |
| Antigen Species | Human |
| Gene Name | H3C1 |
| Gene ID | |
| Protein Name | Histone H3.1 |
| Uniprot ID | |
| Biology Area | ChIP antibodies,Methylated |
| Function | Core component of nucleosome. Nucleosomes wrap and compact DNA into chromatin, limiting DNA accessibility to the cellular machineries which require DNA as a template. Histones thereby play a central role in transcription regulation, DNA repair, DNA replication and chromosomal stability. DNA accessibility is regulated via a complex set of post-translational modifications of histones, also called histone code, and nucleosome remodeling. H3 is deposited into chromatin exclusively through a DNA replication-coupled pathway that can be associated with either DNA duplication or DNA repair synthesis during meiotic homologous recombination. |
| Molecular Weight | Theoretical: 15 kDa. Actual: 15 kDa. |
| Stability & Storage | Store at -20°C or -80°C for 12 months. Avoid repeated freeze-thaw cycles. |
| Transport | Shipping with blue ice. |
| Size | Quantity | Unit Price | Amount | Operation |
|---|

Copyright © 2015-2026 TargetMol Chemicals Inc. All Rights Reserved.