Shopping Cart
Remove All
Your shopping cart is currently empty
Beta-Actin Loading Control Polyclonal Antibody is a Rabbit antibody targeting Beta-Actin. Beta-Actin Loading Control Polyclonal Antibody can be used in FCM, ICC/IF, IF, IHC-Fr, IHC-P, WB.

| Pack Size | Price | USA Stock | Global Stock | Quantity |
|---|---|---|---|---|
| 100 μL | $107 | 7-10 days | 7-10 days | |
| 200 μL | $182 | 7-10 days | 7-10 days | |
| 500 μL | $427 | 7-10 days | 7-10 days | |
| 1 mL | $807 | 7-10 days | 7-10 days |
| Description | Beta-Actin Loading Control Polyclonal Antibody is a Rabbit antibody targeting Beta-Actin. Beta-Actin Loading Control Polyclonal Antibody can be used in FCM, ICC/IF, IF, IHC-Fr, IHC-P, WB. |
| Synonyms | β-Actin Protein, β-actin, Beta-Actin, Actin Cytoplasmic 1, ACTB |
| Ig Type | IgG |
| Reactivity | Human,Mouse,Rat (predicted:Chicken,Dog,Pig,Rabbit,Sheep,Bee,Fish,GuineaPig,Hamster,Cat) |
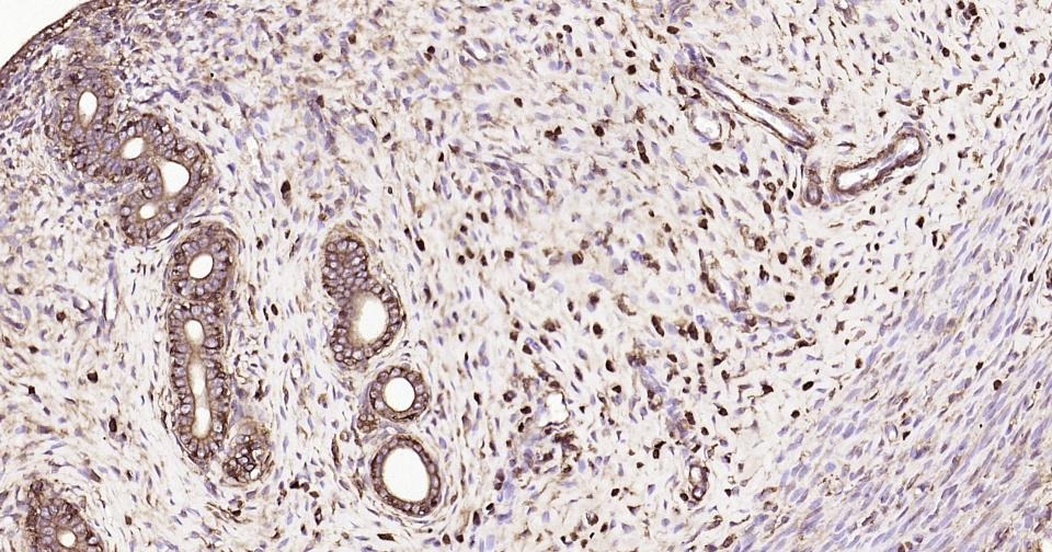
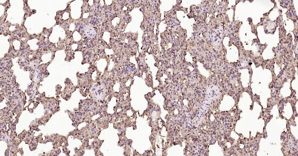
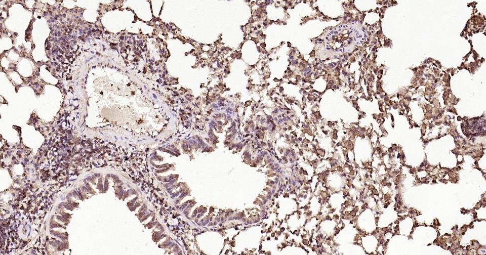
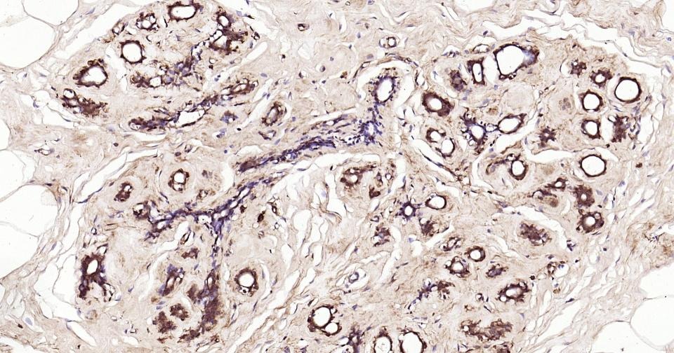
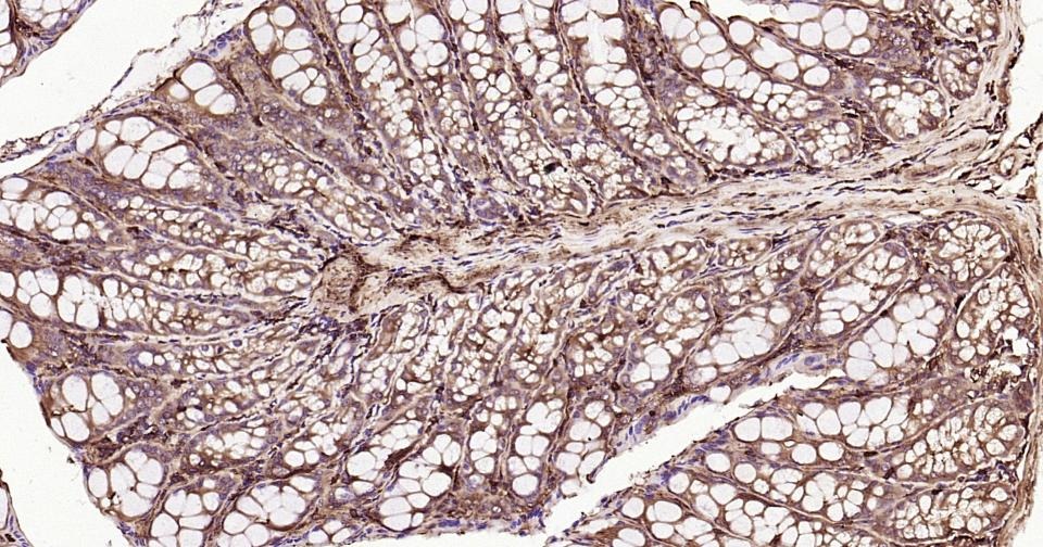
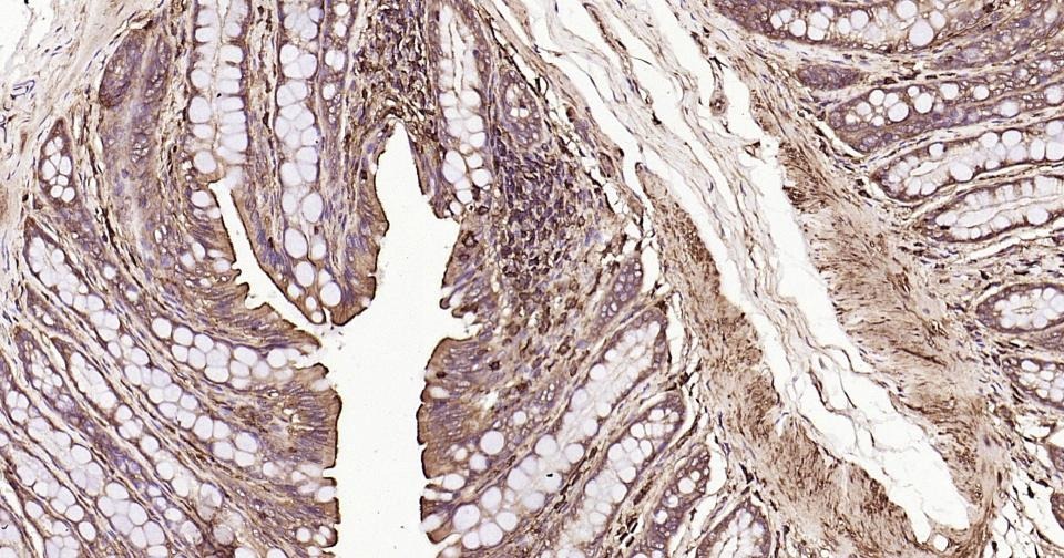
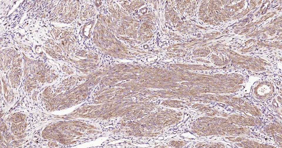
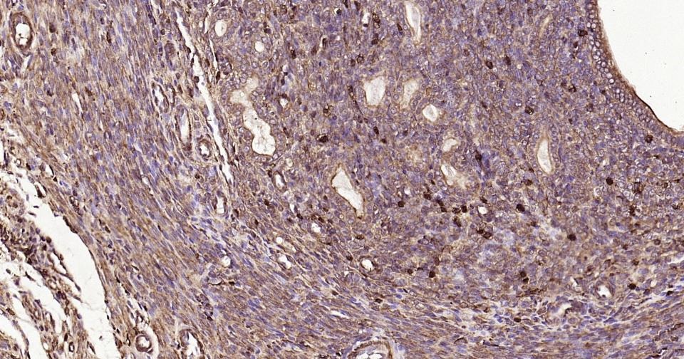
| Verified Activity | 1. Sample: Embryo Cerebrum (Mouse) Lysate at 40 μg Du145 (Human) Lysate at 40 μg SW480 (Human) Cell Lysate at 40 μg U87MG (Human) Lysate at 40 μg U251 (Human) Lysate at 40 μg A673 (Human) Lysate at 40 μg LOVO (Human) Lysate at 40 μg 293FT (Human) Lysate at 40 μg JEG-3 (Human) Lysate at 40 μg RSC96 (Rat) Cell Lysate at 40 μg MCF-7 (Human) Cell Lysate at 40 μg HepG2 (Human) Lysate at 40 μg A431 (Human) Lysate at 40 μg Primary: Anti-beta-Actin (TMAB-00216) at 1/2000 dilution Secondary: IRDye800CW Goat Anti-Rabbit IgG at 1/20000 dilution Predicted band size: 42 kDa Observed band size: 42 kDa 2. MCF7 cell; 4% Paraformaldehyde-fixed; Triton X-100 at room temperature for 20 min; Blocking buffer (normal goat serum) at 37°C for 20 min; Antibody incubation with (beta-Actin) polyclonal Antibody, Unconjugated (TMAB-00216) 1:100, 90 minutes at 37°C; followed by a conjugated Goat Anti-Rabbit IgG antibody at 37°C for 90 minutes, DAPI (blue) was used to stain the cell nucleus. 3. Sample: SH-SY5Y (Human) Lysate at 40 μg Primary: Anti-beta-Actin (TMAB-00216) at 1/2000~1/20000 dilution Secondary: IRDye800CW Goat Anti-Rabbit IgG at 1/20000 dilution Predicted band size: 42 kDa Observed band size: 42 kDa 4. Blank control: NIH/3T3. Primary Antibody (green line): Rabbit Anti-beta-Actin (Loading Control) antibody (TMAB-00216) Dilution: 1 μg/10^6 cells; Isotype Control Antibody (orange line): Rabbit IgG. Secondary Antibody: Goat anti-rabbit IgG-AF488 Dilution: 1 μg/test. Protocol The cells were fixed with 4% PFA (10 min at room temperature) and then permeabilized with 90% ice-cold methanol for 20 min at-20°C. The cells were then incubated in 5% BSA to block non-specific protein-protein interactions for 30 min at room temperature. Cells stained with Primary Antibody for 30 min at room temperature. The secondary antibody used for 40 min at room temperature. 5. Tissue/cell: Hela cell; 4% Paraformaldehyde-fixed; Triton X-100 at room temperature for 20 min; Blocking buffer (normal goat serum) at 37°C for 20 min; Antibody incubation with (beta-Actin) polyclonal Antibody, Unconjugated (TMAB-00216) 1:100, 90 minutes at 37°C; followed by a conjugated Goat Anti-Rabbit IgG-FITC antibody at 37°C for 90 minutes, DAPI (blue) was used to stain the cell nucleus. 6. Paraformaldehyde-fixed, paraffin embedded Mouse Lung; Antigen retrieval by boiling in sodium citrate buffer (pH6.0) for 15 min; Antibody incubation with beta-Actin Polyclonal Antibody, Unconjugated (TMAB-00216) at 1:200 overnight at 4°C, followed by conjugation to the SP Kit (Rabbit) and DAB staining. 7. Paraformaldehyde-fixed, paraffin embedded Rat Lung; Antigen retrieval by boiling in sodium citrate buffer (pH6.0) for 15 min; Antibody incubation with beta-Actin Polyclonal Antibody, Unconjugated (TMAB-00216) at 1:200 overnight at 4°C, followed by conjugation to the SP Kit (Rabbit) and DAB staining. 8. Paraformaldehyde-fixed, paraffin embedded Mouse Colon; Antigen retrieval by boiling in sodium citrate buffer (pH6.0) for 15 min; Antibody incubation with beta-Actin Polyclonal Antibody, Unconjugated (TMAB-00216) at 1:200 overnight at 4°C, followed by conjugation to the SP Kit (Rabbit) and DAB staining. 9. Paraformaldehyde-fixed, paraffin embedded Rat Colon; Antigen retrieval by boiling in sodium citrate buffer (pH6.0) for 15 min; Antibody incubation with beta-Actin Polyclonal Antibody, Unconjugated (TMAB-00216) at 1:200 overnight at 4°C, followed by conjugation to the SP Kit (Rabbit) and DAB staining. 10. Paraformaldehyde-fixed, paraffin embedded Human Colon; Antigen retrieval by boiling in sodium citrate buffer (pH6.0) for 15 min; Antibody incubation with beta-Actin Polyclonal Antibody, Unconjugated (TMAB-00216) at 1:200 overnight at 4°C, followed by conjugation to the SP Kit (Rabbit) and DAB staining. 11. Paraformaldehyde-fixed, paraffin embedded Mouse Uterus; Antigen retrieval by boiling in sodium citrate buffer (pH6.0) for 15 min; Antibody incubation with beta-Actin Polyclonal Antibody, Unconjugated (TMAB-00216) at 1:200 overnight at 4°C, followed by conjugation to the SP Kit (Rabbit) and DAB staining. 12. Paraformaldehyde-fixed, paraffin embedded Rat Uterus; Antigen retrieval by boiling in sodium citrate buffer (pH6.0) for 15 min; Antibody incubation with beta-Actin Polyclonal Antibody, Unconjugated (TMAB-00216) at 1:200 overnight at 4°C, followed by conjugation to the SP Kit (Rabbit) and DAB staining. 13. Paraformaldehyde-fixed, paraffin embedded Human Uterus; Antigen retrieval by boiling in sodium citrate buffer (pH6.0) for 15 min; Antibody incubation with beta-Actin Polyclonal Antibody, Unconjugated (TMAB-00216) at 1:200 overnight at 4°C, followed by conjugation to the SP Kit (Rabbit) and DAB staining. 14. Paraformaldehyde-fixed, paraffin embedded Human Small Intestine; Antigen retrieval by boiling in sodium citrate buffer (pH6.0) for 15 min; Antibody incubation with beta-Actin Polyclonal Antibody, Unconjugated (TMAB-00216) at 1:200 overnight at 4°C, followed by conjugation to the SP Kit (Rabbit) and DAB staining. 15. Paraformaldehyde-fixed, paraffin embedded Human Colon Cancer; Antigen retrieval by boiling in sodium citrate buffer (pH6.0) for 15 min; Antibody incubation with beta-Actin Polyclonal Antibody, Unconjugated (TMAB-00216) at 1:200 overnight at 4°C, followed by conjugation to the SP Kit (Rabbit) and DAB staining. 16. Paraformaldehyde-fixed, paraffin embedded Human Breast Cancer; Antigen retrieval by boiling in sodium citrate buffer (pH6.0) for 15 min; Antibody incubation with beta-Actin Polyclonal Antibody, Unconjugated (TMAB-00216) at 1:200 overnight at 4°C, followed by conjugation to the SP Kit (Rabbit) and DAB staining. ![]() ![]() ![]() ![]() ![]() ![]() ![]() ![]() ![]() ![]() ![]() ![]() ![]() ![]() ![]() ![]() |
| Application | |
| Recommended Dose | WB: 1:5000-50000; IHC-P: 1:200-1000; IHC-Fr: 1:200-1000; ICC/IF: 1:100-500; IF: 1:200-1000; FCM: 1μg/Test |
| Antibody Type | Polyclonal |
| Host Species | Rabbit |
| Subcellular Localization | Cytoplasm, cytoskeleton. |
| Tissue Specificity | Ubiquitously expressed in all eukaryotic cells. |
| Construction | Polyclonal Antibody |
| Purification | Protein A purified |
| Appearance | Liquid |
| Formulation | 0.01M TBS (pH7.4) with 1% BSA, 0.02% Proclin300 and 50% Glycerol. |
| Concentration | 1 mg/mL |
| Research Background | Actin is a highly conserved protein and an essential component of cell cytoskeleton and plays an important role in cytoplasmic streaming, cell shape determination, cell division, organelle movement and extension growth. Preferentially expressed in young and expanding tissues, floral organ primordia, developing seeds and emerging inflorescence. Antibodies against plant Actin are useful as loading controls for Western Blotting. |
| Immunogen | Synthetic MAP peptide: human beta-Actin |
| Antigen Species | Human |
| Gene Name | ACTB |
| Gene ID | |
| Protein Name | Actin, cytoplasmic 1 |
| Uniprot ID | |
| Biology Area | Actin,Actin,Beta Actin |
| Function | Actins are highly conserved proteins that are involved in various types of cell motility and are ubiquitously expressed in all eukaryotic cells. |
| Molecular Weight | Theoretical: 42 kDa. Actual: 42 kDa. |
| Stability & Storage | Store at -20°C or -80°C for 12 months. Avoid repeated freeze-thaw cycles. |
| Transport | Shipping with blue ice. |
| Size | Quantity | Unit Price | Amount | Operation |
|---|

Copyright © 2015-2026 TargetMol Chemicals Inc. All Rights Reserved.