Shopping Cart
Remove All
Your shopping cart is currently empty
Anti-ZNRF2 Antibody (2E492) is a Rabbit antibody targeting ZNRF2. Anti-ZNRF2 Antibody (2E492) can be used in IHC,WB.
| Pack Size | Price | USA Warehouse | Global Warehouse | Quantity |
|---|---|---|---|---|
| 50 μL | $297 | 7-10 days | 7-10 days | |
| 100 μL | $496 | 7-10 days | 7-10 days |
| Description | Anti-ZNRF2 Antibody (2E492) is a Rabbit antibody targeting ZNRF2. Anti-ZNRF2 Antibody (2E492) can be used in IHC,WB. |
| Synonyms | ZNRF2_HUMAN, Znrf 2, Zinc/RING finger protein 2, RNF202, RING finger protein 202, Protein Ells2, E3 ubiquitin-protein ligase ZNRF2 |
| Ig Type | IgG |
| Clone | 2E492 |
| Reactivity | Human,Mouse,Rat |
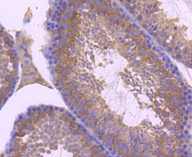
| Verified Activity | 1. Immunohistochemical analysis of paraffin-embedded mouse testis tissue using anti-ZNRF2 antibody. Counter stained with hematoxylin. ![]() |
| Application | |
| Recommended Dose | WB: 1:1000-2000; IHC: 1:50-200 |
| Antibody Type | Monoclonal |
| Host Species | Rabbit |
| Construction | Recombinant Antibody |
| Purification | ProA affinity purified |
| Appearance | Liquid |
| Formulation | 1*TBS (pH7.4), 1%BSA, 40%Glycerol. Preservative: 0.05% Sodium Azide. |
| Research Background | NF-E2 related factor 2 (Nrf2) is a member of the cap ??n?? collar family of basic leucine zipper transcription factors. By binding antioxidant response elements (AREs), Nrf2 activates the transcription of genes encoding antioxidant and phase II drug-metabolizing enzymes needed to protect cells against oxidative damage. Transcriptional targets regulated by Nrf2 include genes encoding glutathione S-transferases, superoxide dismutase-1, and heme oxygenase-1. |
| Conjucates | Unconjugated |
| Immunogen | Recombinant Protein |
| Uniprot ID |
| Molecular Weight | Theoretical: 24 kDa. |
| Stability & Storage | Store at -20°C or -80°C for 12 months. Avoid repeated freeze-thaw cycles. |
| Transport | Shipping with blue ice. |
| Size | Quantity | Unit Price | Amount | Operation |
|---|

Copyright © 2015-2026 TargetMol Chemicals Inc. All Rights Reserved.