Shopping Cart
Remove All
Your shopping cart is currently empty
Synonyms: XOR, XO, XDHA, XD, Xanthine oxidoreductase, Xanthine oxidase, Xanthine dehydrogenase/oxidase, Xanthine dehydrogenase, EC 1.17.3.2, EC 1.17.1.4
| Pack Size | Price | USA Stock | Global Stock | Quantity |
|---|---|---|---|---|
| 50 μL | $297 | 7-10 days | 7-10 days | |
| 100 μL | $498 | 7-10 days | 7-10 days |
| Description | Anti-XDH Antibody (7F885) is a Rabbit antibody targeting XDH. Anti-XDH Antibody (7F885) can be used in IHC,WB. |
| Synonyms | XOR, XO, XDHA, XD, Xanthine oxidoreductase, Xanthine oxidase, Xanthine dehydrogenase/oxidase, Xanthine dehydrogenase, EC 1.17.3.2, EC 1.17.1.4 |
| Ig Type | IgG |
| Clone | 7F885 |
| Reactivity | Human,Mouse,Rat |
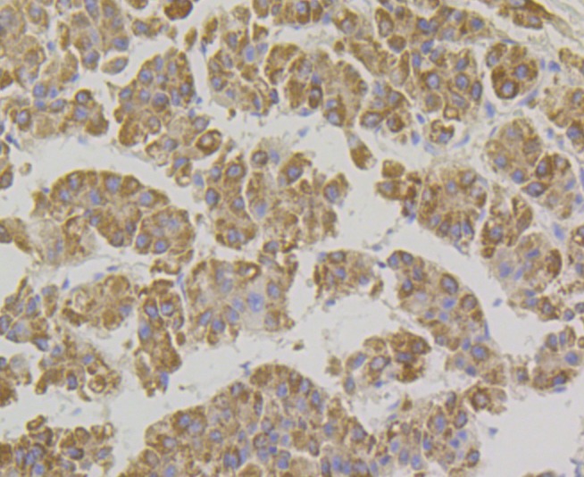
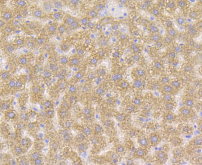
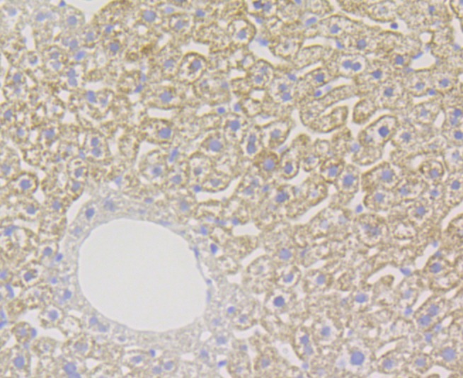
| Verified Activity | 1. Western blot analysis of Xanthine Oxidase on human kidney tissue lysate using anti-Xanthine Oxidase antibody at 1/1,000 dilution. 2. Immunohistochemical analysis of paraffin-embedded rat liver tissue using anti-Xanthine Oxidase antibody. Counter stained with hematoxylin. 3. Immunohistochemical analysis of paraffin-embedded human liver tissue using anti-Xanthine Oxidase antibody. Counter stained with hematoxylin. 4. Immunohistochemical analysis of paraffin-embedded mouse liver tissue using anti-Xanthine Oxidase antibody. Counter stained with hematoxylin. |
| Application | |
| Recommended Dose | WB: 1:500-2000; IHC: 1:50-200 |
| Antibody Type | Monoclonal |
| Host Species | Rabbit |
| Construction | Recombinant Antibody |
| Purification | ProA affinity purified |
| Appearance | Liquid |
| Formulation | 1*TBS (pH7.4), 1%BSA, 40%Glycerol. Preservative: 0.05% Sodium Azide. |
| Research Background | The process of metabolizing purines to a common molecule known as xanthine is an essential process for the proper shuttling of uric acid. Xanthine oxidase is a flavoprotein enzyme that coordinates molybdenum and utilizes NAD+ as an electron acceptor to catalyze the oxidation of hypoxanthine to xanthine and then to uric acid. The predominant form of this enzyme is xanthine dehydrogenase, which is a homodimer that can be converted to xanthine oxidase by sulfhydryl oxidation or proteolytic modification. Xanthine oxidase is present in species ranging from bacteria to human and is ubiquitously expressed in mammalian tissues. In the oxidase form, this enzyme is coupled to the generation of free radicals. Individuals showing marked elevation of serum xanthine oxidase is suggestive of chronic liver disease and cholestasis, which is a condition defined by hepatic obstruction. Hepatic obstruction causes bile salts, the bile pigment bilirubin, and fats to accumulate in the blood stream instead of being eliminated normally. The clinical consequences of defects in xanthine oxidase range from mild to severe and even contribute to fatal disorders. |
| Conjucates | Unconjugated |
| Immunogen | Recombinant Protein: human Xanthine Oxidase aa 100-300 |
| Antigen Species | human |
| Uniprot ID |
| Molecular Weight | Theoretical: 146 kDa. |
| Stability & Storage | Store at -20°C or -80°C for 12 months. Avoid repeated freeze-thaw cycles. |
| Transport | Shipping with blue ice. |
| Size | Quantity | Unit Price | Amount | Operation |
|---|

Copyright © 2015-2026 TargetMol Chemicals Inc. All Rights Reserved.