Shopping Cart
Remove All
Your shopping cart is currently empty
Anti-WSCD2 Antibody (7M244) is a Mouse antibody targeting WSCD2. Anti-WSCD2 Antibody (7M244) can be used in ICC,IHC,WB.
| Pack Size | Price | USA Warehouse | Global Warehouse | Quantity |
|---|---|---|---|---|
| 50 μL | $298 | 7-10 days | 7-10 days | |
| 100 μL | $428 | 7-10 days | 7-10 days |
| Description | Anti-WSCD2 Antibody (7M244) is a Mouse antibody targeting WSCD2. Anti-WSCD2 Antibody (7M244) can be used in ICC,IHC,WB. |
| Synonyms | WSCD2_HUMAN, WSCD 2, WSC domain-containing protein 2, WSC domain containing protein 2, WSC domain containing 2, Gm450, C530024P05Rik, 4933413A10Rik |
| Clone | 7M244 |
| Reactivity | Human |
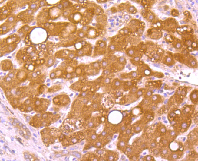
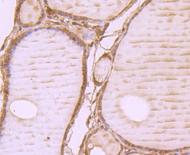
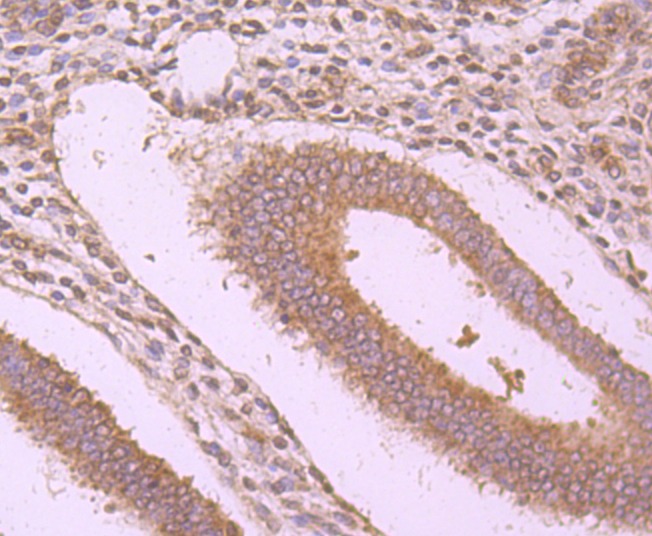
| Verified Activity | 1. Western blot analysis of WSCD2 on WSCD2 recombinant protein lysate using anti-WSCD2 antibody at 1/2000 dilution. 2. Western blot analysis of WSCD2 on human stomach tissue lysate using anti-WSCD2 antibody at 1/1000 dilution. 3. Immunohistochemical analysis of paraffin-embedded human thyroid tissue using anti-WSCD2 antibody. Counter stained with 4. Immunohistochemical analysis of paraffin-embedded human liver cancer tissue using anti-WSCD2 antibody. Counter stained with hematoxylin. 5. Immunohistochemical analysis of paraffin-embedded human uterus tissue using anti-WSCD2 antibody. Counter stained with hematoxylin. 6. ICC staining WSCD2 in SH-SY5Y cells (green). The nuclear counter stain is DAPI (blue). Cells were fixed in paraformaldehyde, permeabilised with 0.25% Triton X100/PBS. ![]() ![]() ![]() ![]() ![]() ![]() |
| Application | |
| Recommended Dose | WB: 1:500-2000; IHC: 1:100-500; ICC: 1:50-200 |
| Antibody Type | Monoclonal |
| Host Species | Mouse |
| Construction | Hybridoma Monoclonal Antibody |
| Purification | ProA affinity purified |
| Appearance | Liquid |
| Formulation | 1*TBS (pH7.4), 0.5%BSA, 50%Glycerol. Preservative: 0.05% Sodium Azide. |
| Research Background | WSC domain-containing protein 2 (WSCD2) is a 565 amino acid, single-pass membrane protein that contains two WSC domains. The WSC domain is named after the yeast WSC1-WSC4 (cell wall integrity and stress response components 1-4) proteins, which each contain a WSC domain, and is a putative carbohydrate binding domain that spans about 90 amino acids. Containing eight conserved cysteine residues, which are predicted to form disulfide bridges, WSC domains are often found with other domains, such as LDL-receptor class A, PKD and C-type lectin. Two isoforms of WSCD2 exist as a result of alternative splicing events. |
| Conjucates | Unconjugated |
| Immunogen | Recombinant Protein |
| Uniprot ID |
| Molecular Weight | Theoretical: 70 kDa. |
| Stability & Storage | Store at -20°C or -80°C for 12 months. Avoid repeated freeze-thaw cycles. |
| Transport | Shipping with blue ice. |
| Size | Quantity | Unit Price | Amount | Operation |
|---|

Copyright © 2015-2026 TargetMol Chemicals Inc. All Rights Reserved.