Shopping Cart
Remove All
Your shopping cart is currently empty
Anti-Wnt7b Polyclonal Antibody is a Rabbit antibody targeting Wnt7b. Anti-Wnt7b Polyclonal Antibody can be used in IF,IHC-Fr,IHC-P.
| Pack Size | Price | USA Warehouse | Global Warehouse | Quantity |
|---|---|---|---|---|
| 50 μL | $221 | 7-10 days | 7-10 days | |
| 100 μL | $372 | 7-10 days | 7-10 days | |
| 200 μL | $528 | 7-10 days | 7-10 days |
| Description | Anti-Wnt7b Polyclonal Antibody is a Rabbit antibody targeting Wnt7b. Anti-Wnt7b Polyclonal Antibody can be used in IF,IHC-Fr,IHC-P. |
| Synonyms | WNT7B, Protein Wnt-7b |
| Ig Type | IgG |
| Reactivity | Human,Mouse,Rat (predicted:Chicken,Dog,Pig,Horse,Rabbit) |
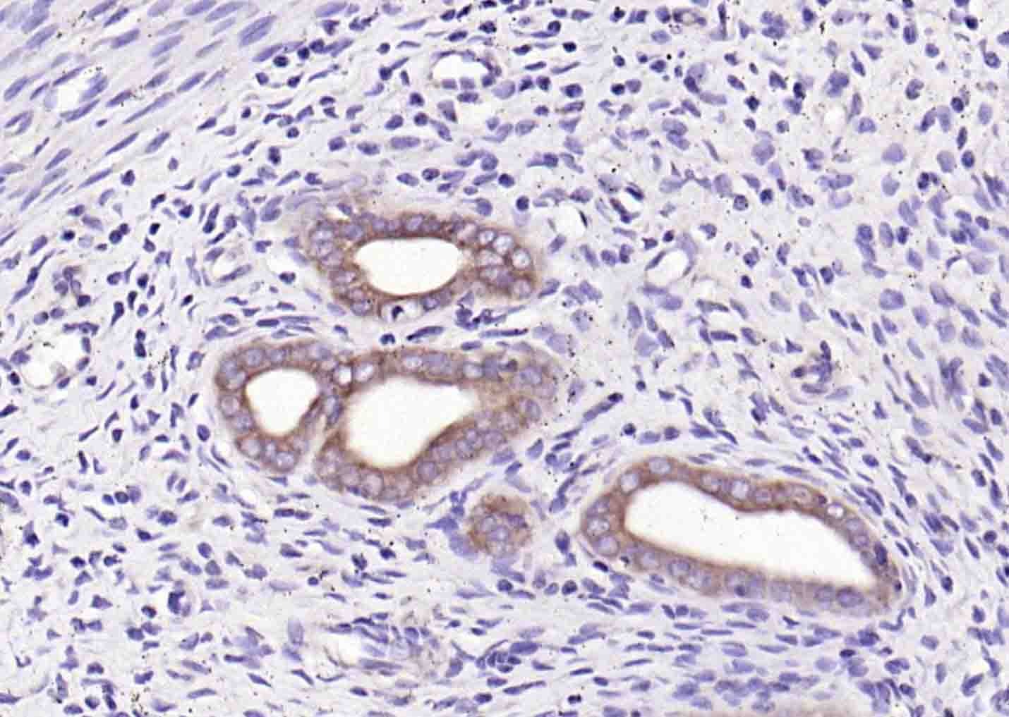
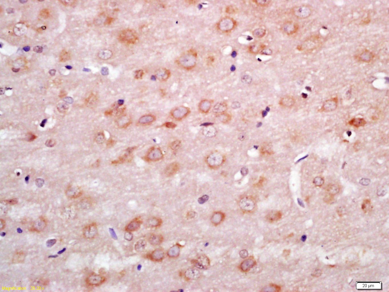
| Verified Activity | 1. Tissue/cell: rat brain tissue; 4% Paraformaldehyde-fixed and paraffin-embedded; Antigen retrieval: citrate buffer (0.01M, pH6.0), Boiling bathing for 15 min; Block endogenous peroxidase by 3% Hydrogen peroxide for 30 min; Blocking buffer (normal goat serum) at 37°C for 20 min; Incubation: Anti-WNT7B Polyclonal Antibody, Unconjugated (TMAB-01988) 1:200, overnight at 4°C, followed by conjugation to the secondary antibody and DAb staining. 2. Tissue/cell: human lung carcinoma; 4% Paraformaldehyde-fixed and paraffin-embedded; Antigen retrieval: citrate buffer (0.01M, pH6.0), Boiling bathing for 15 min; Block endogenous peroxidase by 3% Hydrogen peroxide for 30 min; Blocking buffer (normal goat serum) at 37°C for 20 min; Incubation: Anti-WNT7B Polyclonal Antibody, Unconjugated (TMAB-01988) 1:200, overnight at 4°C, followed by conjugation to the secondary antibody and DAb staining. 3. Paraformaldehyde-fixed, paraffin embedded (Human kidney); Antigen retrieval by boiling in sodium citrate buffer (pH6.0) for 15 min; Block endogenous peroxidase by 3% hydrogen peroxide for 20 min; Blocking buffer (normal goat serum) at 37°C for 30 min; Antibody incubation with (WNT7B) Polyclonal Antibody, Unconjugated (TMAB-01988) at 1:200 overnight at 4°C, followed by operating according to SP Kit (Rabbit) instructionsand DAB staining. 4. Paraformaldehyde-fixed, paraffin embedded (mouse uterus); Antigen retrieval by boiling in sodium citrate buffer (pH6.0) for 15 min; Block endogenous peroxidase by 3% hydrogen peroxide for 20 min; Blocking buffer (normal goat serum) at 37°C for 30 min; Antibody incubation with (WNT7B) Polyclonal Antibody, Unconjugated (TMAB-01988) at 1:200 overnight at 4°C, followed by operating according to SP Kit (Rabbit) instructionsand DAB staining. ![]() ![]() ![]() ![]() |
| Application | |
| Recommended Dose | IHC-P: 1:100-500; IHC-Fr: 1:100-500; IF: 1:100-500 |
| Antibody Type | Polyclonal |
| Host Species | Rabbit |
| Subcellular Localization | Secreted, extracellular space, extracellular matrix. |
| Tissue Specificity | Moderately expressed in fetal brain, weakly expressed in fetal lung and kidney, and faintly expressed in adult brain, lung and prostate. |
| Construction | Polyclonal Antibody |
| Purification | Protein A purified |
| Appearance | Liquid |
| Formulation | 0.01M TBS (pH7.4) with 1% BSA, 0.02% Proclin300 and 50% Glycerol. |
| Concentration | 1 mg/mL |
| Research Background | Wnt7b is a secreted glycosylated protein that belongs to the Wnt family. Wnt proteins can be lipid modified and are ligands for members of the frizzled family of receptors, which mediate cell-cell communication during development. Wnt7b is thought to modulate several important signaling pathways in the lung which results in the coordinated proliferation of adjacent epithelial and mesenchymal cells to stimulate organ growth. |
| Immunogen | KLH conjugated synthetic peptide: human WNT7B |
| Antigen Species | Human |
| Gene Name | WNT7B |
| Gene ID | |
| Protein Name | Protein Wnt-7b |
| Uniprot ID | |
| Biology Area | Signal transduction,Secreted |
| Function | Ligand for members of the frizzled family of seven transmembrane receptors. Probable developmental protein. May be a signaling molecule which affects the development of discrete regions of tissues. Is likely to signal over only few cell diameters (By similarity). |
| Molecular Weight | Theoretical: 36 kDa. |
| Stability & Storage | Store at -20°C or -80°C for 12 months. Avoid repeated freeze-thaw cycles. |
| Transport | Shipping with blue ice. |
| Size | Quantity | Unit Price | Amount | Operation |
|---|

Copyright © 2015-2026 TargetMol Chemicals Inc. All Rights Reserved.