Shopping Cart
Remove All
Your shopping cart is currently empty
Anti-WNK1 Antibody (1S306) is a Rabbit antibody targeting WNK1. Anti-WNK1 Antibody (1S306) can be used in IHC,WB.
| Pack Size | Price | USA Warehouse | Global Warehouse | Quantity |
|---|---|---|---|---|
| 50 μL | $298 | 7-10 days | 7-10 days | |
| 100 μL | $498 | 7-10 days | 7-10 days |
| Description | Anti-WNK1 Antibody (1S306) is a Rabbit antibody targeting WNK1. Anti-WNK1 Antibody (1S306) can be used in IHC,WB. |
| Synonyms | WNK 1, Serine/threonine-protein kinase WNK1, Protein kinase with no lysine 1, Protein kinase lysine-deficient 1, PRKWNK1, p65, Kinase deficient protein, KIAA0344, KDP, hWNK1, HSN2, Erythrocyte 65 kDa protein, EC 2.7.11.1 |
| Ig Type | IgG |
| Clone | 1S306 |
| Reactivity | Human,Mouse,Rat |
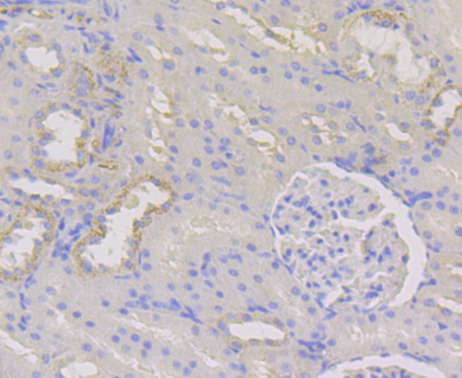
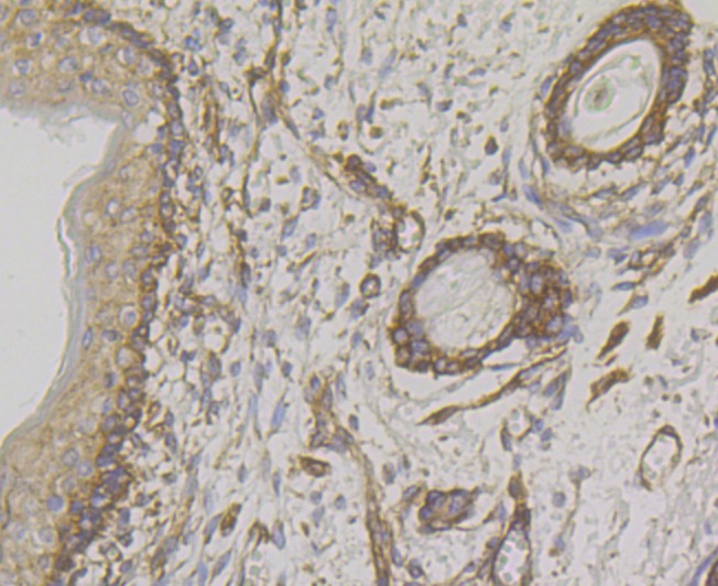
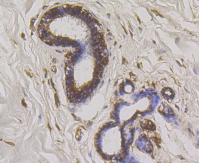
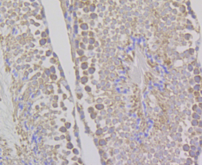
| Verified Activity | 1. Western blot analysis of WNK1 on A549 cell lysates using anti-WNK1 antibody at 1/1,000 dilution. 2. Immunohistochemical analysis of paraffin-embedded human skin tissue using anti-WNK1 antibody. Counter stained with hematoxylin. 3. Immunohistochemical analysis of paraffin-embedded human breast cancer tissue using anti-WNK1 antibody. Counter stained with hematoxylin. 4. Immunohistochemical analysis of paraffin-embedded mouse testis tissue using anti-WNK1 antibody. Counter stained with hematoxylin. 5. Immunohistochemical analysis of paraffin-embedded rat kidney tissue using anti-WNK1 antibody. Counter stained with hematoxylin. ![]() ![]() ![]() ![]() ![]() |
| Application | |
| Recommended Dose | WB: 1:500-2000; IHC: 1:50-200 |
| Antibody Type | Monoclonal |
| Host Species | Rabbit |
| Construction | Recombinant Antibody |
| Purification | ProA affinity purified |
| Appearance | Liquid |
| Formulation | 1*TBS (pH7.4), 1%BSA, 40%Glycerol. Preservative: 0.05% Sodium Azide. |
| Research Background | Serine/threonine kinase which plays an important role in the regulation of electrolyte homeostasis, cell signaling, survival, and proliferation. Acts as an activator and inhibitor of sodium-coupled chloride cotransporters and potassium-coupled chloride cotransporters respectively. Activates SCNN1A, SCNN1B, SCNN1D and SGK1. Controls sodium and chloride ion transport by inhibiting the activity of WNK4, by either phosphorylating the kinase or via an interaction between WNK4 and the autoinhibitory domain of WNK1. WNK4 regulates the activity of the thiazide-sensitive Na-Cl cotransporter, SLC12A3, by phosphorylation. WNK1 may also play a role in actin cytoskeletal reorganization. Phosphorylates NEDD4L. Acts as a scaffold to inhibit SLC4A4, SLC26A6 as well as CFTR activities and surface expression, recruits STK39 which mediates the inhibition. |
| Conjucates | Unconjugated |
| Immunogen | A synthesized peptide: within Human WNK1 aa 100-200 (Cysteine residue) |
| Antigen Species | human |
| Uniprot ID |
| Molecular Weight | Theoretical: 250/300 kDa. |
| Stability & Storage | Store at -20°C or -80°C for 12 months. Avoid repeated freeze-thaw cycles. |
| Transport | Shipping with blue ice. |
| Size | Quantity | Unit Price | Amount | Operation |
|---|

Copyright © 2015-2026 TargetMol Chemicals Inc. All Rights Reserved.