Shopping Cart
Remove All
Your shopping cart is currently empty
Anti-VSIG4 Polyclonal Antibody is a Rabbit antibody targeting VSIG4. Anti-VSIG4 Polyclonal Antibody can be used in IF,IHC-Fr,IHC-P,WB.
| Pack Size | Price | USA Stock | Global Stock | Quantity |
|---|---|---|---|---|
| 50 μL | $221 | 7-10 days | 7-10 days | |
| 100 μL | $372 | 7-10 days | 7-10 days | |
| 200 μL | $528 | 7-10 days | 7-10 days |
| Description | Anti-VSIG4 Polyclonal Antibody is a Rabbit antibody targeting VSIG4. Anti-VSIG4 Polyclonal Antibody can be used in IF,IHC-Fr,IHC-P,WB. |
| Synonyms | Z39IG, V-set and immunoglobulin domain containing 4, CRIg |
| Ig Type | IgG |
| Reactivity | Mouse,Rat (predicted:Human,Dog,Cow) |
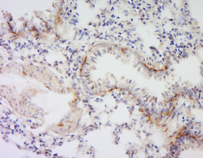
| Verified Activity | 1. Tissue/cell: Rat lung tissue; 4% Paraformaldehyde-fixed and paraffin-embedded; Antigen retrieval: citrate buffer (0.01M, pH6.0), Boiling bathing for 15 min; Block endogenous peroxidase by 3% Hydrogen peroxide for 30 min; Blocking buffer (normal goat serum) at 37°C for 20 min; Incubation: Anti-VSIG4 Polyclonal Antibody, Unconjugated (TMAB-01974) 1:200, overnight at 4°C, followed by conjugation to the secondary antibody and DAb staining. 2. Sample: Lung (Mouse) lysate at 30 μg Placenta (Mouse) Lysate at 30 μg Primary: Anti-VSIG4 (TMAB-01974) at 1/300 dilution Secondary: IRDye800CW Goat Anti-Rabbit IgG at 1/20000 dilution Predicted band size: 33 kDa Observed band size: 33 kDa 3. Sample: Placenta (Mouse) Lysate at 40 μg Primary: Anti-VSIG4 (TMAB-01974) at 1/1000 dilution Secondary: IRDye800CW Goat Anti-Rabbit IgG at 1/20000 dilution Predicted band size: 33 kDa Observed band size: 33 kDa 4. Sample: Lung (Mouse) Lysate at 40 μg Primary: Anti-VSIG4 (TMAB-01974) at 1/1000 dilution Secondary: IRDye800CW Goat Anti-Rabbit IgG at 1/20000 dilution Predicted band size: 33 kDa Observed band size: 33 kDa ![]() ![]() ![]() ![]() |
| Application | |
| Recommended Dose | WB: 1:500-2000; IHC-P: 1:100-500; IHC-Fr: 1:100-500; IF: 1:100-500 |
| Antibody Type | Polyclonal |
| Host Species | Rabbit |
| Subcellular Localization | Membrane; Single-pass type I membrane protein (Probable). |
| Tissue Specificity | Abundantly expressed in several fetal tissues. In adult tissues, highest expression in lung and placenta. Expressed in resting macrophages. |
| Construction | Polyclonal Antibody |
| Purification | Protein A purified |
| Appearance | Liquid |
| Formulation | 0.01M TBS (pH7.4) with 1% BSA, 0.02% Proclin300 and 50% Glycerol. |
| Concentration | 1 mg/mL |
| Research Background | T cell activation by APCs is positively and negatively regulated by members of the B7 family. We have identified a previously unknown function for B7 familyrelated protein V-set and Ig domaincontaining 4 (VSIG4). Administration to mice of soluble VSIG4-Ig fusion molecules reduced the induction of T cell responses in vivo and inhibited the production of Th celldependent IgG responses. Unlike that of B7 family members, surface expression of VSIG4 was restricted to resting tissue macrophages and absent upon activation by LPS or in autoimmune inflammatory foci. The specific expression of VSIG4 on resting macrophages in tissue suggests that this inhibitory ligand may be important for the maintenance of T cell unresponsiveness in healthy tissues. |
| Immunogen | KLH conjugated synthetic peptide: human VSIG4 |
| Antigen Species | Human |
| Gene Name | VSIG4 |
| Gene ID | |
| Protein Name | V-set and immunoglobulin domain-containing protein 4 |
| Uniprot ID | |
| Biology Area | Receptors,Classical Pathway,Macrophage / Inflamm. |
| Function | Phagocytic receptor, strong negative regulator of T-cell proliferation and IL2 production. Potent inhibitor of the alternative complement pathway convertases. |
| Molecular Weight | Theoretical: 33 kDa. Actual: 33 kDa. |
| Stability & Storage | Store at -20°C or -80°C for 12 months. Avoid repeated freeze-thaw cycles. |
| Transport | Shipping with blue ice. |
| Size | Quantity | Unit Price | Amount | Operation |
|---|

Copyright © 2015-2026 TargetMol Chemicals Inc. All Rights Reserved.