Shopping Cart
Remove All
Your shopping cart is currently empty
Anti-VPS35 Antibody (7F247) is a Rabbit antibody targeting VPS35. Anti-VPS35 Antibody (7F247) can be used in FCM,IHC,WB.
| Pack Size | Price | USA Warehouse | Global Warehouse | Quantity |
|---|---|---|---|---|
| 50 μL | $297 | 7-10 days | 7-10 days | |
| 100 μL | $498 | 7-10 days | 7-10 days |
| Description | Anti-VPS35 Antibody (7F247) is a Rabbit antibody targeting VPS35. Anti-VPS35 Antibody (7F247) can be used in FCM,IHC,WB. |
| Synonyms | VPS35, Vesicle protein sorting 35, Vacuolar protein sorting-associated protein 35, MEM3, Maternal-embryonic 3, hVPS35 |
| Ig Type | IgG |
| Clone | 7F247 |
| Reactivity | Human,Mouse |
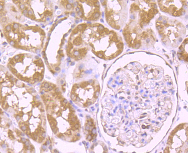
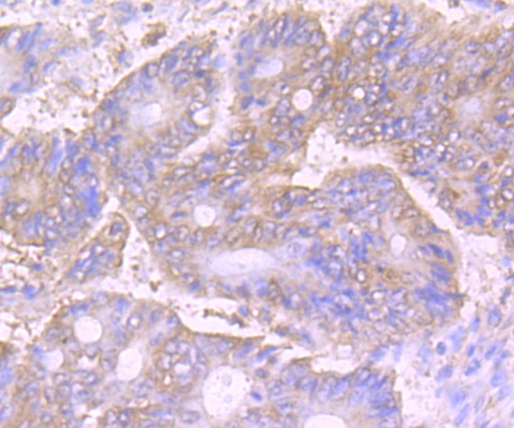
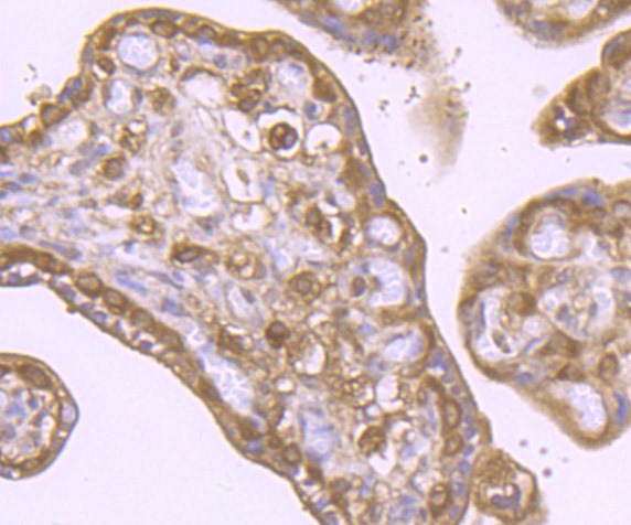
| Verified Activity | 1. Western blot analysis of VPS35 on different lysates using anti-VPS35 antibody at 1/500 dilution. Positive control: Lane 1: PC-3M, Lane 2: U937, Lane 3: SH-SY-5Y. 2. Immunohistochemical analysis of paraffin-embedded human colon cancer tissue using anti-VPS35 antibody. Counter stained with hematoxylin. 3. Immunohistochemical analysis of paraffin-embedded human kidney tissue using anti-VPS35 antibody. Counter stained with hematoxylin. 4. Immunohistochemical analysis of paraffin-embedded human placenta tissue using anti-VPS35 antibody. Counter stained with hematoxylin. 5. Immunohistochemical analysis of paraffin-embedded mouse colon tissue using anti-VPS35 antibody. Counter stained with hematoxylin. 6. Flow cytometric analysis of 293T cells with VPS35 antibody at 1/100 dilution (red) compared with an unlabelled control (cells without incubation with primary antibody; black). Alexa Fluor 488-conjugated goat anti-rabbit IgG was used as the secondary antibody. ![]() ![]() ![]() ![]() ![]() ![]() |
| Application | |
| Recommended Dose | WB: 1:500-1000; IHC: 1:100-300; FCM: 1:50-100 |
| Antibody Type | Monoclonal |
| Host Species | Rabbit |
| Construction | Recombinant Antibody |
| Purification | ProA affinity purified |
| Appearance | Liquid |
| Formulation | 1*TBS (pH7.4), 1%BSA, 40%Glycerol. Preservative: 0.05% Sodium Azide. |
| Research Background | Vacuolar sorting proteins (VPSs) are required for proper trafficking of endocytic and biosynthetic proteins to the vacuole and play an important role in the budding process of cells. VPS35 (vacuolar protein sorting 35), also known as MEM3, is the 796 amino acid human homolog of the S. cerevisiae Vps35 protein. Localized to the cytoplasm and to the peripheral membrane, VPS35 is an essential component of the retromer complex which is involved in retrieval of lysosomal enzyme receptors from endosomes to the trans-Golgi network. VPS35 is expressed ubiquitously with highest expression in heart, placenta, brain, testis, kidney, colon, ovary and spleen. In addition to its crucial role in the retromer complex, VPS35 is part of a subcomplex that is required to regulate transcytosis of the polymeric immunoglobulin receptor from the basolateral to the apical surface of epithelial cells and hepatocytes. |
| Conjucates | Unconjugated |
| Immunogen | Recombinant Protein |
| Uniprot ID |
| Molecular Weight | Theoretical: 91 kDa. |
| Stability & Storage | Store at -20°C or -80°C for 12 months. Avoid repeated freeze-thaw cycles. |
| Transport | Shipping with blue ice. |
| Size | Quantity | Unit Price | Amount | Operation |
|---|

Copyright © 2015-2026 TargetMol Chemicals Inc. All Rights Reserved.