Shopping Cart
Remove All
Your shopping cart is currently empty
Anti-Vitamin D Receptor/VDR Antibody (5D259) is a Rabbit antibody targeting Vitamin D Receptor/VDR. Anti-Vitamin D Receptor/VDR Antibody (5D259) can be used in FCM,IHC,WB.
| Pack Size | Price | USA Warehouse | Global Warehouse | Quantity |
|---|---|---|---|---|
| 50 μL | $297 | 7-10 days | 7-10 days | |
| 100 μL | $496 | 7-10 days | 7-10 days |
| Description | Anti-Vitamin D Receptor/VDR Antibody (5D259) is a Rabbit antibody targeting Vitamin D Receptor/VDR. Anti-Vitamin D Receptor/VDR Antibody (5D259) can be used in FCM,IHC,WB. |
| Synonyms | vitamin D (1,25- dihydroxyvitamin D3) receptor, PPP1R163, NR1I1 |
| Ig Type | IgG |
| Clone | 5D259 |
| Reactivity | Human,Mouse,Rat |
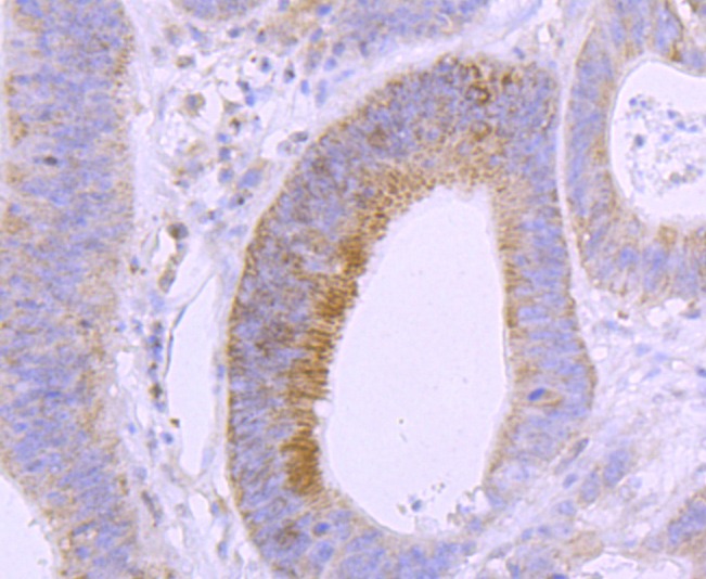
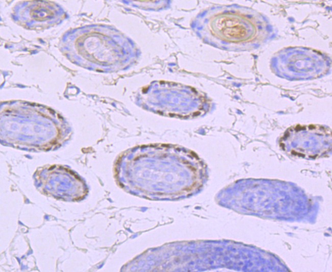
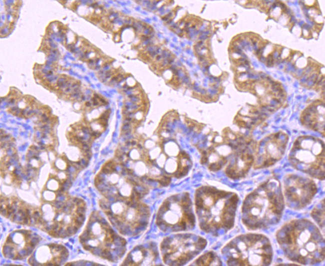
| Verified Activity | 1. Immunohistochemical analysis of paraffin-embedded human colon cancer tissue using anti- Vitamin D Receptor antibody. Counter stained with hematoxylin. 2. Immunohistochemical analysis of paraffin-embedded mouse colon tissue using anti- Vitamin D Receptor antibody. Counter stained with hematoxylin. 3. Immunohistochemical analysis of paraffin-embedded mouse skin tissue using anti- Vitamin D Receptor antibody. Counter stained with hematoxylin. 4. Flow cytometric analysis of Hela cells with Vitamin D Receptor antibody at 1/50 dilution (red) compared with an unlabelled control (cells without incubation with primary antibody; black). Alexa Fluor 488-conjugated goat anti rabbit IgG was used as the secondary antibody. ![]() ![]() ![]() ![]() |
| Application | |
| Recommended Dose | WB: 1:500-1000; IHC: 1:50-200; FCM: 1:50-100 |
| Antibody Type | Monoclonal |
| Host Species | Rabbit |
| Construction | Recombinant Antibody |
| Purification | ProA affinity purified |
| Appearance | Liquid |
| Formulation | 1*TBS (pH7.4), 1%BSA, 40%Glycerol. Preservative: 0.05% Sodium Azide. |
| Research Background | he active metabolite of vitamin D modulates the expression of a wide variety of genes in a developmentally specific manner. This secosteroid hormone can up- or downregulate the expression of genes involved in a diverse array of responses such as proliferation, differentiation and calcium homeostasis. 1,25-(OH)2-vitamin D3 exerts its effects through interaction with the vitamin D receptor (VDR), a member of the superfamily of hormone-activated nuclear receptors. In its ligand-bound state, the VDR forms heterodimers with the 9-cis retinoic acid receptor, RXR, and affects gene expression by binding specific DNA sequences known as hormone response elements, or HREs. In addition to regulating the above-mentioned cellular responses, 1,25-(OH)2-vitamin D3 exhibits antiproliferative properties in osteosarcoma, melanoma, colon carcinoma and breast carcinoma cells. |
| Conjucates | Unconjugated |
| Immunogen | Recombinant Protein |
| Uniprot ID |
| Molecular Weight | Theoretical: 48 kDa. |
| Stability & Storage | Store at -20°C or -80°C for 12 months. Avoid repeated freeze-thaw cycles. |
| Transport | Shipping with blue ice. |
| Size | Quantity | Unit Price | Amount | Operation |
|---|

Copyright © 2015-2026 TargetMol Chemicals Inc. All Rights Reserved.