Shopping Cart
Remove All
Your shopping cart is currently empty
Anti-Vinculin Antibody (3Q495) is a Rabbit antibody targeting Vinculin. Anti-Vinculin Antibody (3Q495) can be used in ICC/IF,IHC,WB.
| Pack Size | Price | USA Warehouse | Global Warehouse | Quantity |
|---|---|---|---|---|
| 50 μL | $298 | 7-10 days | 7-10 days | |
| 100 μL | $496 | 7-10 days | 7-10 days |
| Description | Anti-Vinculin Antibody (3Q495) is a Rabbit antibody targeting Vinculin. Anti-Vinculin Antibody (3Q495) can be used in ICC/IF,IHC,WB. |
| Synonyms | vinculin, MVCL, MV, HEL114, CMH15, CMD1W |
| Ig Type | IgG |
| Clone | 3Q495 |
| Reactivity | Human,Mouse,Rat |
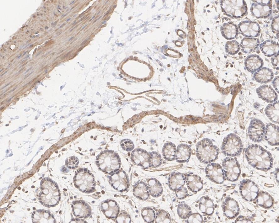
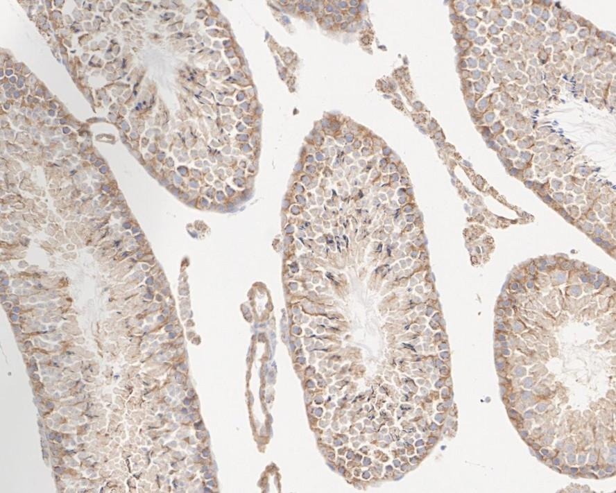
| Verified Activity | 1. Western blot analysis of Vinculin on different lysates with Vinculin antibody at 1/20,000 dilution. Lane 1: HepG2 cell lysate (15 μg/Lane), Lane 2: HeLa cell lysate (15 μg/Lane), Lane 3: NIH/3T3 cell lysate (15 μg/Lane), Lane 4: C6 cell lysate (15 μg/Lane), Lane 5: Mouse spleen tissue lysate (20 μg/Lane), Lane 6: Rat kidney tissue lysate (20 μg/Lane), Predicted band size: 124 kDa, Observed band size: 124 kDa, Exposure time: 1 minute 21 seconds; 4-20% SDS-PAGE gel. 2. Immunocytochemistry analysis of HeLa cells labeling Vinculin with Vinculin antibody at 1/1,000 dilution. 3. Flow cytometric analysis of HeLa cells labeling Vinculin. 4. Immunohistochemical analysis of paraffin-embedded human testis tissue with Vinculin antibody at 1/200 dilution. 5. Immunohistochemical analysis of paraffin-embedded mouse testis tissue with Vinculin antibody at 1/20,000 dilution. 6. Immunohistochemical analysis of paraffin-embedded rat colon tissue with Vinculin antibody at 1/20,000 dilution. 7. Immunocytochemistry analysis of NIH/3T3 cells labeling Vinculin with Vinculin antibody at 1/250 dilution. 8. Immunocytochemistry analysis of C6 cells labeling Vinculin with Vinculin antibody at 1/250 dilution. ![]() ![]() ![]() ![]() ![]() ![]() ![]() ![]() |
| Application | |
| Recommended Dose | WB: 1:5000-20000; ICC/IF-Cell 1:200-1000; ICC/IF-Tissue 1:50-4000; IHC-P 1:200-20000 |
| Antibody Type | Monoclonal |
| Host Species | Rabbit |
| Construction | Recombinant Antibody |
| Purification | ProA affinity purified |
| Appearance | Liquid |
| Formulation | 1*TBS (pH7.4), 0.05% BSA, 40% Glycerol. Preservative: 0.05% Sodium Azide. |
| Research Background | Focal adhesions are identified as areas within the plasma membrane of tissue culture cells that adhere tightly to the underlying substrate. In vivo, these regions are involved in the adhesion of cells to the extracellular matrix. Paxillin and vinculin are cytoskeletal, focal adhesion proteins that are components of a protein complex which links the Actin network to the plasma membrane. Vinculin binding sites have been identified on other cytoskeletal proteins, including Talin and α-actinin. In addition, vinculin, Talin and α-actinin each contain Actin binding sites. Expression of vinculin and Talin have been shown to be affected by the level of Actin expression. α-Actinin has been shown to link Actin to integrins in the plasma membrane through interactions with the vinculin and Talin complex or by a direct interaction with integrin. |
| Conjucates | Unconjugated |
| Immunogen | A synthesized peptide: within human Vinculin |
| Antigen Species | human |
| Uniprot ID |
| Molecular Weight | Theoretical: 124 kDa. |
| Stability & Storage | Store at -20°C or -80°C for 12 months (Store at 4℃ after thawing). Avoid repeated freeze-thaw cycles. |
| Transport | Shipping with blue ice. |
| Size | Quantity | Unit Price | Amount | Operation |
|---|

Copyright © 2015-2026 TargetMol Chemicals Inc. All Rights Reserved.