Shopping Cart
Remove All
Your shopping cart is currently empty
Synonyms: Versican core protein, VCAN, PG-M, Large fibroblast proteoglycan, Glial hyaluronate-binding protein (GHAP), CSPG2, Chondroitin sulfate proteoglycan core protein 2 (Chondroitin sulfate proteoglycan 2)
| Pack Size | Price | USA Stock | Global Stock | Quantity |
|---|---|---|---|---|
| 50 μL | $220 | 7-10 days | 7-10 days | |
| 100 μL | $373 | 7-10 days | 7-10 days | |
| 200 μL | $528 | 7-10 days | 7-10 days |
| Description | Anti-VCAN Polyclonal Antibody is a Rabbit antibody targeting VCAN. Anti-VCAN Polyclonal Antibody can be used in IF, IHC-Fr, IHC-P. |
| Synonyms | Versican core protein, VCAN, PG-M, Large fibroblast proteoglycan, Glial hyaluronate-binding protein (GHAP), CSPG2, Chondroitin sulfate proteoglycan core protein 2 (Chondroitin sulfate proteoglycan 2) |
| Ig Type | IgG |
| Reactivity | Mouse,Rat (predicted:Human,Dog,Pig,Cow,Horse,Sheep) |
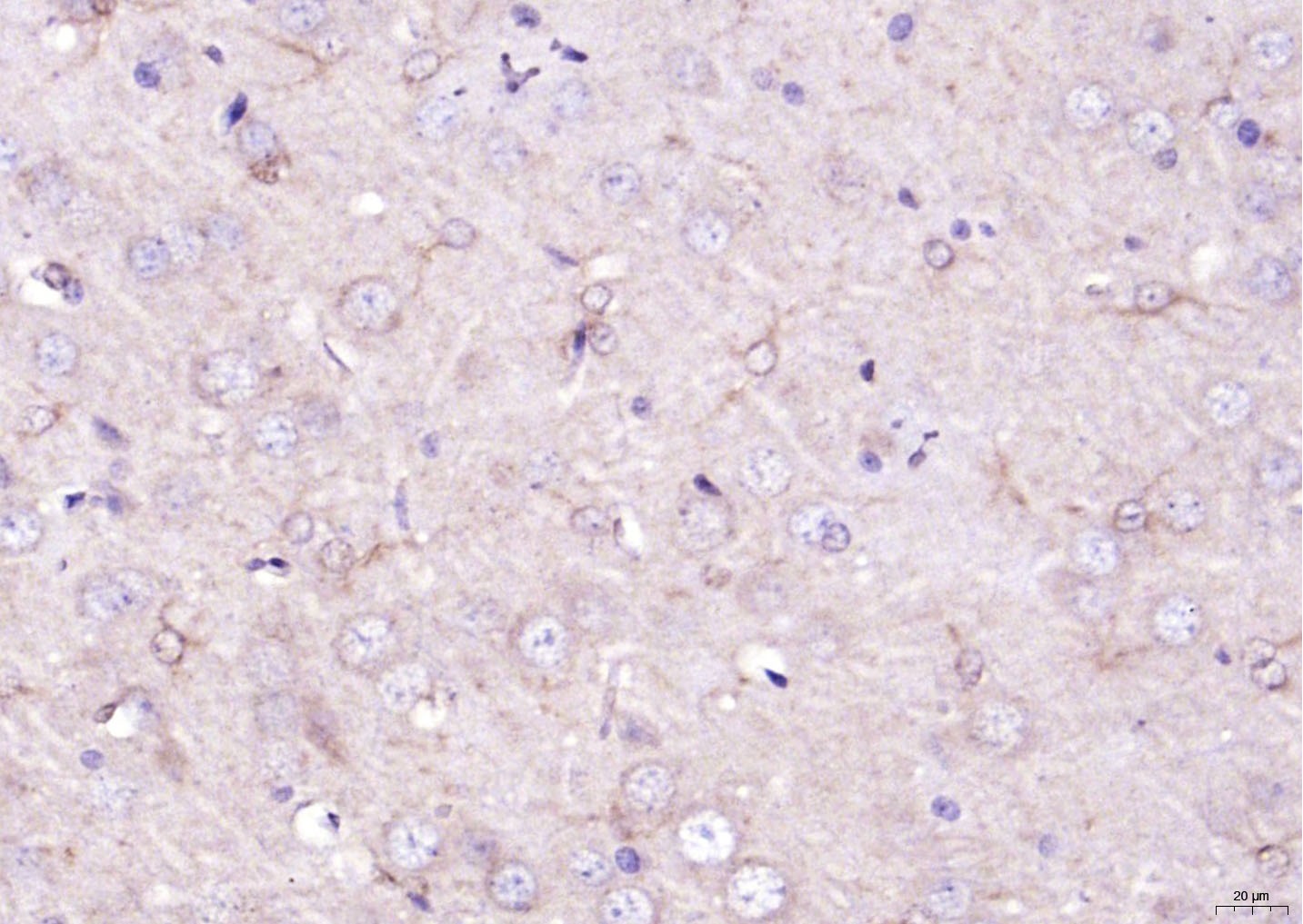
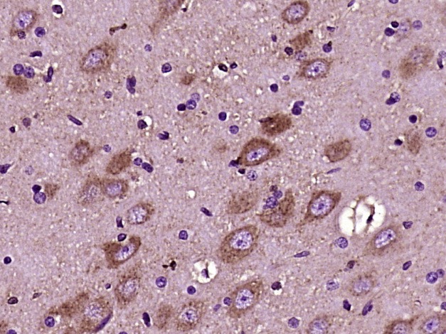
| Verified Activity | 1. Paraformaldehyde-fixed, paraffin embedded (rat brain); Antigen retrieval by boiling in sodium citrate buffer (pH6.0) for 15 min; Block endogenous peroxidase by 3% hydrogen peroxide for 20 min; Blocking buffer (normal goat serum) at 37°C for 30 min; Antibody incubation with (Versican) Polyclonal Antibody, Unconjugated (TMAB-01942) at 1:200 overnight at 4°C, followed by operating according to SP Kit (Rabbit) instructionsand DAB staining. 2. Paraformaldehyde-fixed, paraffin embedded (Rat brain); Antigen retrieval by boiling in sodium citrate buffer (pH6.0) for 15 min; Block endogenous peroxidase by 3% hydrogen peroxide for 20 min; Blocking buffer (normal goat serum) at 37°C for 30 min; Antibody incubation with (Versican) Polyclonal Antibody, Unconjugated (TMAB-01942) at 1:400 overnight at 4°C, followed by a conjugated secondary antibody for 20 min and DAB staining. 3. Paraformaldehyde-fixed, paraffin embedded (Mouse brain); Antigen retrieval by boiling in sodium citrate buffer (pH6.0) for 15 min; Block endogenous peroxidase by 3% hydrogen peroxide for 20 min; Blocking buffer (normal goat serum) at 37°C for 30 min; Antibody incubation with (Versican) Polyclonal Antibody, Unconjugated (TMAB-01942) at 1:400 overnight at 4°C, followed by a conjugated secondary antibody for 20 min and DAB staining. |
| Application | |
| Recommended Dose | IHC-P: 1:100-500; IHC-Fr: 1:100-500; IF: 1:100-500 |
| Antibody Type | Polyclonal |
| Host Species | Rabbit |
| Subcellular Localization | Secreted, extracellular space, extracellular matrix. |
| Tissue Specificity | Cerebral white matter and plasma. Isoform V0 and isoform V1 are expressed in normal brain, gliomas, medulloblastomas, schwannomas, neurofibromas, and meningiomas. Isoform V2 is restricted to normal brain and gliomas. Isoform V3 is found in all these tissu |
| Construction | Polyclonal Antibody |
| Purification | Protein A purified |
| Appearance | Liquid |
| Formulation | 0.01M TBS (pH7.4) with 1% BSA, 0.02% Proclin300 and 50% Glycerol. |
| Concentration | 1 mg/mL |
| Research Background | This gene is a member of the aggrecan/versican proteoglycan family. The protein encoded is a large chondroitin sulfate proteoglycan and is a major component of the extracellular matrix. This protein is involved in cell adhesion, proliferation, proliferation, migration and angiogenesis and plays a central role in tissue morphogenesis and maintenance. Mutations in this gene are the cause of Wagner syndrome type 1. Multiple transcript variants encoding different isoforms have been found for this gene. [provided by RefSeq]. |
| Immunogen | KLH conjugated synthetic peptide: human Versican |
| Antigen Species | Human |
| Gene Name | VCAN |
| Gene ID | |
| Protein Name | Versican core protein |
| Uniprot ID | |
| Biology Area | Transmembrane,Aggrecan |
| Function | May play a role in intercellular signaling and in connecting cells with the extracellular matrix. May take part in the regulation of cell motility, growth and differentiation. Binds hyaluronic acid. |
| Molecular Weight | Theoretical: 370 kDa. |
| Stability & Storage | Store at -20°C or -80°C for 12 months. Avoid repeated freeze-thaw cycles. |
| Transport | Shipping with blue ice. |
| Size | Quantity | Unit Price | Amount | Operation |
|---|

Copyright © 2015-2026 TargetMol Chemicals Inc. All Rights Reserved.