Shopping Cart
Remove All
Your shopping cart is currently empty
Anti-Uricase Polyclonal Antibody is a Rabbit antibody targeting Uricase. Anti-Uricase Polyclonal Antibody can be used in IF,IHC-Fr,IHC-P,WB.
| Pack Size | Price | USA Stock | Global Stock | Quantity |
|---|---|---|---|---|
| 50 μL | $221 | 7-10 days | 7-10 days | |
| 100 μL | $374 | 7-10 days | 7-10 days | |
| 200 μL | $528 | 7-10 days | 7-10 days |
| Description | Anti-Uricase Polyclonal Antibody is a Rabbit antibody targeting Uricase. Anti-Uricase Polyclonal Antibody can be used in IF,IHC-Fr,IHC-P,WB. |
| Synonyms | Uricase, Urate oxidase, UOX |
| Ig Type | IgG |
| Reactivity | Mouse (predicted:Rat,Dog,Pig,Cow,Rabbit) |
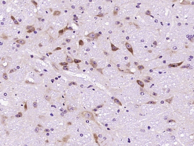
| Verified Activity | 1. Paraformaldehyde-fixed, paraffin embedded (mouse brain tissue); Antigen retrieval by boiling in sodium citrate buffer (pH6.0) for 15 min; Block endogenous peroxidase by 3% hydrogen peroxide for 20 min; Blocking buffer (normal goat serum) at 37°C for 30 min; Antibody incubation with (Uricase) Polyclonal Antibody, Unconjugated (TMAB-01937) at 1:400 overnight at 4°C, followed by operating according to SP Kit (Rabbit) instructionsand DAB staining. 2. Sample: Lane 1: Urinary bladder (Mouse) Lysate at 40 μg Primary: Anti-Uricase (TMAB-01937) at 1/1000 dilution Secondary: IRDye800CW Goat Anti-Rabbit IgG at 1/20000 dilution Predicted band size: 35 kDa Observed band size: 35 kDa ![]() ![]() |
| Application | |
| Recommended Dose | WB: 1:500-2000; IHC-P: 1:100-500; IHC-Fr: 1:100-500; IF: 1:100-500 |
| Antibody Type | Polyclonal |
| Host Species | Rabbit |
| Subcellular Localization | Peroxisome. |
| Construction | Polyclonal Antibody |
| Purification | Protein A purified |
| Appearance | Liquid |
| Formulation | 0.01M TBS (pH7.4) with 1% BSA, 0.02% Proclin300 and 50% Glycerol. |
| Concentration | 1 mg/mL |
| Research Background | Uricase catalyzes the oxidation of uric acid to 5 hydroxyisourate which spontaneously decomposes to form allantoin. |
| Immunogen | KLH conjugated synthetic peptide: mouse Uricase |
| Antigen Species | Mouse |
| Gene Name | Uox |
| Protein Name | Uricase |
| Function | Catalyzes the oxidation of uric acid to 5-hydroxyisourate, which is further processed to form (S)-allantoin. |
| Molecular Weight | Theoretical: 17 kDa. Actual: 35 kDa. |
| Stability & Storage | Store at -20°C or -80°C for 12 months. Avoid repeated freeze-thaw cycles. |
| Transport | Shipping with blue ice. |
| Size | Quantity | Unit Price | Amount | Operation |
|---|

Copyright © 2015-2026 TargetMol Chemicals Inc. All Rights Reserved.