Shopping Cart
Remove All
Your shopping cart is currently empty
Anti-uPAR/PLAUR Polyclonal Antibody is a Rabbit antibody targeting uPAR/PLAUR. Anti-uPAR/PLAUR Polyclonal Antibody can be used in IF, IHC-Fr, IHC-P, WB.
| Pack Size | Price | USA Stock | Global Stock | Quantity |
|---|---|---|---|---|
| 50 μL | $221 | 7-10 days | 7-10 days | |
| 100 μL | $373 | 7-10 days | 7-10 days | |
| 200 μL | $528 | 7-10 days | 7-10 days |
| Description | Anti-uPAR/PLAUR Polyclonal Antibody is a Rabbit antibody targeting uPAR/PLAUR. Anti-uPAR/PLAUR Polyclonal Antibody can be used in IF, IHC-Fr, IHC-P, WB. |
| Synonyms | U-PAR, uPAR, PLAUR, MO3, CD87 |
| Ig Type | IgG |
| Reactivity | Mouse,Rat (predicted:Human,Dog,Cow,Sheep) |
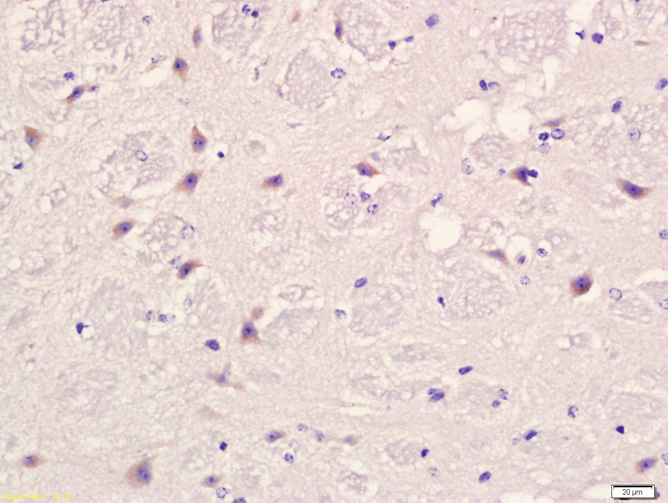
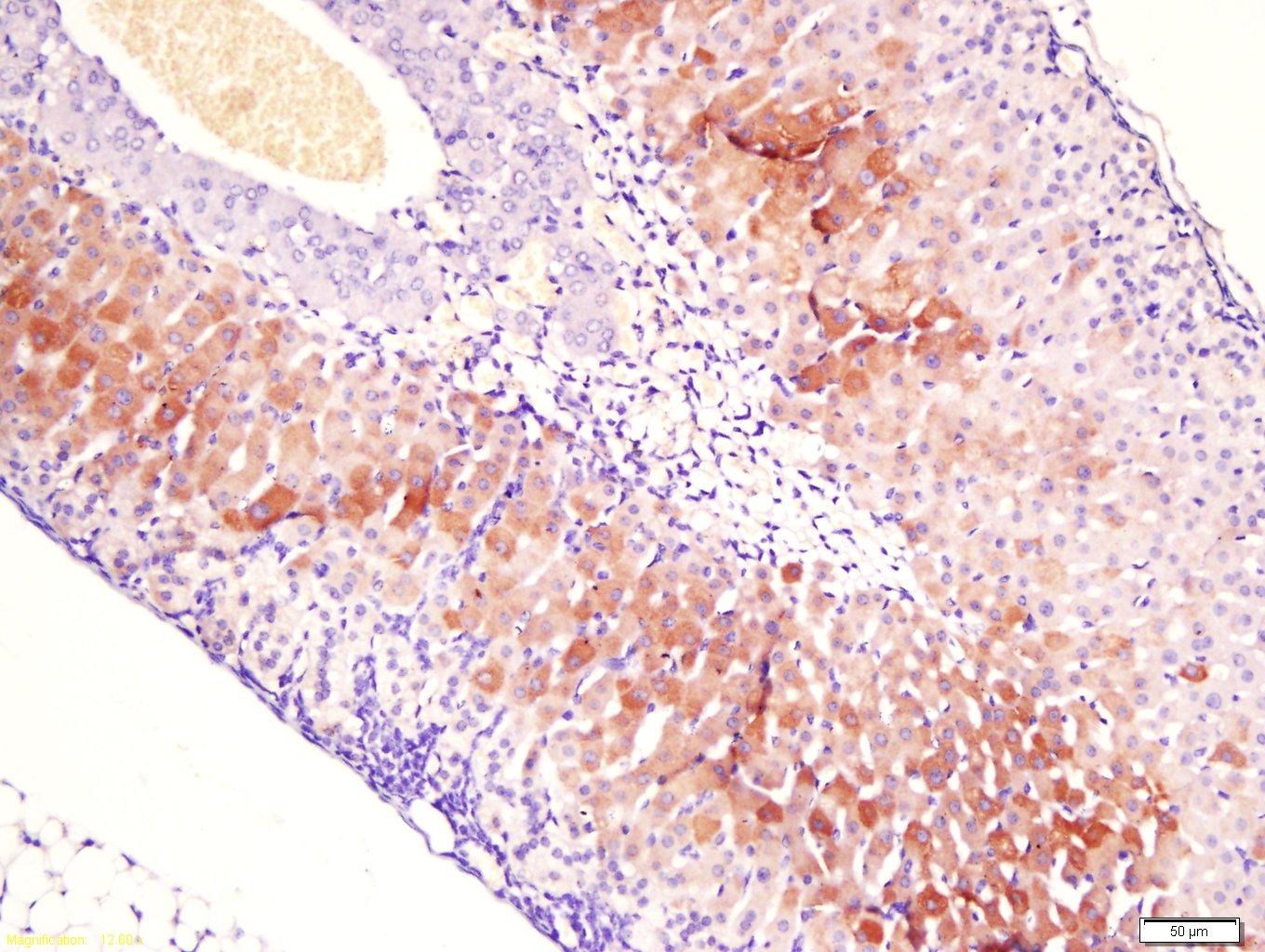
| Verified Activity | 1. Tissue/cell: mouse brain tissue; 4% Paraformaldehyde-fixed and paraffin-embedded; Antigen retrieval: citrate buffer (0.01M, pH6.0), Boiling bathing for 15 min; Block endogenous peroxidase by 3% Hydrogen peroxide for 30 min; Blocking buffer (normal goat serum) at 37°C for 20 min; Incubation: Anti-uPA Receptor Polyclonal Antibody, Unconjugated (TMAB-01936) 1:500, overnight at 4°C, followed by conjugation to the secondary antibody and DAb staining. 2. Tissue/cell: mouse adrenal gland; 4% Paraformaldehyde-fixed and paraffin-embedded; Antigen retrieval: citrate buffer (0.01M, pH6.0), Boiling bathing for 15 min; Block endogenous peroxidase by 3% Hydrogen peroxide for 30 min; Blocking buffer (normal goat serum) at 37°C for 20 min; Incubation: Anti-uPA Receptor Polyclonal Antibody, Unconjugated (TMAB-01936) 1:500, overnight at 4°C, followed by conjugation to the secondary antibody and DAb staining. 3. Sample: Lane 1: Cerebrum (Mouse) Tissue Lysate at 40 μg Lane 2: Cerebrum (Rat) Tissue Lysate at 40 μg Primary: Anti-uPA Receptor (TMAB-01936) at 1/1000 dilution Secondary: IRDye800CW Goat Anti-Rabbit IgG at 1/20000 dilution Predicted band size: 31 kDa Observed band size: 48 kDa 4. Sample: bone (Mouse) Lysate at 40 μg Primary: Anti-uPA Receptor (TMAB-01936) at 1/300 dilution Secondary: IRDye800CW Goat Anti-Rabbit IgG at 1/20000 dilution Predicted band size: 31 kDa Observed band size: 48 kDa ![]() ![]() ![]() ![]() |
| Application | |
| Recommended Dose | WB: 1:500-2000; IHC-P: 1:100-500; IHC-Fr: 1:100-500; IF: 1:100-500 |
| Antibody Type | Polyclonal |
| Host Species | Rabbit |
| Subcellular Localization | Isoform 1: Cell membrane; Lipid-anchor, GPI-anchor. Isoform 2: Secreted (Probable). |
| Tissue Specificity | Expressed in neurons of the rolandic area of the brain (at protein level). Expressed in the brain. |
| Construction | Polyclonal Antibody |
| Purification | Protein A purified |
| Appearance | Liquid |
| Formulation | 0.01M TBS (pH7.4) with 1% BSA, 0.02% Proclin300 and 50% Glycerol. |
| Concentration | 1 mg/mL |
| Research Background | This gene encodes the receptor for urokinase plasminogen activator and, given its role in localizing and promoting plasmin formation, likely influences many normal and pathological processes related to cell-surface plasminogen activation and localized degradation of the extracellular matrix. It binds both the proprotein and mature forms of urokinase plasminogen activator and permits the activation of the receptor-bound pro-enzyme by plasmin. The protein lacks transmembrane or cytoplasmic domains and may be anchored to the plasma membrane by a glycosyl-phosphatidylinositol(GPI) moiety following cleavage of the nascent polypeptide near its carboxy-terminus. However, a soluble protein is also produced in some cell types. Alternative splicing results in multiple transcript variants encoding different isoforms. The proprotein experiences several post-translational cleavage reactions that have not yet been fully defined. [provided by RefSeq]. |
| Immunogen | KLH conjugated synthetic peptide: human PLAUR |
| Antigen Species | Human |
| Gene Name | PLAUR |
| Gene ID | |
| Protein Name | Urokinase plasminogen activator surface receptor |
| Uniprot ID | |
| Function | Acts as a receptor for urokinase plasminogen activator. Plays a role in localizing and promoting plasmin formation. Mediates the proteolysis-independent signal transduction activation effects of U-PA. It is subject to negative-feedback regulation by U-PA which cleaves it into an inactive form. |
| Molecular Weight | Theoretical: 31 kDa. Actual: 48 kDa. |
| Stability & Storage | Store at -20°C or -80°C for 12 months. Avoid repeated freeze-thaw cycles. |
| Transport | Shipping with blue ice. |
| Size | Quantity | Unit Price | Amount | Operation |
|---|

Copyright © 2015-2026 TargetMol Chemicals Inc. All Rights Reserved.