Shopping Cart
- Remove All
 Your shopping cart is currently empty Your shopping cart is currently empty
Anti-Ubiquitin D Antibody (7G418) is a Rabbit antibody targeting Ubiquitin D. Anti-Ubiquitin D Antibody (7G418) can be used in ICC,IHC,WB.
| Pack Size | Price | Availability | Quantity | 
|---|---|---|---|
| 50 μL | $298 | 7-10 days | |
| 100 μL | $496 | 7-10 days | 
| Description | Anti-Ubiquitin D Antibody (7G418) is a Rabbit antibody targeting Ubiquitin D. Anti-Ubiquitin D Antibody (7G418) can be used in ICC,IHC,WB. | 
| Synonyms | Ubiquitin-like protein FAT10, UbiquitinD, Ubiquitin like protein FAT10, UBD_HUMAN, UBD 3, Ubd, GABBR1, FAT10, Diubiquitin | 
| Ig Type | IgG | 
| Clone | 7G418 | 
| Reactivity | Human,Mouse | 
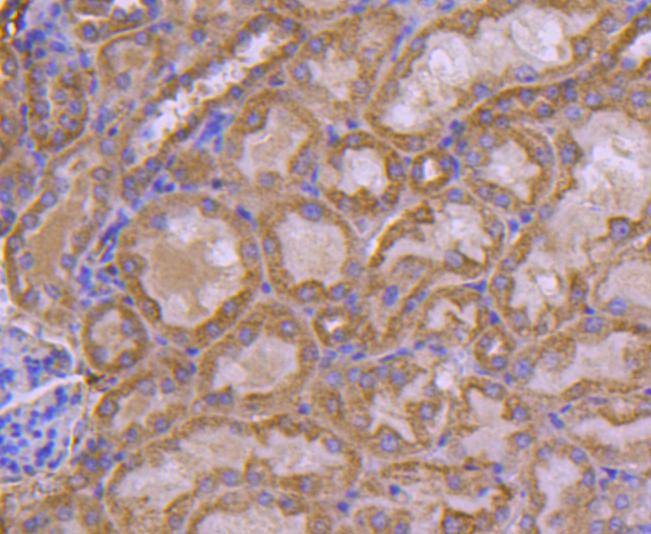
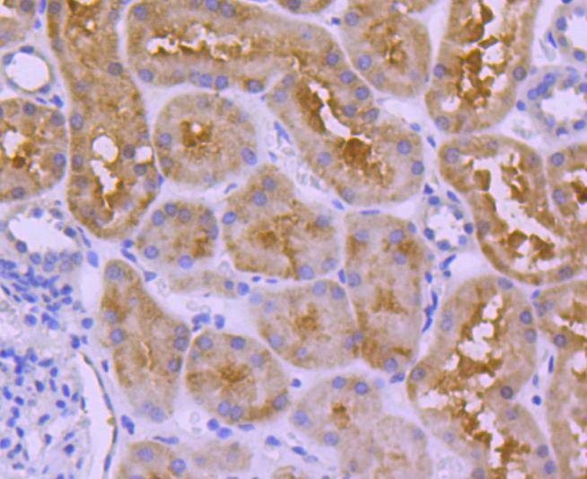
| Verified Activity | 1. Western blot analysis of Ubiquitin D on Hela cells lysates using anti-Ubiquitin D antibody at 1/1,000 dilution. 2. Immunohistochemical analysis of paraffin-embedded mouse kidney tissue using anti-Ubiquitin D antibody. Counter stained with hematoxylin. 3. Immunohistochemical analysis of paraffin-embedded human kidney tissue using anti-Ubiquitin D antibody. Counter stained with hematoxylin. 4. ICC staining Ubiquitin D in Hela cells (green). The nuclear counter stain is DAPI (blue). Cells were fixed in paraformaldehyde, permeabilised with 0.25% Triton X100/PBS. 5. ICC staining Ubiquitin D in F9 cells (green). The nuclear counter stain is DAPI (blue). Cells were fixed in paraformaldehyde, permeabilised with 0.25% Triton X100/PBS. 6. ICC staining Ubiquitin D in HepG2 cells (green). The nuclear counter stain is DAPI (blue). Cells were fixed in paraformaldehyde, permeabilised with 0.25% Triton X100/PBS.       | 
| Application | |
| Recommended Dose | WB: 1:1000-2000; IHC: 1:50-200; ICC: 1:100-500 | 
| Antibody Type | Monoclonal | 
| Host Species | Rabbit | 
| Construction | Recombinant Antibody | 
| Purification | ProA affinity purified | 
| Appearance | Liquid | 
| Formulation | 1*TBS (pH7.4), 1%BSA, 40%Glycerol. Preservative: 0.05% Sodium Azide. | 
| Research Background | FAT10, also designated Ubiquitin D or Diubiquitin, is a 165 amino acid protein encoded in the major histocompatibility complex (MHC) that consists of two domains which share significant homology with ubiquitin. Each domain contains two cysteines, along with a free C-terminal diglycine motif required for FAT10 conjugate formation. FAT10 is inducible by interferon-g and tumor necrosis factor a (TNF?). The FAT10 protein interacts with MAD2, a component of the spindle checkpoint, and plays a role in antigen presentation, cytokine response, apoptosis and mitosis. It may also regulate cell growth during dendritic cell or B cell activation and development. FAT10 mRNA is expressed mainly in some dendritic cells and lymphoblastoid lines and in other specific cells subsequent to interferon-g induction. The human FAT10 gene, designated UBD, maps to chromosome 6p21.3 and is overexpressed in the tumors of various epithelial cancers. | 
| Conjucates | Unconjugated | 
| Immunogen | Recombinant Protein | 
| Uniprot ID | 
| Molecular Weight | Theoretical: 18 kDa. | 
| Stability & Storage | Store at -20°C or -80°C for 12 months. Avoid repeated freeze-thaw cycles. | 
| Transport | Shipping with blue ice. | 

Copyright © 2015-2025 TargetMol Chemicals Inc. All Rights Reserved.