Shopping Cart
Remove All
Your shopping cart is currently empty
Anti-Ubiquitin Activating Enzyme E1/UBA1 Antibody (1V154) is a Rabbit antibody targeting Ubiquitin Activating Enzyme E1/UBA1. Anti-Ubiquitin Activating Enzyme E1/UBA1 Antibody (1V154) can be used in FCM,ICC/IF,IHC,WB.
| Pack Size | Price | USA Warehouse | Global Warehouse | Quantity |
|---|---|---|---|---|
| 50 μL | $297 | 7-10 days | 7-10 days | |
| 100 μL | $497 | 7-10 days | 7-10 days |
| Description | Anti-Ubiquitin Activating Enzyme E1/UBA1 Antibody (1V154) is a Rabbit antibody targeting Ubiquitin Activating Enzyme E1/UBA1. Anti-Ubiquitin Activating Enzyme E1/UBA1 Antibody (1V154) can be used in FCM,ICC/IF,IHC,WB. |
| Synonyms | ubiquitin-like modifier activating enzyme 1, UBE1X, UBE1, UBA1A, SMAX2, POC20, GXP1, CTD-2522E6.1, CFAP124, AMCX1, A1ST, A1S9T, A1S9 |
| Ig Type | IgG |
| Clone | 1V154 |
| Reactivity | Human,Mouse,Rat |
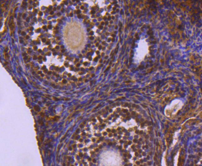
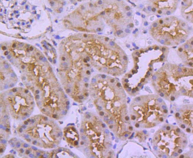
| Verified Activity | 1. Western blot analysis of UBA1 on mouse liver lysates using anti-UBA1 antibody at 1/5,000 dilution. 2. Immunohistochemical analysis of paraffin-embedded mouse ovary tissue using anti-UBA1 antibody. Counter stained with hematoxylin. 3. Immunohistochemical analysis of paraffin-embedded human kidney tissue using anti-UBA1 antibody. Counter stained with hematoxylin. 4. ICC staining UBA1 in Hela cells (green). The nuclear counter stain is DAPI (blue). Cells were fixed in paraformaldehyde, permeabilised with 0.25% Triton X100/PBS. 5. ICC staining UBA1 in SKOV-3 cells (green). The nuclear counter stain is DAPI (blue). Cells were fixed in paraformaldehyde, permeabilised with 0.25% Triton X100/PBS. 6. ICC staining UBA1 in A549 cells (green). The nuclear counter stain is DAPI (blue). Cells were fixed in paraformaldehyde, permeabilised with 0.25% Triton X100/PBS. 7. Flow cytometric analysis of K562 cells with UBA1 antibody at 1/50 dilution (red) compared with an unlabelled control (cells without incubation with primary antibody; black). Alexa Fluor 488-conjugated goat anti rabbit IgG was used as the secondary antibody. ![]() ![]() ![]() ![]() ![]() ![]() ![]() |
| Application | |
| Recommended Dose | WB: 1:1000-2000; IHC: 1:100-500; ICC/IF: 1:50-200; FCM: 1:50-100 |
| Antibody Type | Monoclonal |
| Host Species | Rabbit |
| Construction | Recombinant Antibody |
| Purification | ProA affinity purified |
| Appearance | Liquid |
| Formulation | 1*TBS (pH7.4), 1%BSA, 40%Glycerol. Preservative: 0.05% Sodium Azide. |
| Research Background | The ubiquitin activating enzyme E1 (UBE1) catalyzes the first step in ubiquitin conjugation to mark cellular proteins for degradation. Specifically, UBE1 functions to adenylate the C-terminal glycine residue of ubiquitin, a reaction that is ATP-dependent and is proceeded by the formation of a thiolester bond with a cysteine residue of UBE1. The UBE1-activated ubiquitin is then transferred to a ubiquitin conjugated enzyme, which donates the ubiquitin residue to target substrates. The UBE1 gene is an example of an X-Y homologous gene, which is X-linked with a distinct Y-linked gene in many mammals. However, no UBE1 homolog is detectable on the human Y chromosome. UBE1 is thought to escape X inactivation in humans. |
| Conjucates | Unconjugated |
| Immunogen | Recombinant Protein |
| Uniprot ID |
| Molecular Weight | Theoretical: 118 kDa. |
| Stability & Storage | Store at -20°C or -80°C for 12 months. Avoid repeated freeze-thaw cycles. |
| Transport | Shipping with blue ice. |
| Size | Quantity | Unit Price | Amount | Operation |
|---|

Copyright © 2015-2026 TargetMol Chemicals Inc. All Rights Reserved.