Shopping Cart
Remove All
Your shopping cart is currently empty
Synonyms: zgc:77810, wu:fc19d01, U1-A, U1A, U1 snRNP specific protein A, U1 snRNP A, U1 small nuclear RNP specific A, U1 small nuclear ribonucleoprotein A, SNRPA_HUMAN, SNRPA, snRNP protein A, snRNP A, small nuclear ribonucleoprotein polypeptide A, Mud1, fc19d01
| Pack Size | Price | USA Stock | Global Stock | Quantity |
|---|---|---|---|---|
| 50 μL | $296 | 7-10 days | 7-10 days | |
| 100 μL | $497 | 7-10 days | 7-10 days |
| Description | Anti-U1A Antibody (7N374) is a Rabbit antibody targeting U1A. Anti-U1A Antibody (7N374) can be used in ICC,IF,IHC,IP,WB. |
| Synonyms | zgc:77810, wu:fc19d01, U1-A, U1A, U1 snRNP specific protein A, U1 snRNP A, U1 small nuclear RNP specific A, U1 small nuclear ribonucleoprotein A, SNRPA_HUMAN, SNRPA, snRNP protein A, snRNP A, small nuclear ribonucleoprotein polypeptide A, Mud1, fc19d01 |
| Ig Type | IgG |
| Clone | 7N374 |
| Reactivity | Human,Mouse,Rat |
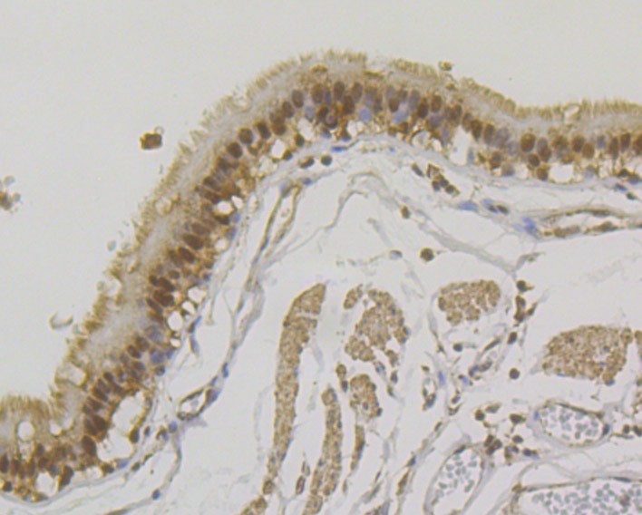
| Verified Activity | 1. Western blot analysis of U1A on different lysates using anti-U1A antibody at 1/500 dilution. Positive control: Lane 1: Rat brain, Lane 2: K562, Lane 3: A431, Lane 4: Mouse kidney. 2. Immunohistochemical analysis of paraffin-embedded human lung cancer tissue using anti-U1A antibody. Counter stained with hematoxylin. 3. Immunohistochemical analysis of paraffin-embedded mouse liver tissue using anti-U1A antibody. Counter stained with hematoxylin. 4. ICC staining U1A in 293T cells (green). The nuclear counter stain is DAPI (blue). Cells were fixed in paraformaldehyde, permeabilised with 0.25% Triton X100/PBS. 5. ICC staining U1A in SH-SY-5Y cells (green). The nuclear counter stain is DAPI (blue). Cells were fixed in paraformaldehyde, permeabilised with 0.25% Triton X100/PBS. 6. ICC staining U1A in SiHa cells (green). The nuclear counter stain is DAPI (blue). Cells were fixed in paraformaldehyde, permeabilised with 0.25% Triton X100/PBS. |
| Application | |
| Recommended Dose | WB: 1:500-1000; IHC: 1:50-200; ICC: 1:50-200; IP: 1:50-100 |
| Antibody Type | Monoclonal |
| Host Species | Rabbit |
| Construction | Recombinant Antibody |
| Purification | ProA affinity purified |
| Appearance | Liquid |
| Formulation | 1*TBS (pH7.4), 1%BSA, 40%Glycerol. Preservative: 0.05% Sodium Azide. |
| Research Background | SNRPA (small nuclear ribonucleoprotein polypeptide A), also known as U1A (U1 snRNP protein A), is a component of the RNA spliceosome, a complex of proteins that are required for the precise excision of introns from pre-messenger RNA (pre-mRNA). Localizing to the nucleus, SNRPA contains two RRM (RNA recognition motif) domains, namely RRM1 and RRM2, and RRM1 specifically associates with the stem loop II of U1 snRNA (small nuclear RNA). In addition to functioning as a component of the U1 snRNP, SNRPA negatively regulates polyadenylation of SNRPA pre-mRNA, thereby negatively regulating itself. By inhibiting the addition of a polyA tail that would allow the pre-mRNA to mature, SNRPA causes the nuclear exosome degradation of the SNRPA pre-mRNA. At least 16% of cellular SNRPA also functions in an snRNP-free form (SF-A) that complexes with a group of non-snRNP proteins. |
| Conjucates | Unconjugated |
| Immunogen | Recombinant Protein: N-terminal human U1A |
| Antigen Species | human |
| Uniprot ID |
| Molecular Weight | Theoretical: 31 kDa. |
| Stability & Storage | Store at -20°C or -80°C for 12 months. Avoid repeated freeze-thaw cycles. |
| Transport | Shipping with blue ice. |
| Size | Quantity | Unit Price | Amount | Operation |
|---|

Copyright © 2015-2026 TargetMol Chemicals Inc. All Rights Reserved.