Shopping Cart
Remove All
Your shopping cart is currently empty
Synonyms: Tuberous sclerosis 2 protein homolog, Tuberous sclerosis 2 protein, Tuberous sclerosis 2, Tuberin, TSC4, formerly, TSC4 gene, formerly, TSC4, TSC2_HUMAN, tsc2, Protein phosphatase 1, regulatory subunit 160, PPP1R160, OTTHUMP00000198395, OTTHUMP00000198394, OTTHUMP00000158940, LAM, FLJ43106
| Pack Size | Price | USA Stock | Global Stock | Quantity |
|---|---|---|---|---|
| 50 μL | $296 | 7-10 days | 7-10 days | |
| 100 μL | $497 | 7-10 days | 7-10 days |
| Description | Anti-Tuberin Antibody (9I375) is a Rabbit antibody targeting Tuberin. Anti-Tuberin Antibody (9I375) can be used in FCM,IHC,WB. |
| Synonyms | Tuberous sclerosis 2 protein homolog, Tuberous sclerosis 2 protein, Tuberous sclerosis 2, Tuberin, TSC4, formerly, TSC4 gene, formerly, TSC4, TSC2_HUMAN, tsc2, Protein phosphatase 1, regulatory subunit 160, PPP1R160, OTTHUMP00000198395, OTTHUMP00000198394, OTTHUMP00000158940, LAM, FLJ43106 |
| Ig Type | IgG |
| Clone | 9I375 |
| Reactivity | Human,Mouse,Rat |
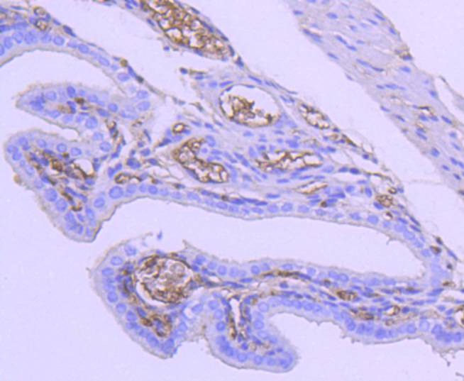
| Verified Activity | 1. Western blot analysis of Tuberin on Jurkat cell lysates using anti-Tuberin antibody at 1/1,000 dilution. 2. Immunohistochemical analysis of paraffin-embedded mouse placenta tissue using anti-Tuberin antibody. Counter stained with hematoxylin. 3. Flow cytometric analysis of Hela cells with Tuberin antibody at 1/50 dilution (red) compared with an unlabelled control (cells without incubation with primary antibody; black). Alexa Fluor 488-conjugated goat anti rabbit IgG was used as the secondary antibody. |
| Application | |
| Recommended Dose | WB: 1:1000-2000; IHC: 1:50-200; FCM: 1:50-100 |
| Antibody Type | Monoclonal |
| Host Species | Rabbit |
| Construction | Recombinant Antibody |
| Purification | ProA affinity purified |
| Appearance | Liquid |
| Formulation | 1*TBS (pH7.4), 1%BSA, 40%Glycerol. Preservative: 0.05% Sodium Azide. |
| Research Background | Tuberous sclerosis complex (TSC) is an autosomal dominant genetic disorder characterized by mental retardation and the widespread development of distinctive tumors termed hamartomas. Two different genetic loci have been linked to TSC; one of these loci, the tuberous sclerosis-2 gene (TSC2), encodes a protein called tuberin and the other loci, tuberous sclerosis-1 gene (TSC1), encodes a protein called hamartin. Tuberin and hamartin interact with each other forming a cystoplasmic complex. Hamartin interacts with the ezrin-radixin-moesin (ERM) family of actin-binding proteins and inhibition of hamartin activity results in loss of cell adhesion. Hamartin is present in most adult tissues with strong expression in brain, heart, and kidney. |
| Conjucates | Unconjugated |
| Immunogen | Recombinant Protein |
| Uniprot ID |
| Molecular Weight | Theoretical: 200 kDa. |
| Stability & Storage | Store at -20°C or -80°C for 12 months. Avoid repeated freeze-thaw cycles. |
| Transport | Shipping with blue ice. |
| Size | Quantity | Unit Price | Amount | Operation |
|---|

Copyright © 2015-2026 TargetMol Chemicals Inc. All Rights Reserved.